En raison de la pandémie de COVID-19, les dentistes et les orthodontistes ont dû prendre des mesures afin de limiter la propagation du virus dans leurs cliniques. Des protocoles ont donc été mis en place pour la sécurité de tous et de toutes. Cependant, le personnel des cliniques a aussi besoin de votre collaboration.
Nous vous demandons de vous renseigner sur les mesures à suivre lors de votre prochaine visite et de ne pas vous présenter si vous êtes atteint ou atteinte de la COVID-19, si vous avez des symptômes s’apparentant à la COVID-19 ou si vous avez été en contact avec une personne qui est ou pourrait être atteinte de la COVID-19.
Merci de votre compréhension et de votre coopération en ces temps difficiles.
L’équipe Bücco et ses membres dentistes et spécialistes
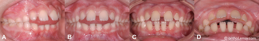
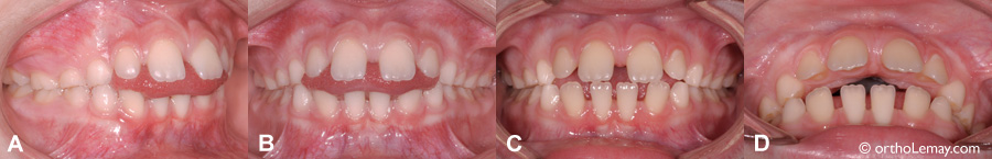
(A-B) Jeune de 9 ans avec une béance antérieure importante et une position de langue interposée entre les dents antérieures au repos, ce qui contribue à maintenir de espaces interdentaires.
(C) Lorsque la langue est gardée l’arrière, on remarque les espaces entre les dents.
(D) Une vue en plongée montre l’écart important entre les 2 arcades.
La mésiodens: un cas particulier (4)
(A-B) Jeune de 9 ans avec une béance antérieure importante et une position de langue interposée entre les dents antérieures au repos, ce qui contribue à maintenir de espaces interdentaires.
(C) Lorsque la langue est gardée l’arrière, on remarque les espaces entre les dents.
(D) Une vue en plongée montre l’écart important entre les 2 arcades.
La mésiodens: un cas particulier (3)
(A) Avant les corrections; présence d’un espace de 3,5 mm entre les centrales supérieures.
(B) Après la fermeture du diastème (traitement complet).
La mésiodens: un cas particulier (2)
(A, B) Cette adolescente de 16 ans présente une mâchoire supérieure étroite, un diastème, des canines ectopique et une déviation importante des lignes médianes. De plus, les latérales supérieurs sont étroites, ce qui rend plus difficile un “alignement” idéal des dents antérieures.
(C, D) Après les corrections “globales” (aux 2 arcades), le diastème est fermé mais les lignes médianes ne sont pas complètement alignées. Il existe cependant une bonne relation fonctionnelle sur les côtés alors cette déviation des ligne médianes est acceptable dans un tel cas.
La mésiodens: un cas particulier (1)
(A) Diastème important entre les centrales supérieures.
(B) Corrections à l’arcade supérieure seulement afin de reculer les antérieures et fermer l’espace.
(C) Sourire avant le traitement.
(D) Fermeture de l’espace après les corrections.
(F) Sourire final.
