En raison de la pandémie de COVID-19, les dentistes et les orthodontistes ont dû prendre des mesures afin de limiter la propagation du virus dans leurs cliniques. Des protocoles ont donc été mis en place pour la sécurité de tous et de toutes. Cependant, le personnel des cliniques a aussi besoin de votre collaboration.
Nous vous demandons de vous renseigner sur les mesures à suivre lors de votre prochaine visite et de ne pas vous présenter si vous êtes atteint ou atteinte de la COVID-19, si vous avez des symptômes s’apparentant à la COVID-19 ou si vous avez été en contact avec une personne qui est ou pourrait être atteinte de la COVID-19.
Merci de votre compréhension et de votre coopération en ces temps difficiles.
L’équipe Bücco et ses membres dentistes et spécialistes
(B) Ces clichés, qui ne sont que quelques uns des centaines qui pourraient être extraits d’une radiographie tri-dimensionnelle, montrent quelques vues différentes de cette molaire. ON réalise alors que, non seulement cette dent est penchée vers l’avant mais aussi vers l’intérieur de la bouche (côté de la langue). Il est maintenant clair qu’il est inutile d’attendre que cette dent sorte par elle même et se loge convenablement à l’arrière de l’arcade dentaire.
A – dents de sagesse
(A) Cette radiographie panoramique, bien qu’elle soit d’une qualité supérieure, montre la deuxième molaire inférieure gauche qui est incluse (*). Cette dent fut gardée sous observation pendant plus d’une année avant de prendre cette radiographie de ré-évaluation pour voir la progression de l’éruption de cette molaire. La radiographie panoramique montre que la molaire est toujours incluse et penchée vers l’avant contre la première molaire mais rien ne laisse deviner l’ampleur de la malposition qui a été révélée par la prise d’un autre radiographie volumétrique tri-dimensionnelle.
schema *
Le comportement des dents de sagesse est difficile à prédire. Il répond à une “équation” très complexe ayant plusieurs variables. Chacune d’elles peut influencer individuellement ou en groupe les symptômes et l’évolution de l’éruption de dents.
Présence de dents endommagées
Le fait de ne pas avoir extrait une dent de sagesse incluse très tôt a permis de la récupérer et d’éliminer une molaire sévèrement endommagée.
(A et C) Adolescent de 15 ans ayant une molaire inférieure gauche (astérisque * noir) sévèrement “taxée” ou compromise par un traitement de canal. L’extraction de cette molaire a permis de récupérer la dent de sagesse incluse et basculée (* rouge) et de fermer l’espace restant à la suite de l’extraction en avançant les autres molaires (flèche).
(B et D) Après les corrections, l’espace d’extraction est complètement fermé, la dent de sagesse (troisième molaire) est sortie, redressée et est maintenant fonctionnelle. L’astérisque vert (*) indique l’endroit où était la dent de sagesse.
Ce patient a ainsi évité la nécessité d’avoir une couronne qui, étant donné son jeune âge, aurait requis d’être remplacée à plusieurs reprises au cours de sa vie.
apparences trompeuses
Des apparences trompeuses!
Parfois l’examen clinique donne l’impression que l’éruption des dents de sagesse se produit bien ou normalement, mais l’examen radiologique révèle une réalité toute autre.
(A) La dent de sagesse inférieure droite de cette femme de 24 ans a percé la gencive plusieurs mois auparavant, mais elle ne semble plus progresser dans son éruption.
(B) Bien qu’en apparence, cette dent semble sortir normalement, une radiographie révèle la sévère malposition horizontale de cette dent.
La partie visible en bouche (encerclée) est en fait l’arrière de la dent qui est basculée vers l’avant. Cette dent semi-incluse sera certainement problématique un jour (infection, caries, etc.), alors il est indiqué de la faire extraire.
Tel que décrit précédemment, la raison pour recommander l’extraction n’est pas le risque que cette dent déplace les autres dents devant elle, mais bien le fait qu’elle puisse s’infecter et causer des problèmes dans cette région de la bouche.
Absence de dents antagonistes
Lorsqu’une dent est partiellement sortie, la gencive la recouvrant constitue un endroit ou plaque et débris de nourriture peuvent s’accumuler et causer de l’infection, des caries et de l’inflammation. Il est alors indiqué soit de dégager la dent en enlevant l’excès de gencive ou de la faire extraire si la dent ne peut être dégagée convenablement pour compléter son éruption.
Une troisième molaire semi-incluse est plus difficile à nettoyer et peut carier plus facilement. Cette dent présente un début de carie dans les sillons de la surface.
Absence de dents antagonistes
Il est indiqué d’extraire des dents de sagesse qui, même si elles sortent, n’auront pas d’antagoniste (*) dans l’arcade inférieure.
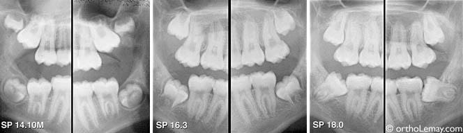
évolution sur 6 ans
Évolution de la position des dents de sagesse inférieures pendant une période de 6 ans. Dès qu’il est évident que les dents ne sortiront pas convenablement, il serait préférable de les extraire pour éviter que l’intervention (extraction) soit plus complexe plus tard (pour le patient et le chirurgien).
(A) À 15 ans, les dents de sagesse inférieures sont déjà inclinées vers l’avant.
(B) 3 ans plus tard, les dents basculent davantage vers l’avant. Il n’y a pas assez de croissance à l’arrière de la mandibule pour permettre un redressement des molaires incluses et permettre leur éruption. Il serait indiqué de faire extraire ces molaires à ce moment, car il est impossible que ces dents sortent convenablement. Les dents de sagesse supérieures continuent de pousser, mais celle de gauche demeure bloquée derrière la deuxième molaire.
(C) À 21 ans, les dents de sagesse inférieures sont rendues horizontales, ce qui compliquera leur extraction.
(D) Troisième molaire supérieure droite une fois extraite.
(E) Troisième molaire supérieure gauche.
(F et G) Les troisièmes molaires inférieures ont dû être sectionnées en plusieurs morceaux pour être extraites. L’habileté des chirurgiens maxillo-faciaux permet tout de même d’extraire des dents en très mauvaise position, mais ces extractions sont beaucoup plus complexes tant pour le patient que pour le chirurgien. Il est donc préférable d’extraire les dents de sagesse incluses dès qu’on considère qu’elles n’auront aucune chance de sortir et avant que l’inclusion n’empire et rende l’intervention plus difficile.
dents sagesse à 11 ans
(A) Une dent de sagesse était visible sur une radiographie, loin derrière la deuxième prémolaire dès l’âge de 11 ans.
(B) 3 ans plus tard, cette dent semble être plus loin.
(C) Après quelques années, la molaire incluse a migré vers l’avant et semble être sur la bonne voie pour sortir. Qui aurait pu deviner? À suivre…