Exemple de cas cliniques en orthodontie

Exemple de cas cliniques en orthodontie

progression de la carie sous un boîtier orthodontique

Illustration de la progression de la carie dentaire sous un boîtier orthodontique

(A) La plaque dentaire peut s’accumuler sous les attaches orthodontiques et, si elle y demeure assez longtemps, causera une décalcification sur la surface de l’émail (zone grise). (B) À mesure que la décalcification progresse, elle pénètrera la surface et progressera dans la couche d’émail. (C) La cavité (carie) viendra qu’à atteindre la dentine (zone rose) et commencera à se diriger vers la pulpe de la dent (bleu). (D) Une fois la pulpe atteinte, plus rien n’arrête les bactéries et l’infection progresse à l’intérieur de la racine vers l’apex de la dent. Les bactéries sortent alors de la dent et commencent à détruire l’os alvéolaire environnant créant un abcès dentaire. Cette infection peut continuer à détruire l’os et peut se propager par les vaisseaux sanguins (rouge) (adapté de Williams & Wilkins).

Si aucun traitement n’est alors prodigué pour arrêter le processus destructeur, la dent sera progressivement détruite et les bactéries pourront continuer leur progression jusqu’à atteindre l’os entourant la dent. La gencive et l’os sont progressivement détruits, permettant une plus grande accumulation de plaque et perpétuant ainsi un cycle destructeur difficile à arrêter. A mesure que la dent perd son os, sa gencive et son ligament de support (voir parodonte) la dent devient mobile. Lorsqu’elle est trop instable, elle sera perdue ou devra être extraite.

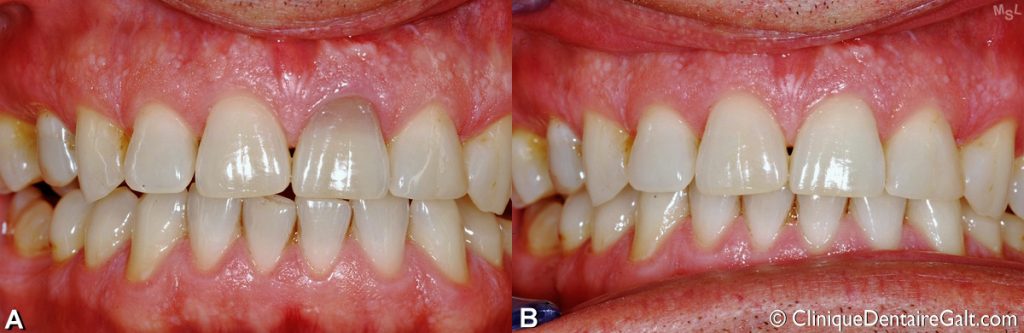
Blanchiment des dents intracoronal pour une incisive supérieure décolorée

Autre exemple de blanchiment dentaire intracoronal pour une incisive supérieure décolorée. Ce traitement est fait par un dentiste généraliste. (A) Avant le traitement. (B) Après le traitement. Lorsque la dent n’est pas décolorée depuis trop longtemps, un tel traitement peut donner d’excellents résultats.

L’analogie entre le Lego et le traitement d’orthodontie

  • (A) En orthodontie nous débutons un traitement avec une dentition et une malocclusion spécifique à chaque patient. Chaque patient a des caractéristiques qui lui sont particulières; dentition, grosseur et forme des dents, musculature, mâchoires, etc.
  • (B) Nous élaborons un plan de traitement qui vise à obtenir les meilleurs résultats esthétiques et fonctionnels possibles tout en tentant de répondre aux attentes des patients. Ces objectifs de traitement ne sont jamais la “perfection” mais constituent l’ “idéal” pour un patient spécifique et cet idéal variera d’un patient à l’autre selon les caractéristiques de sa dentition et sa malocclusion et des moyens que le patient est prêt à prendre pour corriger son problème.
Avec un jeu de blocs Lego, si plusieurs personnes débutent avec les même blocs (dimensions et couleurs identiques) et suivent le même plan d’assemblage, toutes obtiendront exactement le même résultat sans variation aucune. Ce n’est cependant pas ce qui se passe en orthodontie avec une dentition et des patients. Il y aura autant de variations possibles qu’il y a de patients.
  • (C) Certaines variables mentionnées précédemment comme le manque de coopération, une dentition mutilée, des dents manquantes ou le refus d’avoir recours à certaines procédures par le patient (chirurgie, extractions, etc.) peuvent nous empêcher d’atteindre les objectifs idéaux. Il faut alors accepter un résultat de compromis.
  • (D) Même si les conditions semblent idéales et, malgré la bonne volonté du clinicien et du patient, il est parfois impossible d’atteindre l’ “idéal” et certains degrés de compromis ou “variations” de l’idéal doivent être considérées comme acceptables. Le fait de ne pas atteindre un résultat optimal n’indique pas nécessairement un échec ou un mauvais traitement.
De tels résultats peuvent quand même procurer une meilleure fonction et esthétique au patient et améliorer ainsi sa qualité de vie.

