Exemple de cas cliniques en orthodontie

Exemple de cas cliniques en orthodontie

Arcades étroites et surplomb vertical excessif – adulte

Après le traitement : dents inférieures dégagées et sourire plus large. Le dentiste généraliste a élargi les latérales supérieures à l’aide de facettes et a fait un blanchiment des dents.

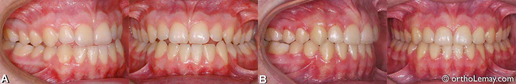
Diastème et surplomb vertical excessif – adulte

Les corrections ont permis de fermer le diastème et dégager les dents inférieures qui mordaient au palais. Le sourire est élargi.

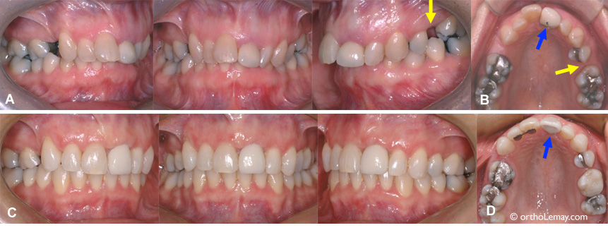
Dentition mutilée

  • (A et B) Malocclusion avant le traitement; des espaces importants sont présents et une couronne épaisse est présente sur une incisive supérieure.
  • (C et D) Après l’orthodontie, les espaces sont fermés (partiellement à droite), une nouvelle couronne plus esthétique a été faite sur la centrale qui est en meilleure position, les incisives inférieures sont visibles et le contour des gencives est plus uniforme, ce qui rend le sourire plus esthétique.

Effets secondaires pouvant se produire pendant l’expansion maxillaire rapide

Effets secondaires au niveau de la gencive lors de l’expansion maxillaire rapide

  • (A) Condition initiale, lors de la pose  l’appareil d’expansion.
  • (B, C) Lors de l’immobilisation de l’appareil, une zone rouge légèrement plus basse apparait sur le bord des incisives centrales (flèches bleues).
  • (D) Après quelques semaines, les centrales reviennent vers l’intérieur et cette zone rouge est disparue (A à D sont le même cas).
  • (E, F) Autre cas lors de l’immobilisation de l’appareil.
  • (G, H) Deux cas différents montrant la zone triangulaire très visible après la fin de l’activation de l’appareil.

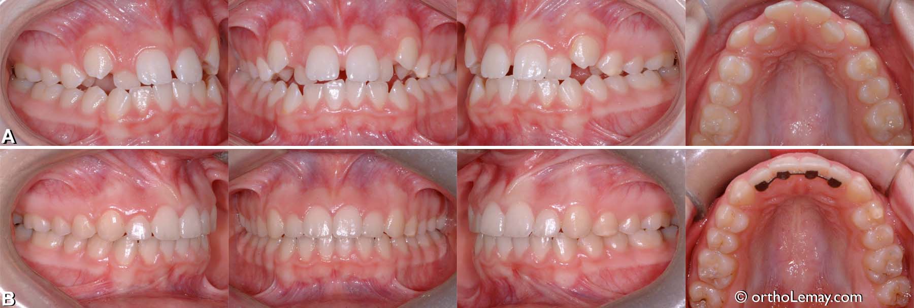
Expansion et extraction de molaires supérieures

Expansion dento-alvéolaire faite aux deux arcades et ayant permis de corriger le chevauchement dentaire et manque d’espace chez une femme de 22 ans.
  • (A) Avant le traitement.
  • (B) après les corrections orthodontiques.
  • Note: les troisièmes molaires supérieures ont été extraites car elles n’étaient pas fonctionnelles.

Expansion et extraction de molaires supérieures

  • (A) Adulte de 24 ans ayant des arcades étroites, du chevauchement dentaire sévère (manque d’espace) et une latérale en linguo-version (du côté du palais). Les premières molaires étant sévèrement endommagées, il fut décidé de les extraire (*) pour éviter la nécessité de faire des couronnes prothétiques et possiblement des traitements de canal plus tard.
  • (B) 10 semaines plus tard,  l’expansion progresse bien mais la majeure partie de l’espace où les molaires ont été extraites reste à fermer.
  • (C) 10.5 mois lus tard (soit 12 mois au total), l’expansion est obtenue et les espaces d’extraction sont fermés complètement. La latérale droite qui était du côté du palais est maintenant alignée dans l’arcade dentaire.
  • Le traitement n’est pas terminé mais les arcades ont des proportions harmonieuses et le chevauchement est éliminé.

Arcades étroites – occlusion croisée postérieure

  • Caractéristiques de la malocclusion : Palais et arcade supérieure étroits, dents du haut basculées vers l’intérieur (occlusion croisée).
  • Correction d’une occlusion croisée postérieure bilatérale à l’aide de “broches” (sans utiliser d’appareil d’expansion).

Classe 3 – autre exemple traité (8)

  • Malocclusion dentaire classe 3 avec sévère occlusion croisée antérieure chez un adulte de 42 ans.
  • (A) Avant le traitement.
  • (B, C) Mécanique et élastiques utilisés dans différentes étapes des corrections.
  • (D) Résultat final. Un appareil de rétention particulier pour aider dans la contention d’un tel cas.

Classe 3 – autre exemple traité (7)

  • Adolescent de 15 ans.
  • (A) Malocclusion dentaire classe 3 (III) avec maxillaire étroit et important décalage sagittal du côté droit.
  • (B) Après le traitement d’orthodontie.

Classe 3 – autre exemple traité (6)

  • Fille de 13 ans.
  • (A) Malocclusion classe 3 (III) avec maxillaire étroit et un décalage sagittal entre les mâchoires assez sévère.
  • (B) Après les corrections, le maxillaire supérieur a été élargi et les dents ont été avancées pour obtenir une relation fonctionnelle avec celles du bas.
Mise à jour pour