En raison de la pandémie de COVID-19, les dentistes et les orthodontistes ont dû prendre des mesures afin de limiter la propagation du virus dans leurs cliniques. Des protocoles ont donc été mis en place pour la sécurité de tous et de toutes. Cependant, le personnel des cliniques a aussi besoin de votre collaboration.
Nous vous demandons de vous renseigner sur les mesures à suivre lors de votre prochaine visite et de ne pas vous présenter si vous êtes atteint ou atteinte de la COVID-19, si vous avez des symptômes s’apparentant à la COVID-19 ou si vous avez été en contact avec une personne qui est ou pourrait être atteinte de la COVID-19.
Merci de votre compréhension et de votre coopération en ces temps difficiles.
L’équipe Bücco et ses membres dentistes et spécialistes
(A) Femme de 50 ans avec une déficience maxillaire causant une occlusion croisée postérieure et antérieure (partiellement). Les incisives inférieures sont rétroinclinées ou basculées vers l’intérieur comme c’est souvent le cas avec les malocclusions classe 3. Les photos de droite sont prises avec la bouche ouverte.
(B) Après le traitement, l’arcade supérieure a été élargie pour corriger l’occlusion croisée mais une certaine inclinaison des incisives inférieures a été maintenue pour compenser pour le déséquilibre sagittal (avant-arrière) des mâchoires contribuant à la relation classe 3.
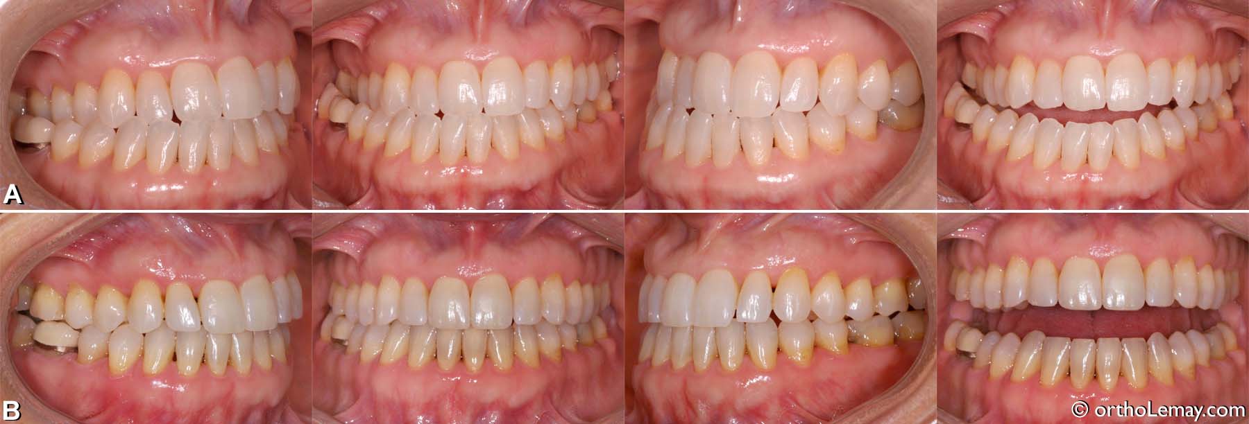
Classe 3 – autre exemple traité (4)
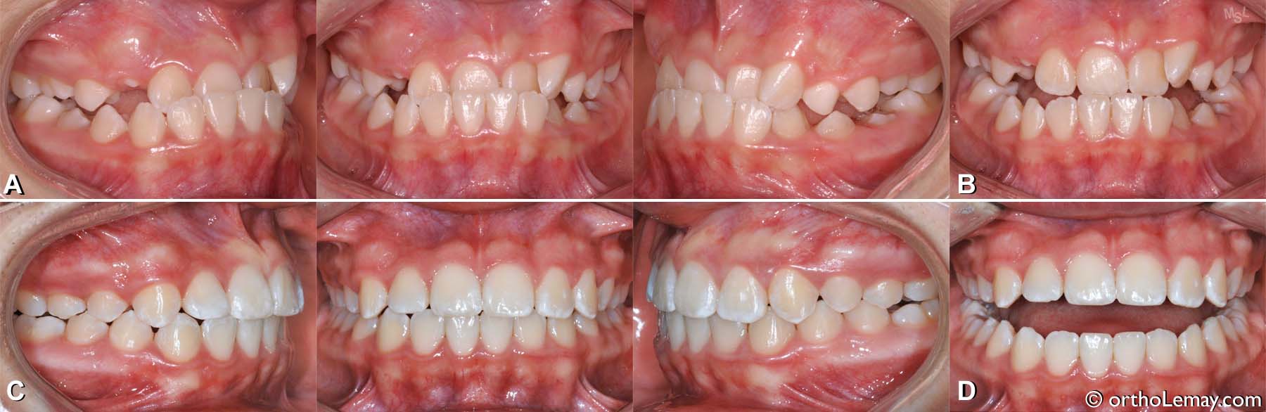
Malocclusion dentaire classe 3 avec chevauchement et manque d’espace chez une adolescente de 17 ans.
