En raison de la pandémie de COVID-19, les dentistes et les orthodontistes ont dû prendre des mesures afin de limiter la propagation du virus dans leurs cliniques. Des protocoles ont donc été mis en place pour la sécurité de tous et de toutes. Cependant, le personnel des cliniques a aussi besoin de votre collaboration.
Nous vous demandons de vous renseigner sur les mesures à suivre lors de votre prochaine visite et de ne pas vous présenter si vous êtes atteint ou atteinte de la COVID-19, si vous avez des symptômes s’apparentant à la COVID-19 ou si vous avez été en contact avec une personne qui est ou pourrait être atteinte de la COVID-19.
Merci de votre compréhension et de votre coopération en ces temps difficiles.
L’équipe Bücco et ses membres dentistes et spécialistes
Malocclusion de type Classe 2 (division 1) avec dents supérieures avancées et dents inférieures qui “mordent dans le palais”
Les malocclusions Classe 2 division 1
Les malocclusions Classe 2 division 1 sont principalement dues à une mâchoire intérieure reculée. Lorsque les incisives supérieures sont aussi avancées, ceci augmente l’écart entre les deux mâchoires. (A) Garçon de 12 ans avec mandibule reculée. (B) la radiographie montre la mandibule reculée et les incisives supérieures avancées.
classe 1 – femme 22 ans
Malocclusion classe I chez une femme de 22 ans avec chevauchement dentaire et arcades étroites. (A) Avant le traitement, il manque d’espace dans la région antérieure; les incisives inférieures sont basculées vers l’intérieur. (B) Après les corrections, les arcades sont plus plus larges et les incisives plus droites.
classe 1-2
Classe 1 avec chevauchement (manque d’espace) et rotations.
classe 1-1
Malocclusion de type “Classe 1” avec béance antérieure légère (absence de contacts entre les dents)
Les malocclusions: Schéma des classes 1-2-3
La relation des premières molaires sert à déterminer la classification d’Angle de l’occlusion.
En classe 1 (relation normale), la cuspide avant (mésiobuccale) de la molaire supérieure est en occlusion avec le sillon de la molaire inférieure.
Dans une classe 2, la molaire supérieure est en position plus avancée (ainsi que le reste de la dentition)
En présence d'une classe 3, la relation est inversée: la molaire supérieure est plus reculée qu’en position normale (classe 1).
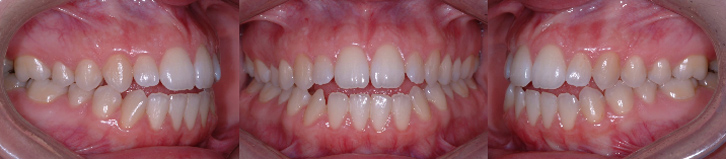
Fille de 12 ans avec chevauchement et arcade supérieure étroite. (A) Malocclusion avant le traitement. (B) Après le traitement sans extractions, l’arcade supérieure est plus large et le chevauchement dentaire est éliminé.
manque d’espace
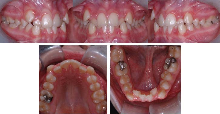
(A) Malocclusion de type classe 2 division 1 avec arcades dentaires étroites et chevauchement sévère dans la région antérieure (femme de 25 ans).
(B) Les vues occlusales permettent d’apprécier le manque d’espace et les rotations dentaires. La gravité du chevauchement ou de l’encombrement dentaire peut nécessiter de l’expansion et/ou des extractions dentaires pour résoudre le manque d’espace.
dimension
(A, B) Centrale supérieure droite plus large que celle de gauche. Elle a été élargie avec du composite suite à un accident. (C, D) À la fin du traitement d’orthodontie, les lignes médianes sont coïncidentes car la centrale plus large a été modifiée pour la rendre plus étroite et de dimension plus proportionnée.