En raison de la pandémie de COVID-19, les dentistes et les orthodontistes ont dû prendre des mesures afin de limiter la propagation du virus dans leurs cliniques. Des protocoles ont donc été mis en place pour la sécurité de tous et de toutes. Cependant, le personnel des cliniques a aussi besoin de votre collaboration.
Nous vous demandons de vous renseigner sur les mesures à suivre lors de votre prochaine visite et de ne pas vous présenter si vous êtes atteint ou atteinte de la COVID-19, si vous avez des symptômes s’apparentant à la COVID-19 ou si vous avez été en contact avec une personne qui est ou pourrait être atteinte de la COVID-19.
Merci de votre compréhension et de votre coopération en ces temps difficiles.
L’équipe Bücco et ses membres dentistes et spécialistes
Cas particuliers qui requièrent une approche particulière
Exemple de mouvement vertical extrême de dents postérieures plusieurs décennies après l’extraction de dents opposées et le non remplacement des dents par une prothèse dentaire. Il y a eu une “perte de dimension verticale”. (A, C) Les prémolaires et une molaire ont été extraites de chaque côté à l’arcade supérieure ainsi que les molaires inférieures. Avec les années, les prémolaires inférieures on migré vers le haut tandis que la molaire supérieure s’est “allongée”. (B) vue de face. Un remplacement prothétique des dents manquantes aurait évité ces changements dans la position des dents qui n’avaient plus d’antagoniste à l’arcade opposée. Les corrections orthodontiques sont maintenant beaucoup plus compliquées!
Cas particuliers qui requièrent une approche particulière
(A) Dentition d’un homme dans la cinquantaine qui est mutilée par l’extraction de plusieurs dents. Il reste peu de dents postérieures. Au cours des années, il y a eu perte de dimension verticale (affaissement postérieur de l”occlusion) de sorte que maintenant, les incisives se surplombent complètement et les prémolaires et molaires inférieures ont “remonté” jusqu’à mordre sur la gencive du haut (flèches). (B) Les corrections orthodontiques ont permis d’inverser cette tendance. (C) La correction de la malocclusion a restauré la dimension verticale. On remarque maintenant que les incisives sont dégagées et que les postérieures inférieures ne mordent plus dans la gencive supérieure. Le dentiste peut maintenant remplacer les dents manquantes à l’aide d’implants dentaires, ce qui était impossible lorsque l’occlusion était affaissée avant le traitement. (D) Des couronnes seront posés sur les implants (flèches).
Cas particuliers qui requièrent une approche particulière
(A) Dents postérieures basculées vers l’avant plusieurs années après à la perte d’une molaire chez une femme de 46 ans. (B) Les dents ont été redressées en orthodontie en les reculant vers l’arrière (flèche). Une fois l’espace obtenu, un autre spécialiste (parodontiste ou chirurgien) a posé 2 implants pour remplacer la molaire manquante. (C) Résultat final une fois que le dentiste généraliste a posé les couronnes sur les implants (flèches).
Cas particuliers qui requièrent une approche particulière
(A) Femme de 50 ans ayant perdu plusieurs dents postérieures ce qui a causé une bascule des autres molaires avec les années (flèches). (B) L’orthodontie a permis de redresser les molaires dans une meilleure position. Ceci facilitera le travail du dentiste qui remplacer les dents manquantes après l’orthodontie.
Cas particuliers qui requièrent une approche particulière
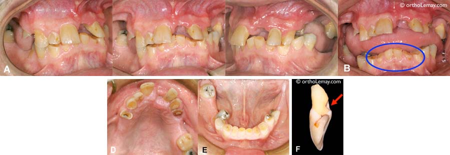
(A) Cet homme dans la cinquantaine est un bruxeur chronique. L’incisive supérieure gauche était tellement mobile qu’elle est tombée (voir F). Cette dent avait un trou causé par la dent inférieure qui frappait toujours au même endroit. (B) Les incisives inférieures sont usées à 50-70%. (D, E) Aucune dent n’est épargnée par cette usure excessive sauf les dents qui ne touchent pas à une dent opposée.
Perte de dimension verticale et à l’affaissement de l’occlusion
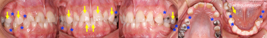
(A) Exemple classique de perte de dimension verticale et d’affaissement postérieur de l’occlusion. Suite à la perte de dents postérieures (indiquées par les *), les dents antérieures se surplombent progressivement et un diastème est apparu entre les incisives supérieures. (A à D) Les flèches indiquent des dents qui migrent suite à la perte des dents postérieures.
Perte de dimension verticale et à l’affaissement de l’occlusion
L’affaissement postérieur de l’occlusion est un processus long et progressif qui cause des déplacements dentaires. (A et C) Normalement, les molaires supportent l’occlusion et la dimension verticale ce qui permet aussi de maintenir une relation stable entre les dents antérieures. (B) Suite à la perte de dents postérieures, les molaires commencent à basculer vers l’espace d’extraction. Ceci cause une perte de dimension ou hauteur verticale qui se traduit par l’augmentation de la force entre les incisives et l’augmentation du surplomb vertical et horizontal (D). (E) Le contact entre les dents migre progressivement vers l’arrière et les dents continueront à migrer jusqu’à ce que les incisives inférieures mordent dans la gencive, derrière celle du haut affectant aussi os et gencive.
Redressement de molaires
Autre exemple de corrections orthodontiques chez une femme de 47 ans.
(A) Les incisives supérieures sont inclinées vers l’arrière et recouvrent complètement celles du bas (malocclusion de type classe II division 2). On peut apprécier les niveaux verticaux des dents lorsque la bouche est ouverte.
(B) Après les corrections, l’inclinaison des incisives est corrigée et les incisives inférieures sont visibles, ce qui facilite aussi la fonction.
(C) Une vue de l’arcade du haut montre le changement d’inclinaison des incisives et de la forme de l’arcade.
(D) Sourire avant et après le traitement d’orthodontie.
Redressement de molaires
Exemple de mouvement vertical extrême de dents postérieures plusieurs décennies après l’extraction de dents opposées et le non remplacement des dents par une prothèse dentaire.
(A, C) Les prémolaires et une molaire ont été extraites de chaque côté à l’arcade supérieure, ainsi que les molaires inférieures. Avec les années, les prémolaires inférieures ont migré vers le haut, tandis que les molaires supérieures se sont “allongées”.
(B) Vue de face. Les corrections orthodontiques sont maintenant beaucoup plus compliquées!
Redressement de molaires
Exemple de l’intrusion orthodontique d’une dent qui s’était “allongée” (extrusion) avec les années à la suite de la perte d’une dent à l’arcade opposée. L’espace inter-arcade ne permet pas au dentiste de faire une prothèse inférieure adéquate à cause du manque d’espace.
(A) Prémolaire supérieure gauche “descendue” et espace minime avec l’arcade du bas (flèche jaune).
(B) Mécanique orthodontique utilisée pour “intruder” ou remonter la dent.
(C) Après l’intrusion de la dent.
(D) À la fin de l’orthodontie, l’espace disponible (flèche jaune) permet maintenant de fabriquer une prothèse inférieure.
Note : Ce patient de 57 ans avait une prothèse amovible supérieure qui remplaçait les 2 incisives centrales supérieures. La prothèse n’est pas en bouche sur la photo finale.