Orthodontie inter-disciplinaire (suite)
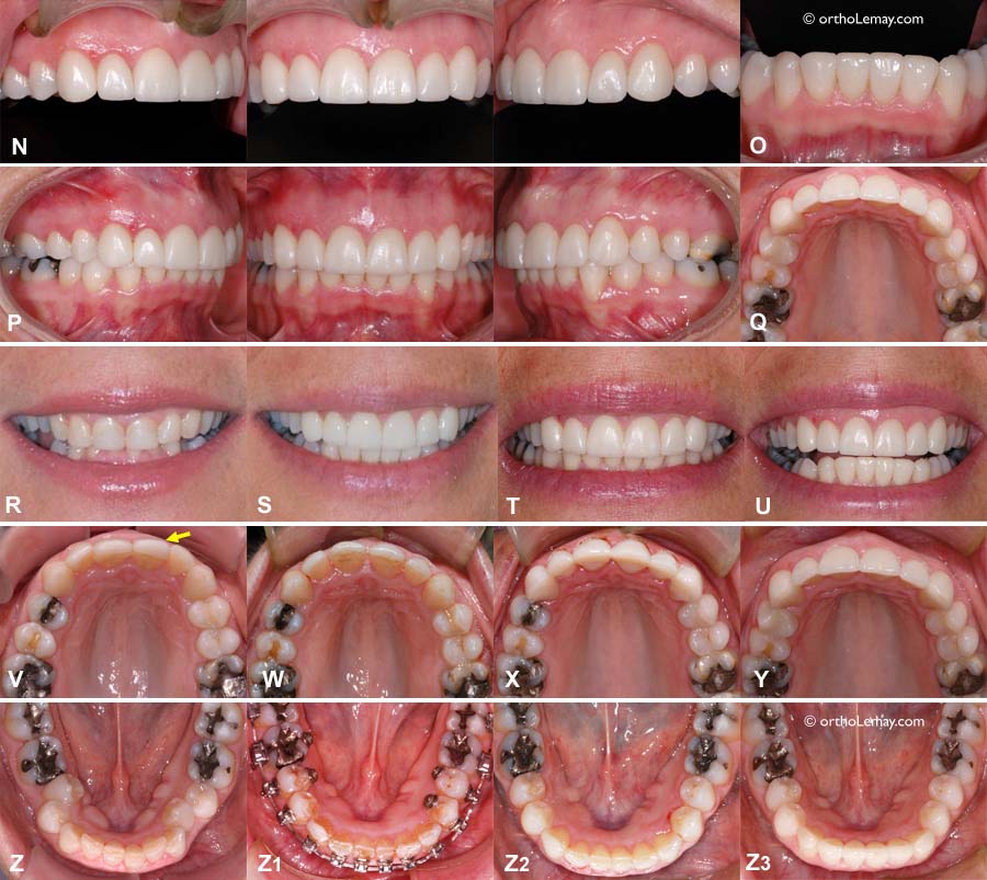
(N) Couronnes sur les 6 dents antérieures supérieures et inférieures (O).
(P) Occlusion finale avec les couronnes finales.
(Q) Vue occlusale de l’arcade supérieure avec les couronnes.
(R) Sourire avant le traitement et après le traitement avec les couronnes (S, T, U).
Vues occlusales: arcade supérieure
(V) Avant le traitement; la flèche indique un épaississement en composite qui fut appliqué sur l’incisive centrale gauche afin de camoufler une rotation sur cette dent. Ce composite fut enlevé pour remettre la dent dans sa position idéale (W).
(W) Fin de l’orthodontie; le composite a été enlevé, les corrections complétées et des espaces inter-dentaires sont présents pour permettre au dentiste généraliste de faire des couronnes de dimensions optimales.
(X) Avec les couronnes temporaires en bouche qui ont été remplacées par des couronnes finales en porcelaine plus tard (Y). (L’apparence différente des incisives sur les photos X et Y est causée par l’angle différent des photos).
Vues occlusales: arcade inférieure
(Z) Dentition inférieure avant le traitement d’orthodontie; la forme de l’arcade est étroite, irrégulière et il manque de l’espace pour loger les dents dans l’arcade dentaire.
(Z1) Pendant les corrections orthodontiques avec les appareils multi-bagues (“broches”) en bouche. On remarque que les bouts des incisives sont très usés.
(Z2) À la fin du traitement d’orthodontie après l’enlèvement des appareils correcteurs (“broches”).
(Z3) Après la fabrication et la pose des couronnes finales sur les 6 dents antérieures.
