En raison de la pandémie de COVID-19, les dentistes et les orthodontistes ont dû prendre des mesures afin de limiter la propagation du virus dans leurs cliniques. Des protocoles ont donc été mis en place pour la sécurité de tous et de toutes. Cependant, le personnel des cliniques a aussi besoin de votre collaboration.
Nous vous demandons de vous renseigner sur les mesures à suivre lors de votre prochaine visite et de ne pas vous présenter si vous êtes atteint ou atteinte de la COVID-19, si vous avez des symptômes s’apparentant à la COVID-19 ou si vous avez été en contact avec une personne qui est ou pourrait être atteinte de la COVID-19.
Merci de votre compréhension et de votre coopération en ces temps difficiles.
L’équipe Bücco et ses membres dentistes et spécialistes
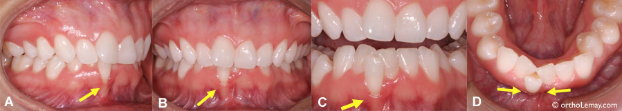
Greffes gingivales de recouvrement par tissu conjonctif-1
(A) Récession gingivale modérée affectant des dents postérieures. (B) 4 mois après une greffe de recouvrement par tissu conjonctif, les racines exposées sont recouvertes. (C) Déchaussement sévère sur une canine inférieure. (D) 10 semaines après la procédure chirurgicale. (Courtoisie, Dr K. Jarjoura)
Quand faire une greffe gingivale pour les cas d’orthodontie?-2
(A) Déchaussement modéré de la gencive des incisives inférieures. (B) Après une greffe de tissu conjonctif, le niveau et l’apparence de la gencive sont normaux et on ne peut pratiquement pas détecter la greffe. (Photos A et B, courtoisie Dr K. Jarjoura) Comparez ce résultat avec une greffe de gencive autogène traditionnelle qui est beaucoup plus apparente. (C) Adulte ayant eu 4 greffes gingivales autogènes (indiquées par les flèches) pour éliminer des défauts de gencive. Ce type de procédure donne des résultats moins esthétiques.
Quand faire une greffe gingivale pour les cas d’orthodontie?-1
Exemple d’une progression rapide de récession gingivale (déchaussement dentaire) pendant un traitement d’orthodontie. (A) Occlusion avant le début du traitement. Le parodonte recouvrant les incisives inférieures est un peu mince. (B) Pendant le traitement et après l’alignement initial, il y a des signes d’inflammation sur la gencive et les tissus sont légèrement amincis. (C) Seulement 5 semaines plus tard une récession importante de plusieurs millimètres est apparue. L’accumulation de plaque dentaire causant de l’inflammation mais surtout une technique de brossage “agressive” est la principale raison pouvant expliquer une progression aussi rapide du déchaussement. Une greffe gingivale doit être faite dès que possible pour éliminer ce problème gingival.
Cette femme de 29 ans présente une importante récession gingivale, ainsi qu’une perte osseuse à l’avant d’une incisive inférieure (A et B). Ceci est évident lorsqu’on compare le niveau de gencive aux dents adjacentes qui, elles, ont un niveau normal. (C et D) La bouche ouverte montre que la cause principale de cette perte de tissus est le manque d’espace important qui “force” l’incisive à se déplacer vers l’avant dans une position hors de l’arcade.
Malocclusion et intégrité du parodonte
Les malocclusions Classe II avec un overjet important (division 1) sont souvent accompagnées de surplomb vertical excessif, de sorte que les incisives inférieures peuvent mordre dans la muqueuse du palais. (A) Ce type de problème peut se manifester très tôt, comme chez ce jeune patient de 11 ans ayant un écart de 11 mm entre les dents antérieures. (B) Une vue en contre-plongée montre les incisives inférieures qui mordent dans le palais. (C) L’empreinte des incisives inférieures est visible dans la surface de la muqueuse. Si cette condition n’est pas corrigée, le parodonte peut continuer à se détériorer progressivement avec les années et une récession gingivale et perte osseuse importantes peuvent en résulter jusqu’à mettre en péril la solidité des dents.
Malocclusion et intégrité du parodonte
Les malocclusions de type Classe II division 2 peuvent être particulièrement destructrices pour l’avant des incisives inférieures et la gencive qui les recouvre. (A) Bouche fermée. (B) En ouvrant la bouche, on remarque l’usure importante des dents (couronnes et racines) et de la gencive chez cette femme de 37 ans. La récession gingivale est causée par le surplomb vertical excessif entre les incisives supérieures et inférieures.
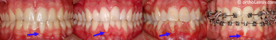
exemples de déchaussement de la gencive sur des incisives inférieures
Quelques exemples de déchaussement de la gencive sur des incisives inférieures. Les cas les plus sévères sont dirigés au dentiste généraliste ou parodontiste pour évaluer la nécessité de faire une greffe gingivale ou une autre procédure muco-gingivale.
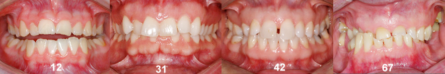
Un parodonte normal est possible à tout âge
Un parodonte normal est possible à tout âge, même en présence d’une malocclusion importante. Ces personnes présentent toutes un parodonte idéal; une bonne quantité et qualité de gencive et d’os protègent et supportent les dents, peu importe l’âge (indiqué sur les photos). De tels tissus sont excellents pour envisager des corrections orthodontiques, car ils supporteront adéquatement les dents pendant les déplacements.
Cette fille de 17 ans présente une gencive d’une excellente qualité
Cette fille de 17 ans présente une gencive d’une excellente qualité. Les flèches indiquent l’étendue de la gencive kératinisée protectrice. Le déchaussement ou la récession gingivale affecte cette bande protectrice de tissus et rend la dent plus vulnérable. Si le déchaussement est important, des procédures chirurgicales peuvent tenter de restaurer la zone de tissus affectée.
Le parodonte
Le ligament parodontal est une structure très importante dans le déplacement des dents en orthodontie et la stabilité des dents en général. (A) Il contient des fibres qui attachent la racine des dents à l’os alvéolaire qui l’entoure. L’espace ligamentaire entre la dent et la racine (0,25 mm) permet de légers mouvements des dents lorsqu’une force ou une pression est appliquée sur les dents (mastication, serrement de dents, etc.). (B) De petits vaisseaux sanguins (capillaires) irriguent et nourrissent l’os et le ligament. Des cellules spécialisées enlèveront de l’os à certains endroits et en déposeront à d’autres endroits, ce qui permet de déplacer les dents en orthodontie sur des distances de plusieurs millimètres. ((B) Capillaires du ligament parodontal d’un jeune lapin – Kronka 2001)