(A) Avant le traitement, les incisives inférieures sont basculées vers l’intérieur dans une tentative de maintenir des contacts entre les dents en présence d,une mandibule plus longue (légère prognathie mandibulaire).
(B) Après le traitement , les arcades ont été élargies, l’encombrement dentaire éliminé et la fonction des dents améliorées. Les contacts entres les dents postérieures droites devraient s’ajuster avec le temps et les dents s’engrèneront un peu plus.
Classe 3 – autre exemple traité (3)
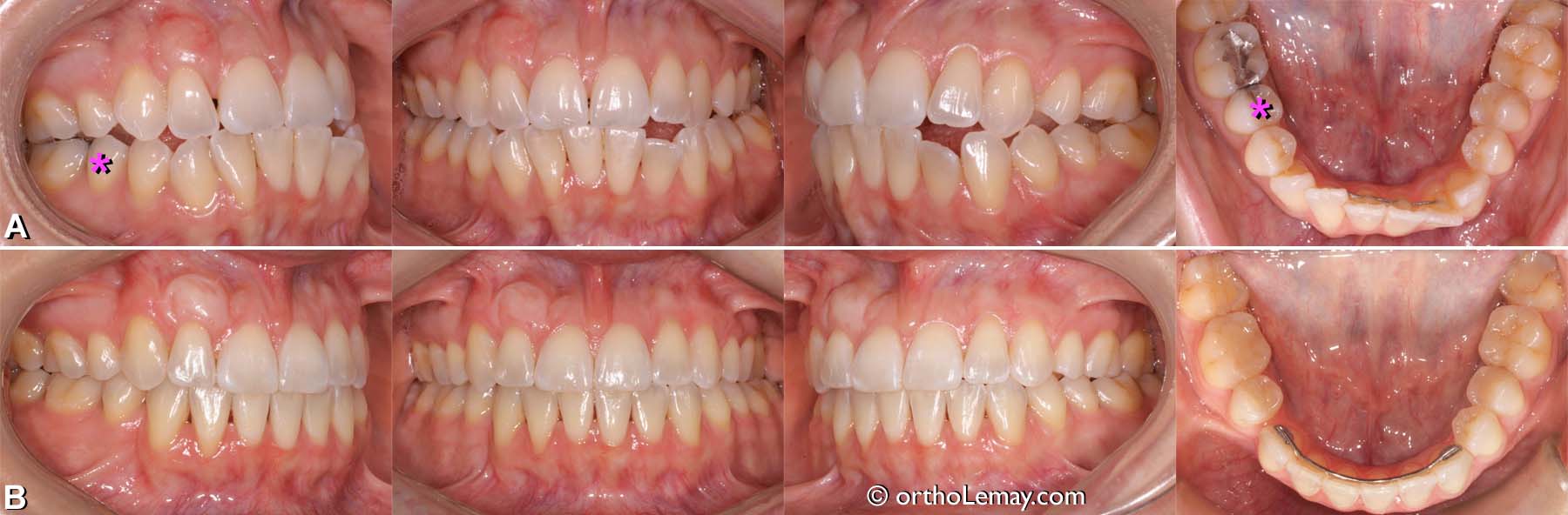
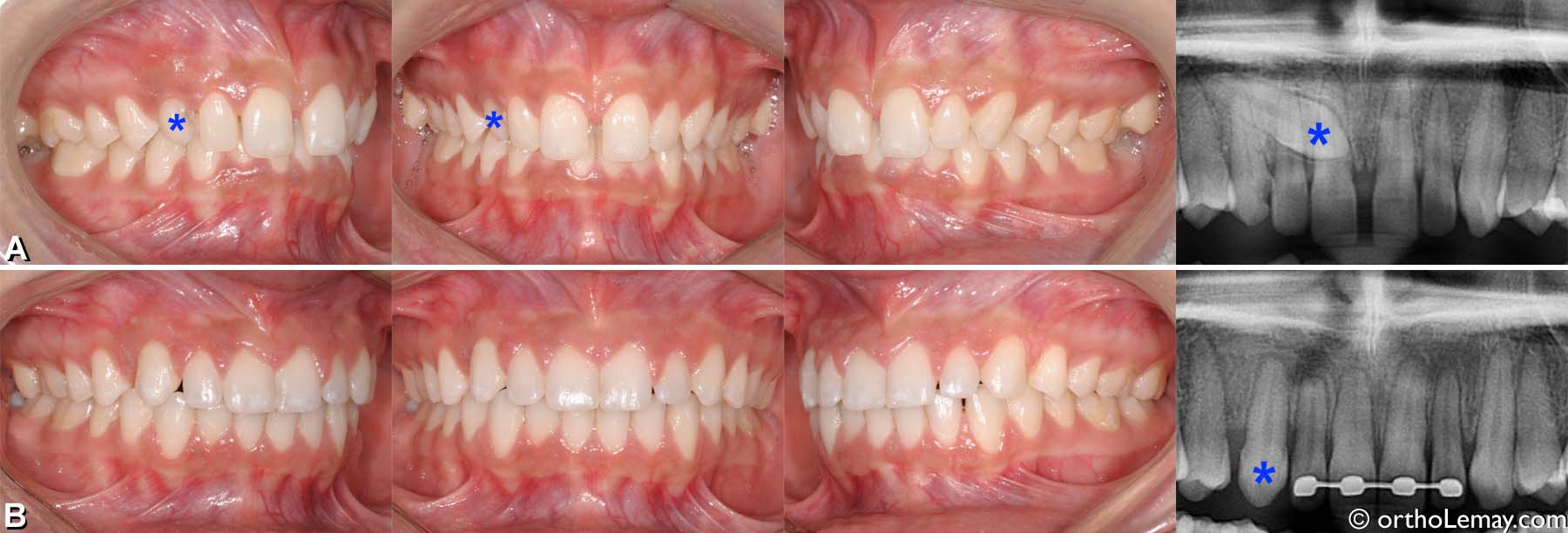
(A) Femme de 41 ans ayant déjà eu 2 traitements d’orthodontie avec récidive. Elle présente une malocclusion classe 3, particulièrement du côté droit, mais les molaires sont en relation classe 2 car les premières prémolaires ont été extraite lors d’un des traitements d’orthodontie précédents. On remarque aussi l’apparition d’une béance antérieure, d’une importante asymétrie entre les arcades et du chevauchement dentaire dans la région antérieure inférieure. La bascule labiale des incisives inférieures gauches peut être partiellement causé par la présence d’un fil de rétention torsadé qui a parfois tendance à causer de tels mouvements dentaires (:arrow: Pour en savoir plus sur ce sujet).
(B) Résultats du traitement. Nous avons choisi d’extraction la deuxième prémolaire inférieure droite (* en A), ce qui a procuré l’espace nécessaire pour corriger l’asymétrie inférieure en déplaçant les dents vers la droite. Ceci a permis de désencombrer les dents et de corriger les lignes médianes. Un fil de rétention rigide et fixé uniquement sur les canines fut posé à la fin. Ce genre de fil à moins tendance à contribuer à des récidives que les fils torsadés multibrins.
➡ Pour en savoir plus sur la rétention orthodontique et la stabilité des corrections.
Classe 3 – autre exemple traité (2)
Malocclusion dentaire classe 3 avec occlusion croisée antérieure et glissement fonctionnel.
Garçon de 11 ans.
(A) Les incisives supérieures mordent à l’intérieur des incisives inférieures.
