Exemple de cas cliniques en orthodontie

Exemple de cas cliniques en orthodontie

Espaces postérieurs

Fermeture d’un espace important ayant où une molaire a été extraite il y a plusieurs années. Ceci évite la nécessité de remplacer une dent par pont ou implant (femme de 24 ans). ➡ Pour voir d’autres exemples de fermeture de diastèmes et des cas particuliers. ➡ Pour voir des exemples de dents étroites qui ont été élargies après un traitement d’orthodontie.

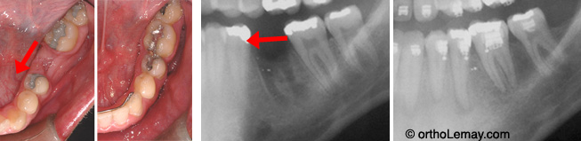
Espaces postérieurs

Molaire inférieure récemment extraite. Fermeture d’un espace d’extraction de 11 mm ce qui évite de faire remplacer cette molaire.

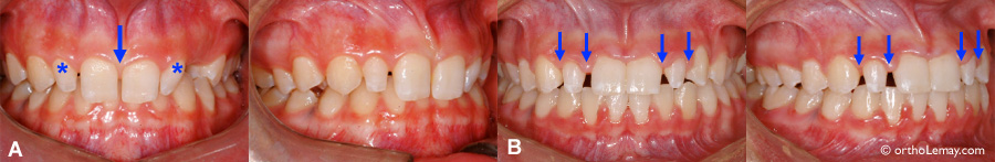
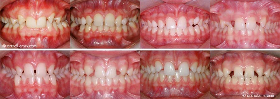
Espaces antérieurs (1)

Tous ces cas ont une absence héréditaire des 2 latérales supérieures ce qui permet aux dents adjacentes de se déplacer et de créer ainsi des espaces interdentaires. Parfois, il ne manque qu’une seule latérale et l’autre latérale présente est souvent de dimension réduite (étroite).

Exemples de fermeture d’espaces antérieurs – Fermeture de 5 mm en 5 mois

Fermeture d’espaces antérieurs et élargissement d’une incisive latérale supérieure gauche pour améliorer l’esthétique du sourire. ➡ Pour en savoir plus sur ce cas et voir d’autres exemples de fermetures d’espaces et diastèmes.

Exemples de fermeture d’espaces antérieurs – Fermeture de 5 mm en 5 mois

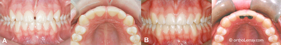
Les dents étroites, souvent des latérales supérieures, sont une des causes principales d’espaces interdentaires affectant les incisives supérieures. Pour optimiser la fonction et l’esthétique, il est préférable de corriger la malposition des dents avant de les faire élargir de façon “définitive”.
  • (A) Dentition avec 2 latérales étroites (“grain de riz”) avant le traitement.
  • (B) Après les corrections, les espaces sont distribués de façon optimale pour permettre d’élargir les latérales. Les autres aspects e la malocclusion ont aussi été corrigés.

Exemples de fermeture d’espaces antérieurs

Lorsqu’un diastème important est présent avant un traitement d’expansion maxillaire, ce diastème augmentera significativement. Après l’expansion, il pourra être refermé à l’aide de à l’aide de quelques boîtiers et un élastique.

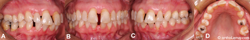
Fermeture d’un diastème de 5 mm en 5 mois

  • (A) Une frénectomie labiale avait été faite auparavant dans l’espoir que le diastème se referme, ce qui était impossible et n’a rien donné comme résultat.
  • (B) Pose des appareils fixes multi-bagues.
  • (C) Après 5 mois de corrections orthodontiques.
  • (D) Après l’enlèvement des appareils et qu’une gingivectomie ait été faite entre les incisives centrales.
➡ Pour en savoir plus sur ce cas et voir d’autres exemples de fermetures d’espaces et diastèmes.

Exemples de fermeture d’espaces antérieurs

Parfois la fermeture d’un diastème peut être assez simple.
  • (A) Patient ayant une excellente occlusion et bon alignement général des dents. Il désirait fermer l’espace entre les centrales supérieures qu’il trouvait inesthétique.
  • (B) La correction fut faite à l’aide d’attaches de la couleur des dents et d’un élastique permanent transparent qui rapproche les dents. Le tout est pratiquement invisible.
  • (C) Après 10 jours l’espace est fermé et les centrales se touchent. Les attaches peuvent alors être enlevées.
  • (D) Une fois la correction terminée, il est nécessaire de coller une attelle de rétention sur la face interne des dents afin de prévenir l’ouverture de l’espace à nouveau.

Exemples de fermeture d’espaces antérieurs

  • (A) Bonne occlusion générale mais présence d’un espace important entre les centrales supérieures.
  • (B) Après la fermeture de l’espace, une attelle de rétention est posée sur la face interne pour prévenir la ré-ouverture de l’espace en stabilisant les dents.

La mésiodens: un cas particulier (6)

La perte de support des dents (os et gencive) couplée à la pression de la langue peuvent contribuer à l’apparition d’espaces antérieurs.

  • (A à D) Chez cette femme de 49 ans, le niveau osseux supportant les dents a diminué avec les années (problèmes parodontaux). Les dents étant moins bien supportées ne résistent pas autant aux forces appliquées contre elles provenant de la fonction normale (mastication) et de la langue qui s’appuie contre les dents. Ceci peut permettre des espaces de se développer progressivement même si cela peut prendre des années voire des décennies.
Mise à jour pour