En raison de la pandémie de COVID-19, les dentistes et les orthodontistes ont dû prendre des mesures afin de limiter la propagation du virus dans leurs cliniques. Des protocoles ont donc été mis en place pour la sécurité de tous et de toutes. Cependant, le personnel des cliniques a aussi besoin de votre collaboration.
Nous vous demandons de vous renseigner sur les mesures à suivre lors de votre prochaine visite et de ne pas vous présenter si vous êtes atteint ou atteinte de la COVID-19, si vous avez des symptômes s’apparentant à la COVID-19 ou si vous avez été en contact avec une personne qui est ou pourrait être atteinte de la COVID-19.
Merci de votre compréhension et de votre coopération en ces temps difficiles.
L’équipe Bücco et ses membres dentistes et spécialistes
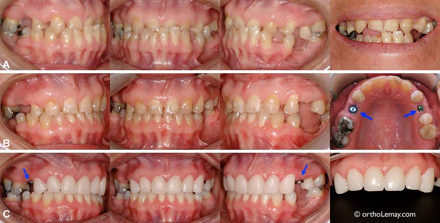
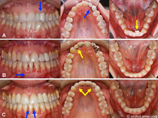
(A) Absence des 2 latérales supérieures. L’espace s’est fermé à droite et il y a un pont du côté gauche (flèche bleue). Une incisive inférieure a été extraite pour aligner les dents du bas (flèche jaune).
(B) Fin de l’orthodontie; l’espace pour la latérale supérieure droite a été ouvert et une dent temporaire a été collée sur une attelle de rétention (flèche jaune). Le pont gauche a été modifié mais est toujours en place. Une greffe de gencive a été faite pour couvrir les racines des incisives inférieures qui se sont déchaussées (flèche bleue). Des espaces sont présent entre les incisives inférieures près de la gencive.
(C) Un implant et une couronne remplacent chaque latérale (flèches jaunes), une couronne a été faite sur la canine supérieure gauche, les espaces inter-dentaires ont été comblés par le dentiste avec du composite (flèches bleues).
Le cas MC: après l’orthodontie
Un an après l’orthodontie, les restaurations finales sont en place; facettes sur plusieurs dents supérieures, les couronnes sur implants sont posées et une prothèse partielle amovible remplace les dents manquantes inférieures.
Caractéristiques du cas MC
(A) Malocclusion avec occlusion croisée antérieure et usure importante sur certaines incisives.
(B) À la fin des corrections orthodontiques; les dents antérieures sont dans une position plus fonctionnelles qui minimisera les chances d’usure à long terme. La mandibule est reculée en relation normale par rapport au haut. Les espaces édentés seront comblés par des couronnes sur implants. Les flèches indiquent les implants qui sont prêts à recevoir les couronnes.
(C) Après restauration des incisives usées par le dentiste à l’aide de facettes.
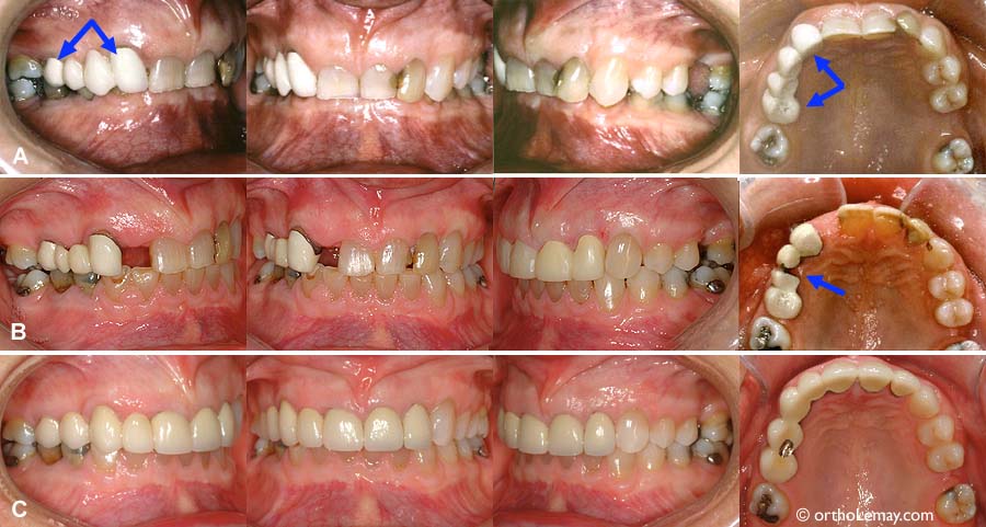
Caractéristiques du cas SM
(A) Pont joignant 4 dents (flèches). La canine est contre la centrale et le dentiste désire la déplacer à sa positon normale vers l’arrière en prévision de restaurations futures.
(B) Fin du traitement d’orthodontie. L’ancien pont a été coupé (flèche) pour permettre de reculer les dents et ouvrir un espace antérieur.