(B) Lorsque le patient ouvre la bouche et tente de reculer la mandibule, il peut à peine amener ses incisives en relation “bout-à-bout” à l’avant. Pour fonctionner convenablement, il doit donc faire glisser sa mâchoire inférieure vers l’avant afin d’avoir plus de contacts entre les dents postérieures pour mieux mastiquer (A).
(C) Après les corrections orthodontiques.
(D) Bouche ouverte après le traitement.
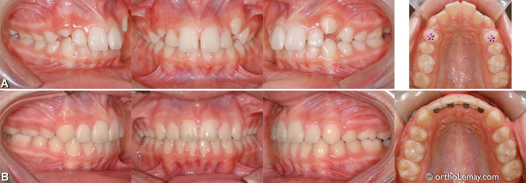
Classe 3 – autre exemple traité (1, suite)
Correction d’une malocclusion dentaire classe 3 (III) avec déficience maxillaire et canine incluse.
(C, D) changement de profil et esthétique du visage avant et après le traitement. Le profil pré-traitement (C) avait un menton plus proéminent et est plus équilibré après le traitement (D).
(E,F) Les radiographies cephalométriques montrent le changement dans la position des mâchoires et la relation des dents antérieures avant le traitement (E) et après (F).
(G, H, I) Radiographies montrant les étapes de la traction de la canine incluse palatine.
(J) Canine temporaire (*) et vue droite de la malocclusion avant le traitement.
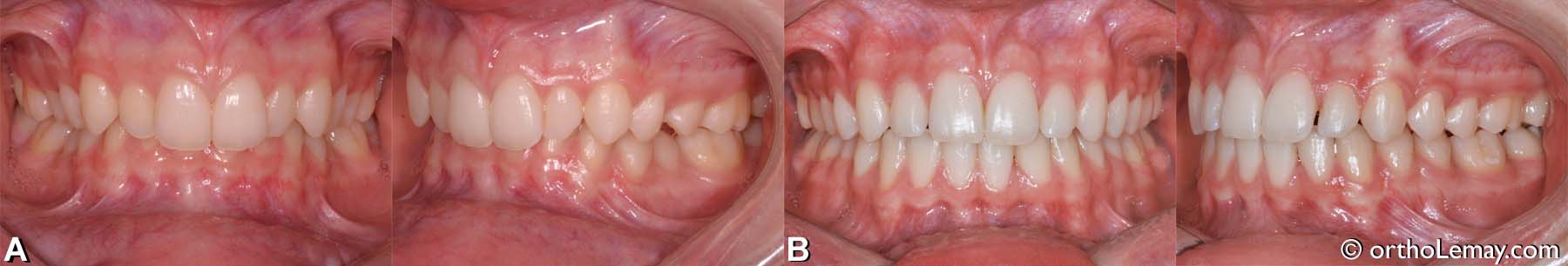
Classe 3 : autre exemple traité (1)
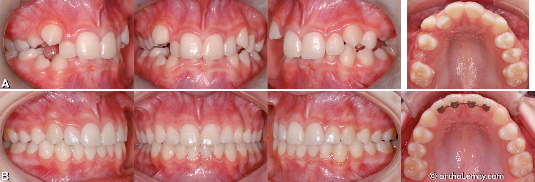
Correction d’une malocclusion dentaire classe 3 (III) chez une fille de 18 ans avec déficience maxillaire et canine incluse.
(A) Maxillaire étroit avec occlusion croisée postérieur bilatérale. Les incisives latérales supérieurs mondent aussi en linguo-version. La canine supérieur droite est incluse dans le palais (voir G, H ci-dessous). L’astérisque (*) indique la canine primaire.
(B) Après les corrections orthodontiques, l’arcade supérieures a été élargie et reformée pour être harmonisée avec l’arcade mandibulaire et la relation “classe 3” est corrigée. La canine incluse a été tractée et logée dans l’arcade dentaire (*).
Exemple de traitement de malocclusion classe 2 (17)
Fille de 13 ans.
(A) Malocclusion avec une relation classe 2 pour les canines mais les molaires gauches sont en relation classe 1. Supraclusion antérieure excessive (overbite) avec 100% de recouvrement vertical.