En conclusion, la correction d’une malocclusion sévère avec un surplomb vertical excessif et usure dentaire importante n’est possible qu’avec une approche impliquant plusieurs disciplines de la dentisterie dont l’orthodontie, la dentisterie générale, la prosthodontie, la parodontie, etc. Un dentiste généraliste ne pourrait rien faire de valable ou significatif dans un tel cas sans orthodontie et l’orthodontiste ne pourrait que replacer les dents, diminuer le patron d’occlusion qui contribue à l’usure dentaire, mais ne pourrait donner un sourire aussi esthétique et fonctionnel sans restaurations par le dentiste après l’orthodontie. C’est l’essence même de la collaboration inter-disciplinaire en dentisterie.
Orthodontie inter-disciplinaire
(A) Occlusion au début du traitement; les incisives supérieures sont inclinées vers l’intérieur et recouvrent complètement les dents inférieures et une partie de la gencive.
(B) En ouvrant la bouche, on peut apprécier la sévérité de l’usure. Les couronnes des incisives inférieures sont raccourcies de presque 50%!
(C) Orthodontie : À cause du surplomb excessif, une plan articulé amovible a été utilisé à l’arcade du haut (D) pour donner un point d’appui aux incisives inférieures lors de la fermeture et pour éviter que les incisives supérieures ne mordent sur les boîtiers des incisives inférieures et le fassent décoller. Des élastiques (C, E) sont utilisés pour rapprocher les dents des deux arcades ensemble et élargir l’arcade inférieure. Pour en savoir plus sur l’utilisation des plans articulés et la disclusion en orthodontie.
(F) Une fois que les dents postérieures se touchent, le plan articulé peut être retiré, ce qui nécessite entre ± 4 et 7 mois de traitement.
(G) Les corrections orthodontiques ont ensuite été complétées en consultant le dentiste généraliste pour savoir dans quelle position il désirait avoir les dents antérieures pour lui faciliter la tâche restauratrice après l’orthodontie. Dans ce cas, il était nécessaire de “remonter” (ingression) les incisives supérieures davantage afin de donner un meilleur contour esthétique à la gencive. Pour en savoir plus sur l’esthétique du sourire et le “contour gingival”.
(H) Fin de l’orthodontie : Une fois les appareils orthodontiques enlevés, on peut apprécier le changement dans la dimension verticale; les incisives ne se surplombent plus du tout (comparez avec le surplomb présent avant le traitement en [A]).
(I et M) Les bords des incisives de chaque arcade sont complètement inégaux, mais les dents ont été placées de cette façon afin d’améliorer le contour des gencives. Il est prévu que le dentiste restaurera par la suite les dents alors l’esthétique dentaire n’est pas la priorité à ce stade.
(J et K) Dentition avant le traitement d’orthodontie avec les dents “bout-à-bout” (J) et la bouche ouverte (K) et après les corrections orthodontiques (L) la bouche ouverte.
Après la fin du traitement d’orthodontie, le “relais” est passé au dentiste qui fera les couronnes sur les dents antérieures (6 dents supérieures et inférieures) et permettra ainsi d’obtenir une fonction et esthétique optimales.
Dentition mutilée
Classe 2 division 2, femme de 47 ans.
(A) Les incisives supérieures sont inclinées vers l’arrière et recouvrent complètement celles du bas. On peut apprécier les niveaux verticaux des dents lorsque la bouche est ouverte.
(B) Après les corrections, l’inclinaison des incisive est corrigée et les incisives inférieures sont visibles, ce qui facilite aussi la fonction.
(C) Une vue de l’arcade du haut montre le changement d’inclinaison des incisives et de la forme de l’arcade.
(D) Sourire avant et après le traitement d’orthodontie.
Dentition mutilée
Adulte présentant une dentition “mutilée” (caries, dents fracturée et extraites). L’orthodontie a préparé la dentition pour que le dentiste puisse faire des restaurations adéquates (couronnes et ponts).
Arcades étroites – Chevauchement et manque d’espace – adulte
L’élargissement des arcades a permis de loger les dents,d’améliorer la fonction et l’esthétique et d’éliminer le chevauchement dentaire sans avoir recours à des extractions ou un appareil d’expansion.