En raison de la pandémie de COVID-19, les dentistes et les orthodontistes ont dû prendre des mesures afin de limiter la propagation du virus dans leurs cliniques. Des protocoles ont donc été mis en place pour la sécurité de tous et de toutes. Cependant, le personnel des cliniques a aussi besoin de votre collaboration.
Nous vous demandons de vous renseigner sur les mesures à suivre lors de votre prochaine visite et de ne pas vous présenter si vous êtes atteint ou atteinte de la COVID-19, si vous avez des symptômes s’apparentant à la COVID-19 ou si vous avez été en contact avec une personne qui est ou pourrait être atteinte de la COVID-19.
Merci de votre compréhension et de votre coopération en ces temps difficiles.
L’équipe Bücco et ses membres dentistes et spécialistes
Les lettres représentent les initiales du patient et les chiffres l’âge auquel les radiographies ont été prises.
FC
Les lettres représentent les initiales du patient et les chiffres l’âge auquel les radiographies ont été prises.
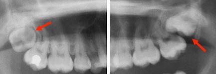
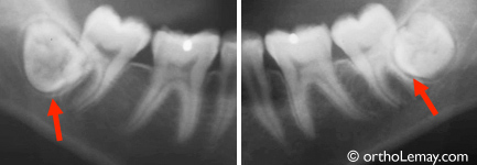
Exemples de problèmes d’éruption de troisièmes molaires
Problèmes d’éruption des troisièmes molaires supérieures. Seule une radiographie peut permettre de déceler cette anomalie (femme de 25 ans). Ces dents ne sortiront pas adéquatement et leur malposition extrême justifie de les extraire. La dent sur la photo de droite peut endommager la deuxième molaire si elle demeure en bouche.
Une radiographie de routine chez ce patient de 13 ans révèle des dents de sagesse inférieures incluses peu formées mais qui embarquent sur les racines des deuxièmes molaires, ce qui pourrait les endommager à long terme. Il serait indiqué de les faire extraire avant que leurs racines soient trop formées. À noter qu’une telle situation peut être asymptomatique pour le patient.
Problèmes d’éruption de troisièmes molaires
Dents de sagesse supérieures et inférieures incluses et qui s’appuient contre les deuxièmes molaires chez un homme de 21 ans. Il y a même 2 dents de sagesse supérieures sur la radiographie de droite! Ces molaires ne sortiront pas et peuvent endommager d’autres dents.
Dents de sagesse incluses (troisièmes molaires supérieures et inférieures) qui ont poussé sous les deuxièmes molaires et ont résorbé leurs racines à un tel point que les deuxièmes ET troisièmes molaires ont dues être extraites. (courtoisie Dr G. Noreau)
raisons pour faire extraire
Bien que les deux dents de sagesse inférieures de cette femme de 24 ans soient partiellement sorties en bouche, elles sont recouvertes de gencive (semi-incluses) et difficiles à nettoyer. Elles sont devenues cariées en quelques mois seulement (flèches et zones sombres sur les radiographies indiquent la carie). Il est préférable de faire extraire ces troisièmes molaires avant que le problème s’aggrave.
troisièmes molaires incluses
Exemples de troisièmes molaires incluses qui ne sont visibles que sur des radiographies.
dents de sagesse
Nous pouvons avoir jusqu’à 32 dents en bouche en incluant les dents de sagesse (*), mais il est très rare de voir une dentition avec toutes les dents placées de façon esthétique et fonctionnelle comme dans ce cas. (Cette dentition a été traitée en orthodontie.)
Déficience maxillaire squelettique transverse et antéro-postérieure
Traitement de compromis en orthodontie pour une classe 3 squelettique adulte
(A) Importante malocclusion “classe 3” causée un déséquilibre squelettique pour lequel la chirurgie n’était pas une option pour la patiente.
(A et B) Occlusion initiale. Les dents supérieures mordent complètement derrières celles du bas à l’avant ET à l’arrière. Un léger glissement antérieur de la mandibule exacerbe ce décalage.
(C) Mécanique utilisée au début des corrections; une plaque occlusale inférieure servait d’ancrage pour utiliser des élastiques et des appareils multi-bagues pour commencer à “élargir” le haut (expansion).
(D) Par la suite, la plaque inférieure fut retirée et les “broches” furent posées à l’arcade mandibulaire.
(E) Résultat final, la relation entre les dents est fonctionnelle mais constitue un compromis qui est une compensation dento-alvéolaire pour un déséquilibre squelettique important (camouflage orthodontique).
(F) Vue occlusale des arcades à la fin des corrections. Comparez le changement de forme et largeur avec la condition initiale (B).
Changements esthétiques dans le profil et le visage
Changements esthétiques dans le profil et le visage suite au traitement d’ortho-chirurgie incluant une chirurgie orthognathique bimaxillaire pour prognathie mandibulaire et déficience maxillaire (classe 3 – classe III).
(A, A’) Avant le traitement.
(B, B’) Après le traitement. Le résultat final est similaire à la prédiction faite par le chirurgien maxillo-facial à l’aide d’un logiciel (voir autre illustration plus haut).