Exemple de cas cliniques en orthodontie

Exemple de cas cliniques en orthodontie

Les dangers de « l’orthodontie maison » pour fermer un diastème

Ces images sont extraites de vidéos publiées sur YouTube qui montrent comment fermer soi-même un diastème avec des élastiques.
  • (A) Élastiques utilisés (en gros plan).
  • (B) L’élastique est placé sur les dents à rapprocher sans aucune autre attache pour le retenir, ce qui est dangereux.
  • (C) Pendant la fermeture de l’espace.
  • (D) pour maintenir l’espace fermé (rétention), cette fille portait l’élastique tous les jours!!!
  • (E) Ce genre de traitement est tellement dangereux et médiatisé que L’Association américaine des orthodontistes a publié une mise en garde “officielle” pour faire comprendre qu’il existe des “risques substantiels de dommage irréparables” avec de tels “traitements”.

Correction automatique d’un diastème pendant des corrections plus globales

  • (A) Adolescente de 13 ans présentant des arcades modérément étroites, du chevauchement dentaire et un diastème supérieur.
  • (B) Après les corrections orthodontiques.

Fermeture d’espaces en orthodontie et élargissement d’une incisive supérieure latérale gauche à l’aide de matériau composite

Fermeture d’espace en « V » entre des incisives

  • (A) Espaces interdentaires (embrasures) en “V” entre des incisives supérieures de forme ovale (flèches).
  • (B) Radiographie montrant la forme des dents et l’espace entre elles.
  • (C) Même radiographie qu’en (B) avec le profil des racines des incisives centrales tracé en rouge. Ces racines sont plus courbées que la normale.
  • (D) Simulation d’un mouvement de bascule des couronnes des centrales vers le centre pour créer un contact plus long entre les dents et diminuer l’espace en “V” (cercle vert). L’effet secondaire de ce mouvement est qu’un espace plus grand apparaît entre les centrales et les latérales (flèches jaunes) et que les racines des centrales sont basculées vers celles des latérales (flèches vertes) et entrent en collision avec elles (* jaunes). Ce type de mouvement n’es pas recommandé à cause du dommage qu’il peut causer aux racines des dents.

Traitement orthodontique destiné à améliorer l’esthétique des incisives supérieures

  • (A) Occlusion initiale; Les centrales de dimensions normales ont été élargies au centre avec  ~ 2 mm de composite sur chaque dent dans le but de camoufler un diastème de ± 4 mm. Ceci les rend beaucoup plus larges que les latérales (astérisques * bleus) qui elles, sont de dimension trop étroites. Le contraste entre ces latérales étroites et les centrales rendues beaucoup trop larges est frappant (B – sourire). De plus, un nouvel espace est apparu entre les centrales. Il ne serait maintenant pas logique d’élargir davantage les centrales et augmenter de déséquilibre esthétique. Des corrections orthodontiques permettront d’obtenir de meilleure positions pour les incisives et de meilleures proportions en enlevant le composite.
  • (C, G) Gros plan des centrales; les flèches indiquent la zone de composite ajouté au centre ce qui est plus visible sur une radiographie (D) où le pointillé jaune indique la démarcation entre le composite et le bord naturel de la dent.
  • (D, E) Le composite a été enlevé progressivement. À mesure que les dents sont déplacées vers le centre pour fermer le diastème le composite est réduit.de façon à ne pas avoir un espace trop large et inesthétique de 4 mm si tout le composite avait enlevé d’un seul coup. Les pointillés rouges indiquent l’axe des dents. On remarque que lorsque les dents sont basculées vers le centre, il se produit une inclinaison des dents qui penchent vers le centre (visible en “E” pour la centrale et latérale gauche). Ceci sera corrigé plus tard dans une autre étape du traitement. À remarquer  aussi qu’à mesure que l’espace entre les centrales se referme, un espace apparaît entre les centrales et latérales qui est visible des deux côtés mais est plus important à droite (flèche verte). Il reste encore un peu de composite  à retirer (pointillés jaunes).
  • (F) Plus tard dans le traitement, les espaces antérieures sont fermés mais l’inclinaison des dents est encore irrégulière. Les centrales sont encore un peu trop larges car il reste un peu de composite à enlever. À remarquer que lorsqu’un large diastème est fermé, cela peut causer un épaississement de la gencive qui se trouve compressée entre les dents à mesure qu’elles sont rapprochées. Si cette augmentation de volume ne disparaît pas et est inesthétique, la gencive pourra éventuellement être corrigée à l’aide d’une gingivectomie qui est une procédure simple qui consiste à enlever un peu du tissus excédentaire.
  • (G) Vue occlusale au début du traitement.
  • (H, I) Début des corrections.
  • (J) Les corrections progressent, il ne reste presque plus de composite à enlever.
Ce cas n’est pas terminé. Revenez visiter cette page pour voir le résultat final!

