En raison de la pandémie de COVID-19, les dentistes et les orthodontistes ont dû prendre des mesures afin de limiter la propagation du virus dans leurs cliniques. Des protocoles ont donc été mis en place pour la sécurité de tous et de toutes. Cependant, le personnel des cliniques a aussi besoin de votre collaboration.
Nous vous demandons de vous renseigner sur les mesures à suivre lors de votre prochaine visite et de ne pas vous présenter si vous êtes atteint ou atteinte de la COVID-19, si vous avez des symptômes s’apparentant à la COVID-19 ou si vous avez été en contact avec une personne qui est ou pourrait être atteinte de la COVID-19.
Merci de votre compréhension et de votre coopération en ces temps difficiles.
L’équipe Bücco et ses membres dentistes et spécialistes
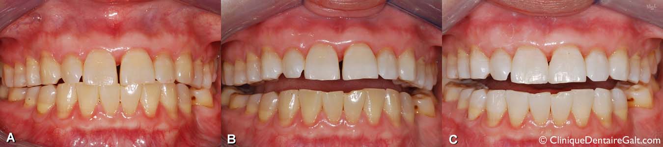
(A) Avant le traitement d’orthodontie, il y avait déjà eu un blanchiment. La position de la canine incluse est indiquée par l’astérisque bleu (*).
(B) Pendant le traitement , lorsque la canine sort et est tractée orthodontiquement, on remarque qu’elle est d’une couleur différente des autres dents blanchies.
(C) À la fin du traitement, cette canine qui n’a évidemment pas eu de traitement de blanchiment comme les autres dents, présente une couleur plus foncée.
(D) La patiente a donc fait blanchir cette canine qui est maintenant d’une couleur plus uniforme avec les autres dents.
Exemples de blanchiment dentaire 3
Autre exemple de blanchiment dentaire intracoronal pour une incisive supérieure décolorée. Ce traitement est fait par un dentiste généraliste. (A) Avant le traitement. (B) Après le traitement. Lorsque la dent n’est pas décolorée depuis trop longtemps, un tel traitement peut donner d’excellents résultats.
Exemples de blanchiment dentaire
Exemple d’un blanchiment dentaire intracoronal fait par un dentiste pour une seule dent qui était décolorée. Ce genre de traitement nécessite que le dentiste “ouvre” la dent sur la face interne (linguale) et y applique des produits nettoyants. (A) Avant le traitement. (B) Après le blanchiment.
Exemples de blanchiment des dents
Exemple de blanchiment dentaire fait par le patient à la maison avec des coquilles de blanchiment fabriquées par son dentiste.
(A) Avant le traitement.
(B) Après le blanchiment de l’arcade supérieure.
(C) Après le blanchiment de l’arcade inférieure. Du composite dentaire a été ajouté entre les incisives centrales supérieures pour fermer un léger diastème. Il est important de faire le blanchiment AVANT que des dents soient restaurées avec un matériau esthétique pour avoir une couleur uniforme. Si le composite était posé avant le blanchiment, sa couleur aurait pu être différente de celle de l’émail dentaire une fois le blanchiment terminé.
taches blanches “naturelles”
Autres exemples de taches blanches “naturelles” affectant les dents antérieures chez des personnes n’ayant pas eu de traitement d’orthodontie. Bien que pouvant constituer un problème esthétique, la qualité des dents n’est pas affectée par cette différence de couleur.
fluorose chez une fille de 16 ans (A) et son frère de 14 ans (B)
Exemple de fluorose chez une fille de 16 ans (A) et son frère de 14 ans (B) AVANT le traitement d’orthodontie.
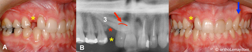
Canine incluse avec défaut osseux important chez une adulte
(A) Une femme de 26 ans avec une canine supérieure droite complètement formée, mais sévèrement incluse du côté du palais(B-3).