(C) Restaurations finales faites par le dentiste. Un nouveau pont et des couronnes ont été faits à l’arcade supérieure.
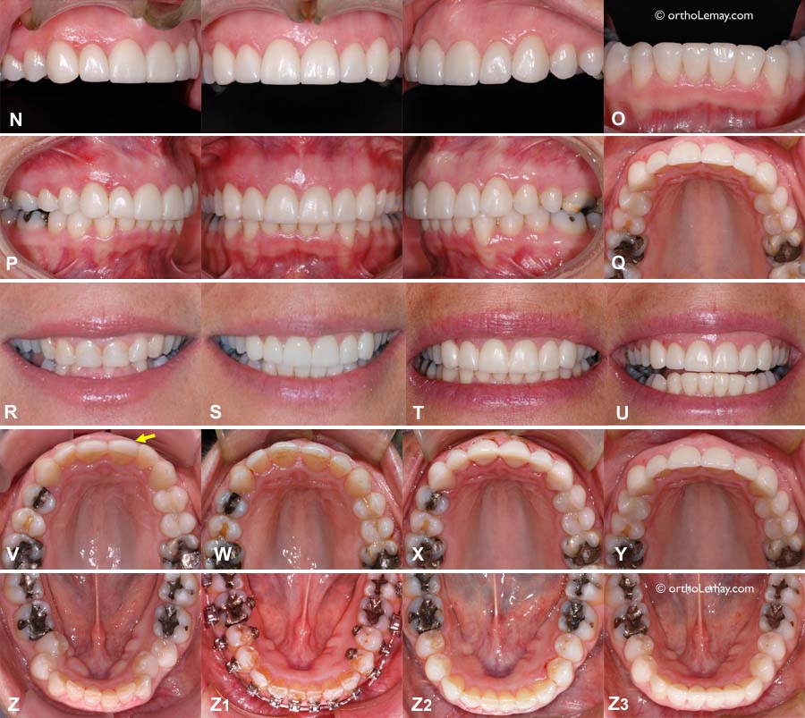
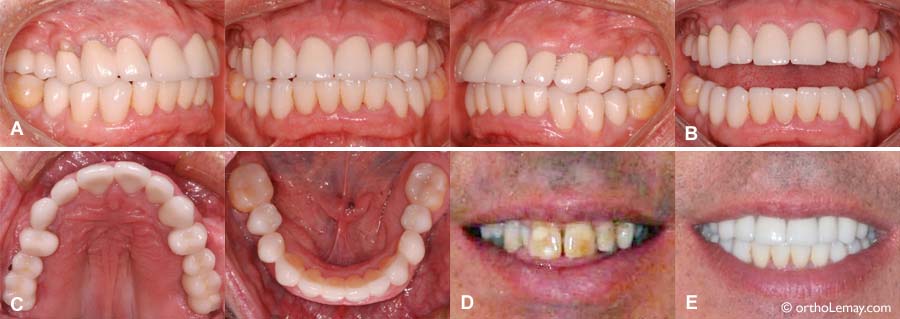
Le cas GL: après l’orthodontie
(A) Plus d’un an après la fin de l’orthodontie, les restaurations prosthodontiques sont complétées (couronnes, ponts, facettes). Toutes les dents ont été restaurées.
(B) Bouche ouverte.
(C) Vues occlusales. Les dents manquantes ont été remplacées.
(D) Sourire avant le traitement d’orthodontie.
(E) Sourire après les restaurations finales.
Le cas GL: les radiographies
Radiographies montrant le redressement de molaires obtenu pendant les corrections orthodontiques.
(A) Avant le traitement, deux molaires inférieures sont sévèrement basculées.
(B) Après les corrections, les molaires redressées permettront la pose d’implants pour remplacer les dents manquantes. À noter la présence de 2 dents incluses (*) que le dentiste a préféré laisser en place à cause des risques reliés à l’extraction de ces dents.
(C) Arcade inférieure avant le traitement.
(D) Après les corrections, la position redressée des molaires permet la pose d’un implant.
Caractéristiques du cas GL
Cas mutilé: malocclusion corrigée pour permettre au dentiste de remplacer les dents manquantes à l’aide d’implants dentaires.
Pour en savoir plus sur les implants dentaires.
Caractéristiques du cas PB
Homme de 44 ans avec dentition mutilée ayant requis une intervention en orthodontie, parodontie, chirurgie, endodontie et prosthodontie.
(A) Avant l’orthodontie; les incisives centrales inférieures (flèches) ont un traitement de canal et celle de droite est fracturée au niveau de la gencive.
(B) À la fin de l’orthodontie. La canine supérieur droite fut extraite pendant le traitement car elle était infectée et avait une perte osseuse importante autour de sa racine. Un implant dentaire fut posé (flèche).
(C) Après la phase prosthodontique; plusieurs facettes et couronnes furent faites pour redonner de bonnes proportions et améliorer l’esthétique.
(D) Vues occlusales des deux arcades avant le traitement d’orthodontie et après la pose des restaurations finales.