Fermeture « manuelle » instantanée d’un léger diastème

  • (A) Deux ans après la fin du traitement d’orthodontie, l’attelle e rétention fixe a cassé entre les incisives supérieures (flèche en [F]). Ceci a créé un léger espace d’à peine 1 mm entre les centrales supérieures qui se sont déplacées vers les côtés (flèche en [A]). À noter que les dents sont relativement parallèles à ce (moment pointillés bleus) malgré la présence d’un espace.
  • (B) un espace d’une fraction de millimètre peut parfois être fermé simplement en appliquant une pression pendant quelques secondes comme ici en  à l’aide d’une pince orthodontique. Ceci est possible à cause de la présence d’un ligament parodontal de 0,25 mm qui fait le tour de la racine de la dent et qui peut être compressé.
  • Pour en savoir plus sur le parodonte.
  • (C) La fermeture du diastème peut causer une légère inclinaison d’une ou des deux dents qui ont été rapprochées. Dans ce cas-ci, la centrale supérieure gauche penche légèrement vers le centre (pointillé bleu avec flèches) et le bord incisif de la dent semble incliné aussi (légèrement plus bas d’un côté – flèches jaunes).
  • (D) Le bord inégal peut alors être facilement poli pour le rendre plus harmonieux avec les dents adjacentes (flèche).
  • (E) Occlusion à la fin du traitement d’orthodontie.
  • Deux ans plus tard lors de la fracture de l’attelle de rétention (flèche – [F]) un diastème est apparu (G).
  • (H) Après la fermeture à nouveau du diastème à l’aide de pinces il est nécessaire de remettre une attelle de rétention pour garder l’espace fermé.

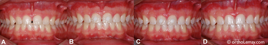
Boutons transparents et ligature élastique

Parfois la fermeture d’un diastème peut être assez simple.
  • (A) Patient ayant une excellente occlusion et bon alignement général des dents. Il désirait fermer l’espace entre les centrales supérieures qu’il trouvait inesthétique.
  • (B) La correction fut faite à l’aide d’attaches de la couleur des dents et d’un élastique permanent transparent qui rapproche les dents. Le tout est pratiquement invisible.
  • (C) Après 10 jours l’espace est fermé et les centrales se touchent. Les attaches peuvent alors être enlevées.
  • (D) Une fois la correction terminée, il est nécessaire de coller une attelle de rétention sur la face interne des dents afin de prévenir l’ouverture de l’espace à nouveau.

Exemple de fermeture partielle de diastème

  • (A) Occlusion avec un espacement généralisé des dents antérieures supérieures et inférieures. Il y a un diastème de plus de 6 mm entre les centrales supérieures (flèche bleue) et de près de 3 mm entre celles du bas.
  • (B) Vue occlusale montrant le diastème et les espaces interdentaires.
  • (C) À la fin du traitement, la patiente voulait garder un espace de ± 2 mm au haut. Il reste un espace minime entre les centrales inférieures.
  • (D) Il est essentiel d’utiliser une attelle de rétention fixe pour maximiser les chances de stabilité des corrections obtenues. Le désavantage de maintenir un espace entre les dents est que l’attelle de rétention peut être visible entre les dents mais ce n’est pas le cas chez cette patiente. Pour en savoir plus sur la rétention et la stabilité des corrections orthodontiques.
  • (E) Appareils orthodontiques multi-bagues fixes utilisés pendant le traitement, lors de la pose des appareils et (F) vers la fin du traitement après 7 mois de corrections.
  • (G) Sourire et diastèmes avant le traitement et (H) à la fin du traitement.
  • À noter que la position de la langue est probablement un facteur ayant contribué aux malpositions des dents en les gardant avancées et espacées mais que le frein labial entre les centrales n’y est pour rien et que le couper (frénectomie) ne changerait rien à ce problème.
  • Il était certainement possible de fermer complètement les espaces antérieurs, même qu’ils l’on été à un moment pendant le traitement (voir en F), mais la patiente désirait garder les espaces qui sont présents sur les photos finales (C, D, H).

Fermeture d’espaces et de diastèmes

Lorsqu’un diastème important est présent avant un traitement d’expansion maxillaire, ce diastème augmentera significativement. Après l’expansion, il pourra être refermé à l’aide de à l’aide de quelques boîtiers et un élastique.   ➡ Pour voir d’autres exemples de fermeture de diastèmes et des cas particuliers.

Fermeture d’espaces et de diastèmes

Parfois la fermeture d’un diastème peut être assez simple.

  • (A) Patient ayant une excellente occlusion et bon alignement général des dents. Il désirait fermer l’espace entre les centrales supérieures qu’il trouvait inesthétique.
  • (B) La correction fut faite à l’aide d’attaches de la couleur des dents et d’un élastique permanent transparent qui rapproche les dents. Le tout est pratiquement invisible.
  • (C) Après 10 jours l’espace est fermé et les centrales se touchent. Les attaches peuvent alors être enlevées.
  • (D) Une fois la correction terminée, il est nécessaire de coller une attelle de rétention sur la face interne des dents afin de prévenir l’ouverture de l’espace à nouveau.
Mise à jour pour