Ortho-Légo

Appareil Hawley ClearBow sur un modèle de laboratoire

(A) Appareil Hawley ClearBow sur un modèle de laboratoire. (B) Pour les cas où une incisive est manquante, l’arc labial ClearBow permet d’utiliser des dents prothétiques sans compromettre l’esthétique et la rétention de l’appareil. L’exemple suivant montre comment différents appareils de rétention peuvent être utilisés pour un même cas selon les circonstances et l’étape du traitement.

Comparaison entre un appareil de rétention avec arc labial ClearBow et un appareil avec un arc métallique conventionnel

Comparaison entre un appareil de rétention avec arc labial ClearBow (A) et un arc métallique conventionnel (B)

Un appareil de type “Hawley”

Un appareil de type “Hawley” fabriqué avec un arc labial ClearBow transparent est pratiquement invisible. (A) Appareil de rétention supérieur avec arc ClearBow. (C) Appareil inférieur.

Absence de 2 incisives latérales supérieures

Adolescente de 15 ans présentant une absence congénitale des 2 incisives latérales supérieures.

  • (A) Avant le traitement d’orthodontie, les incisives centrales se sont déplacées vers les côtés et les canines ont migré vers le centre, créant plusieurs espaces inesthétiques (voir sourire en (G)).
  • (B) Après l’orthodontie, les espaces ont été consolidés en prévision du remplacement éventuel des incisives latérales par des implants dentaires après la fin de la croissance. Une attelle de rétention est collée sur la face interne des incisives centrales pour les maintenir en place.
  • (C) Coquille de rétention amovible avec des dents prothétiques remplaçant les incisives latérales.
  • (D) Prothèse partielle amovible faite par le dentiste généraliste. Cette prothèse est plus esthétique et peut être portée en mangeant.
  • (E) Une fois la croissance des mâchoires terminée, les implants dentaires ont été posés avec des couronnes temporaires. À noter l’inflammation près de la gencive.
  • (F) Couronnes finales et belle guérison de la gencive.
  • (G) Sourire avant l’orthodontie, (H) après l’orthodontie, (I) avec la coquille de rétention comme en (C) et (J) le résultat final avec les implants et les couronnes finales.

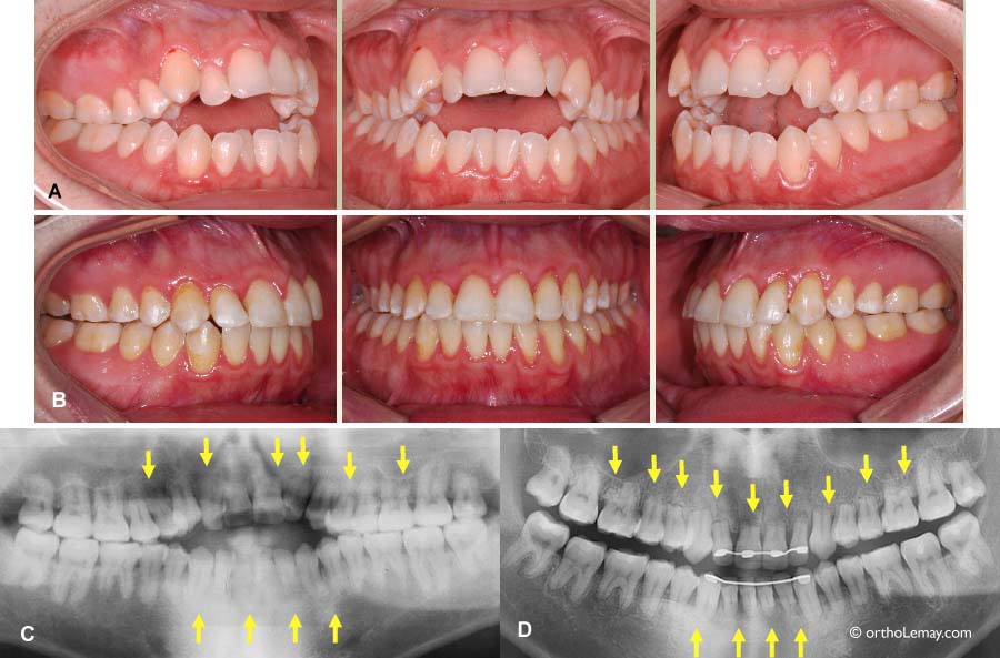
Béances antérieures

(A) Avant le traitement. (B) À la fin du traitement. (C) Radiographie panoramique avant le traitement; les flèches indiquent quelques unes des dents les plus sévèrement affectées par la rhizalyse. (D) Radiographie panoramique à la fin du traitement. Cette radiographie numérique est de meilleure qualité car nous avons changé d’appareil radiologique pendant la durée du traitement. La radiographie initiale est sur film et moins précise et de moins bonne résolution. Le patient n’a perdu aucune de ses dent et elles sont aussi solides (ou peu solides!) qu’avant le traitement.  

Pour voir d’autres béances et des cas de béance traités en orthodontie.

Béances antérieures

Mise à jour pour