En raison de la pandémie de COVID-19, les dentistes et les orthodontistes ont dû prendre des mesures afin de limiter la propagation du virus dans leurs cliniques. Des protocoles ont donc été mis en place pour la sécurité de tous et de toutes. Cependant, le personnel des cliniques a aussi besoin de votre collaboration.
Nous vous demandons de vous renseigner sur les mesures à suivre lors de votre prochaine visite et de ne pas vous présenter si vous êtes atteint ou atteinte de la COVID-19, si vous avez des symptômes s’apparentant à la COVID-19 ou si vous avez été en contact avec une personne qui est ou pourrait être atteinte de la COVID-19.
Merci de votre compréhension et de votre coopération en ces temps difficiles.
L’équipe Bücco et ses membres dentistes et spécialistes
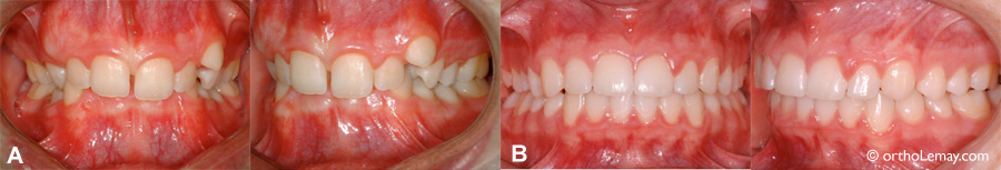
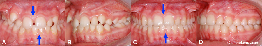
(A) Malocclusion classe 1 avec encombrement dentaire important et déviation des lignes médianes. (B) Après les corrections orthodontiques un bon engrenage dentaire et l’alignement des lignes médianes ont été obtenus (aucune extraction dentaire).
Exemples de correction de lignes médianes en orthodontie
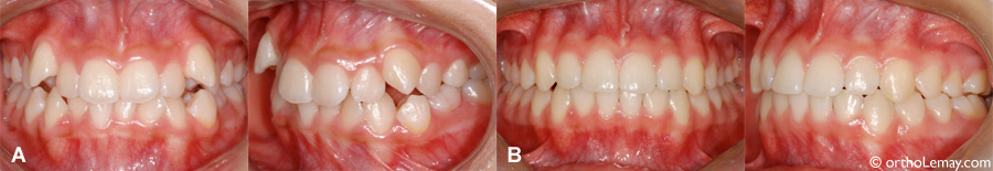
(A) Malocclusion classe 1 avec chevauchement dentaire modéré aux 2 arcades et déviation de la ligne médiane inférieure vers la gauche. (B) Corrections orthodontiques sans extractions. Notez l’amélioration de la ligne médiane qui sont maintenant coïncidentes.
déviation extrême
(A) Une déviation extrême de la ligne médiane (plus de 4 mm) sera considérée inesthétique par tous. Cette femme dans la quarantaine a eu une latérale extraire où est la flèche. Ceci a causé une migration des autres incisives vers la droite occasionnant une sévère déviation de la ligne médiane dentaire supérieure (pointillé jaune). Cette déviation est évidente lorsqu’elle est comparée à la ligne médiane faciale (ligne bleue). (B) Vues intra orales.
Pour voir d’autres exemples de déviation des lignes médianes causées par des extractions mal planifiées.
asymétrie importante
Asymétrie importante causée par l’extraction de prémolaires sans supervision subséquente. (A et B) L’extraction d’une prémolaire supérieure et inférieure du côté droit (flèche) a causé le déplacement des dents antérieures vers la droite. La ligne pointillée montre l’importance de la déviation. Les dents sont aussi inclinées vers la droite, ce qui augmente l’effet d’asymétrie. (C) La mandibule et le menton sont aussi déviés vers la droite. La ligne jaune est alignée avec les centrales supérieures décalées vers la droite. (D) La déviation des dents affecte l’esthétique du sourire. (E) Les flèches indiquent les endroits où les dents ont été extraites, ce qui a contribué à créer une asymétrie des lignes médianes et du sourire.
déséquilibre mâchoires
(A) Cette malocclusion sévère comprenant un déséquilibre des mâchoires en 3 dimensions fut corrigée à l’aide d’une chirurgie orthognathique. (B) Les lignes médianes sont légèrement décalées à la fin du traitement. (C) Cette malocclusion avait un écart de 12 mm entre les incisives supérieures et inférieures. (D) Il persiste un léger décalage entre les lignes médianes.
ado 16 ans
(A, B) Cette adolescente de 16 ans présente une mâchoire supérieure étroite, un diastème, des canines ectopiques et une déviation importante des lignes médianes (flèches). De plus, les latérales supérieures sont étroites, ce qui rend plus difficile un “alignement” idéal des dents antérieures. (C, D) Après les corrections, le diastème est fermé mais les lignes médianes ne sont pas alignées complètement. Il existe cependant une bonne relation fonctionnelle sur les côtés alors cette déviation des lignes médianes est acceptable dans un tel cas.
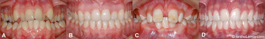
« imperfections »
(A) Ce cas présente certaines “imperfections” avant le traitement dont des latérales supérieures étroites (flèches). Avec des dents disproportionnées, il sera difficile d’avoir une symétrie “idéale”. Le surplomb vertical est excessif. (B) Après le traitement les contacts entre les dents postérieures droites sont “légers”, la ligne médiane est légèrement décentrée. Les latérales ont été élargies pour donner un meilleur résultat esthétique. (C et D) Un an après la fin du traitement les contacts se sont améliorés, l’occlusion est meilleure mais la ligne médiane supérieure demeure déviée.
malocclusion classe 2
(A)Malocclusion de type classe (div. 2) avec surplomb vertical excessif et manque d’espace important. (B) Après les corrections, les dents inférieures sont dégagées et les lignes médianes sont “parfaitement” alignées. (Cas traité sans extractions).
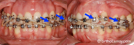
coopération patient
Élastique croisé antérieur pour corriger. Sans le port de cet élastique, il sera plus difficile d’améliorer les lignes médianes.
Pour en savoir plus sur l’utilisation des élastiques en orthodontie et voir es exemples.
Élastique diagonal et classe 2 pour corriger la ligne médiane et obtenir de meilleurs contacts. Les élastiques clairs sont moins visibles.
Un déséquilibre squelettique peut affecter les lignes médianes – asymétrie
(A) La ligne médiane faciale (rouge) n’est pas concordante avec les lignes médianes dentaires (pointillés bleus). (B et C) Les dents sont non seulement déviées mais elles sont aussi inclinées, ce qui empire l’asymétrie et l’esthétisme du sourire. Une partie de la déviation est causée par une asymétrie squelettique; la mandibule est déviée vers la droite. Plusieurs causes contribuent à l’asymétrie des lignes médianes et il sera plus difficile de les harmoniser.