En raison de la pandémie de COVID-19, les dentistes et les orthodontistes ont dû prendre des mesures afin de limiter la propagation du virus dans leurs cliniques. Des protocoles ont donc été mis en place pour la sécurité de tous et de toutes. Cependant, le personnel des cliniques a aussi besoin de votre collaboration.
Nous vous demandons de vous renseigner sur les mesures à suivre lors de votre prochaine visite et de ne pas vous présenter si vous êtes atteint ou atteinte de la COVID-19, si vous avez des symptômes s’apparentant à la COVID-19 ou si vous avez été en contact avec une personne qui est ou pourrait être atteinte de la COVID-19.
Merci de votre compréhension et de votre coopération en ces temps difficiles.
L’équipe Bücco et ses membres dentistes et spécialistes
Terminologie pour décrire la relation des dents antérieures
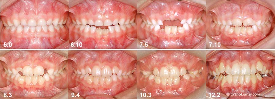
Développement de la dentition et de l’occlusion avec un stage de béance antérieure entre l’âge de 5 et 12 ans. À 6 ans 10 mois, les les centrales inférieures permanentes font leur éruption. À 7.5 ans, il y a une béance antérieure importante. Par la suite, à mesure que les incisives permanentes font leur éruption, la béance diminue pour finalement disparaître.
Cependant, une béance doit être considérée comme anormale lorsqu’elle persiste au-delà d’un stage de développement dentaire où les dents doivent normalement avoir fait éruption.
➡ Pour en savoir plus sur l’éruption normale des dents, le développement dentaire et certaines anomalies d’éruption.
Terminologie pour décrire la relation des dents antérieures
Incisives supérieures avancées et inclinées vers l’avant
Ouverture de l’occlusion antérieure
Les proportions dentaires contribuent à l’espacement
Fermeture d’espaces en orthodontie et élargissement d’une incisive supérieure latérale gauche à l’aide de matériau composite pour améliorer l’esthétique du sourire après le traitement d’orthodontie.
Les déplacements orthodontiques et les règles et proportions de la nature
Afin de maximiser l’esthétique du sourire, les mouvements orthodontiques permettent de déplacer les dents de façon à respecter des « règles » et proportions établies par la nature. Selon les cas, cela peut nécessiter des mouvements en trois dimensions, la fermeture d’espaces la rétraction des dents antérieures, etc.