En raison de la pandémie de COVID-19, les dentistes et les orthodontistes ont dû prendre des mesures afin de limiter la propagation du virus dans leurs cliniques. Des protocoles ont donc été mis en place pour la sécurité de tous et de toutes. Cependant, le personnel des cliniques a aussi besoin de votre collaboration.
Nous vous demandons de vous renseigner sur les mesures à suivre lors de votre prochaine visite et de ne pas vous présenter si vous êtes atteint ou atteinte de la COVID-19, si vous avez des symptômes s’apparentant à la COVID-19 ou si vous avez été en contact avec une personne qui est ou pourrait être atteinte de la COVID-19.
Merci de votre compréhension et de votre coopération en ces temps difficiles.
L’équipe Bücco et ses membres dentistes et spécialistes
Ces deux images sont identiques et représentent un sourire asymétrique (sans traitement orthodontique) causé par une position asymétrique des lèvres. Les photos sont alignées sur le plan inter-pupilliare (passant par le centre des yeux) qui sert de référence horizontale pour le visage. (B) Le plan occlusal (ligne bleue) étant parallèle à la ligne inter-pupillaire indique qu’il n’y a pas d’inclinaison anormale à ce niveau. Une ligne rouge joignant les commissures des lèvres montre l’importance de l’inclinaison de la lèvre lors du sourire. Plus de dents sont visibles du côté droit où la lèvre est plus haute, ce qui crée un sourire asymétrique. Les gens confondent parfois une telle asymétrie avec des dents “croches’, inclinées ou des lignes médianes déviées. Il est pratiquement impossible d’obtenir un sourire symétrique avec une telle asymétrie dans la position des lèvres.
Sourire asymétrique causé par les lèvres
(A) À la fin du traitement d’orthodontie, cette patiente présente un sourire asymétrique causé par l’abaissement de la lèvre inférieure du côté droit. Ceci fait paraître plus de dents inférieures de ce côté et rend le sourire asymétrique.
(B) Une vue rapprochée montre que les bords des incisives sont bien alignés (ligne pointillée) que les lignes médianes sont correctes et que l’inclinaison des incisive est bonne. La cause de l’asymétrie n’est donc pas la position des dents. À noter que cette anomalie de la lèvre était présente avant le traitement.
inclinaison incisives
Figure 2 – Dans cette simulation, l’inclinaison des incisive a été modifiée de façon à déplacer la ligne médiane de 1, 2, 3 et 4 mm. La ligne bleue représente l’inclinaison des incisives.
médiane supérieure
Figure 1 – À l’aide de Photoshop, la ligne médiane supérieure a été déplacée de 1, 2, 3 et 4 mm. La ligne bleue représente le centre de l’arcade.
parties d’une dent
Illustration des différentes parties et composantes d’une dent (incisive inférieure) et du parodonte (os alvéolaire et gencive).
classe 1-2-3
La relation des premières molaires sert à déterminer la classification d’Angle de l’occlusion. En classe 1 (relation normale), la cuspide avant (mésiobuccale) de la molaire supérieure est en occlusion avec le sillon de la molaire inférieure. Dans une classe 2, la molaire supérieure est en position plus avancée (ainsi que le reste de la dentition) tandis qu’en présence d’une classe 3, la relation est inversée; la molaires supérieure est plus reculée qu’en position normale (classe 1).
Classe 2
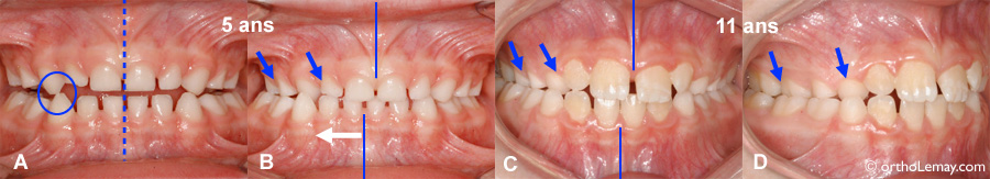
Exemple démontrant que les occlusions croisées (flèches) ne “s’auto-corrigent” pas avec le temps, les années et la croissance.
(A)À l’âge de 5 ans, ce garçon présentait un maxillaire supérieur étroit. Lors de la fermeture de la bouche, une interférence est présente entre les canines temporaires droites (cercle bleu). Dans cette position de fermeture incomplète, les lignes médianes des 2 mâchoires sont alignées (pointillés bleus).
(B) Lors de la fermeture complète de la bouche, ce qui est nécessaire pour obtenir des contacts entre les dents postérieures et mastiquer, l’interférence “force” la mandibule à dévier vers la droite (flèche blanche) créant ainsi une occlusion croisée postérieure droite (flèches bleues) et une importante déviation des lignes médianes (lignes bleues). Nous référons à ce type d’occlusion croisée comme étant de nature fonctionnelle car, bien que la cause du problème soit un maxillaire trop étroit, c’est lors de la fonction (fermeture) que l’occlusion croisée devient apparente (occlusion croisée fonctionnelle).
(C et D)6 ans plus tard, soit à l’âge de 11 ans, les dents permanentes ont commencé à pousser et, malgré la croissance, la même constriction maxillaire est toujours présente avec l’occlusion croisée postérieure et la déviation des lignes médianes. Cette condition ne se corrige pas sans intervention orthodontique.
Occlusion croisée non corrigée #1
Classe 2
(A, C) Exemple de malocclusion de type classe 2 (division 2) avec surplomb antérieur vertical (overbite) excessif à l’âge de 6,5 ans en dentition temporaire. (B, D) À l’âge de 14 ans, les dents permanentes ont remplacé les dents de lait (temporaires) mais la même malocclusion persiste malgré la croissance et le développement, ce qui est normal et typique.
Détection de dommage aux structures avoisinantes
(A, B, C) Différentes images générées à partir d’un scan 3D montrent le dommage que cause une canine incluse sur la racine de la latérale adjacente. (D) Une vue en coupe des racines montre l’étendue de la résorption dans la racine de la latérale (cercle jaune) et une zone concave dans la racine de la prémolaire (flèche). (E, F) Endroit où se situe la canine incluse. (G) L’usure sur la racine de latérale est visible de cet angle mais pas sur la racine de la prémolaire. (H) Une superposition de la photo et de la radiographie permet d’apprécier ce qui se passe sous la gencive.