Cette condition, qui est en progression depuis au moins 15 ans, aurait possiblement pu être évitée avec une supervision adéquatependant l’éruption des dents (prise de radiographies et extractions sélectives).
Le fait d’avoir gardé la canine incluse pendant toutes ces années a eu plusieurs conséquences dommageables pour l’environnement de cette dent :
Avec les années, la canine temporaire est tombée lorsque la canine permanente incluse a progressivement usé sa racine. Il en résulte un espace important et inesthétique où était la canine temporaire (* jaune).
(B) La canine incluse a résorbé (usé) plus de 40% de la racine de l’incisive permanente latérale supérieure droite. La flèche et la ligne rouges indiquent le bout de la racine usée. La santé et survie de cette incisive latérale est maintenant incertaine à long terme.
Un défaut osseux très important (perte d’os visible en foncé sur la radiographie) s’est développé dans la région de la canine droite (* rouge) de sorte qu’une tentative de loger la canine dans l’arcade peut nécessiter une chirurgie pour ajouter de l’os ou être vouée à l’échec.
En comparaison, la canine gauche est descendue normalement par elle-même (flèche bleue).
Si un traitement d’orthodontie est envisagé, il serait à considérer d’extraire la canine incluse qui n’a pas assez d’os dans son environnement pour la descendre en place.
(A) Vue panoramique standard. On peut remarquer le peu d’espace disponible pour les canines qui sont derrière les latérales dons au palais.
(B, C et D) Clichés extraits d’une tomodensitométrie volumique à faisceau conique (TVFC) permettant d’évaluer la position en trois dimensions.
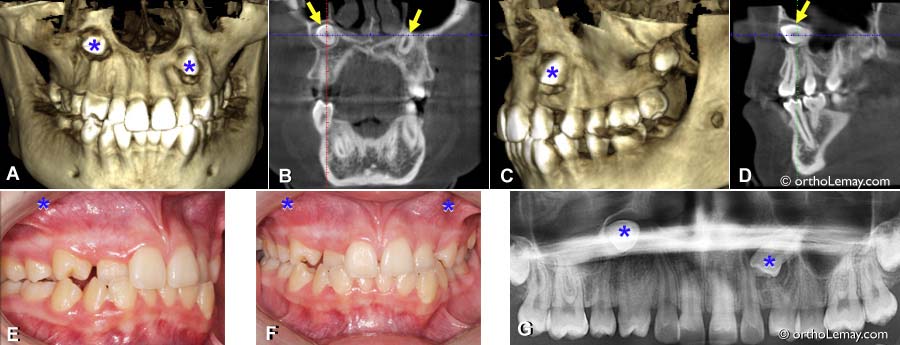
Adolescente de 15 ans avec canines sévèrement incluses
(A à D) Tomodensitométrie volumique à faisceau conique (TVFC) montrant les canines supérieures à l’horizontal et presque dans le plancher du nez (* bleus).
(E, F) Vue clinique où la position approximative des couronnes des canines incluses est indiquée.
(G) Radiographie panoramique. Bien qu’on puisse deviner la malposition extrême des canines, une telle radiographie ne donne pas autant d’information qu’un scan en 3D (TVFC).
À cause de la position très haute et horizontale des canines ainsi que du manque d’espace important à l’arcade supérieure, il fut décidé d’extraire ces 2 dents incluses.
Vue sagittale montrant les canines sous la base du nez
(A, B et D) Vue sagittale montrant les canines sous la base du nez. Les canines incluses sont indiquées avec un astérisque (*) rouge. En (G), les canines temporaires sont indiquées par des astérisques.
(C) Vue axiale qui montre les canines placées à l’horizontale sous le nez.
(E) Autres vues à angles différents.
(F) Coupe coronale où l’on voit très bien les canines juste sous le nez.
(G) Bien que cette malocclusion ne semble pas très sévère, sa gravité est augmentée grandement par la présence des canines incluses.