(B) Correction de la classe 2 canine, diminution de la supraclusion pour normaliser l’overbite. Les espaces entre les incisives supérieures latérales et centrales sont causés par la dimension trop étroite des dents latérales. Ceci peut être corrigé par l’ajout de composite dentaire.
Exemple de traitement de malocclusion classe 2 (16)
Fille de 11 ans.
(A) Malocclusion dentaire classe 2 division 2 avec overbite de 90% (supraclusion antérieure, recouvrement vertical), arcades étroites et manque d’espace.
(B) Après le traitement d’orthodontie les dents sont alignées, les arcades élargies et l’overbite régularisé et fonctionnel.
Exemple de traitement de malocclusion classe 2 (15)
Adolescent de 12 ans.
(A) Malocclusion classe 2 division 1, overjet 6 mm et surplomb vertical de 60%.
(B) Fin du traitement d’orthodontie à l’aide de l’extraction des premières prémolaires supérieures (*). La forme de l’arcade supérieure a été élargie.
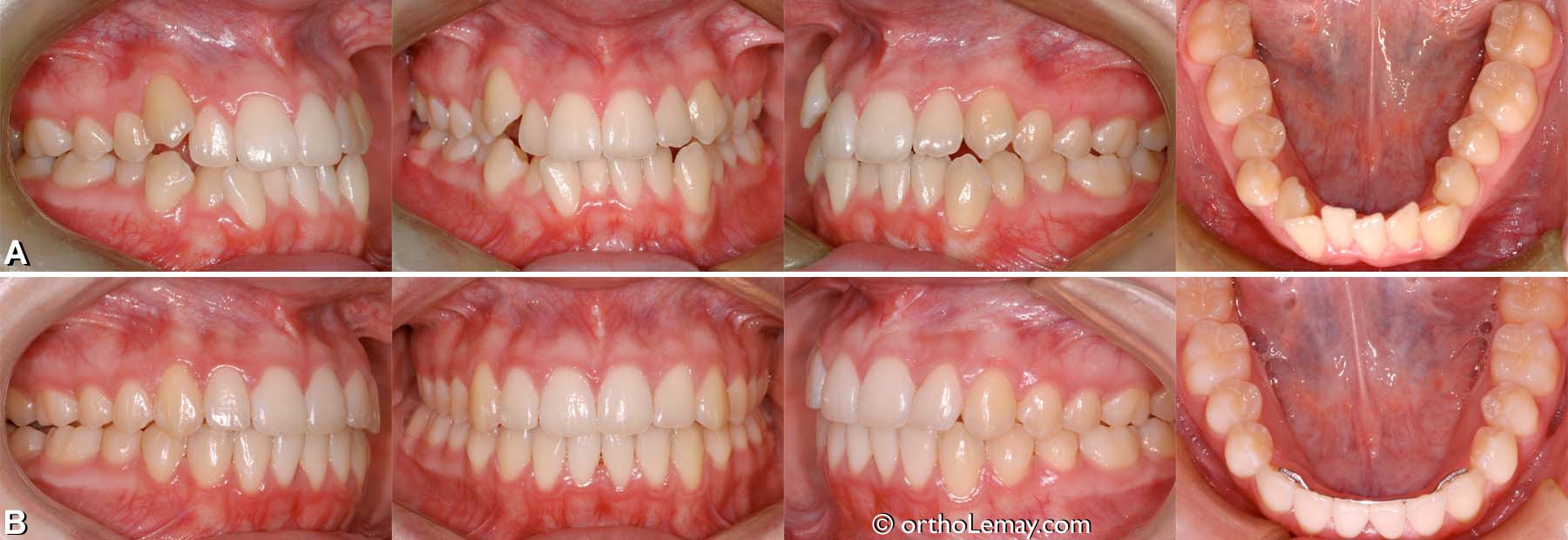
Exemple de traitement de malocclusion classe 2 (14)
Femme de 20 ans.
(A) Malocclusion classe 2 division 2 avec surplomb vertical excessif (overbite) et canine supérieure droite sévèrement incluse dans le palais. La canine temporaire est toujours en place (* en A).
(B) Fin du traitement ; la canine incluse a été dégagée et tractée pour être logée dans l’arcade et devenir fonctionnelle. Les espaces ont été fermés et le surplomb vertical normalisé.