En raison de la pandémie de COVID-19, les dentistes et les orthodontistes ont dû prendre des mesures afin de limiter la propagation du virus dans leurs cliniques. Des protocoles ont donc été mis en place pour la sécurité de tous et de toutes. Cependant, le personnel des cliniques a aussi besoin de votre collaboration.
Nous vous demandons de vous renseigner sur les mesures à suivre lors de votre prochaine visite et de ne pas vous présenter si vous êtes atteint ou atteinte de la COVID-19, si vous avez des symptômes s’apparentant à la COVID-19 ou si vous avez été en contact avec une personne qui est ou pourrait être atteinte de la COVID-19.
Merci de votre compréhension et de votre coopération en ces temps difficiles.
L’équipe Bücco et ses membres dentistes et spécialistes
(A. B, C) Cette femme de 29 ans a un parodonte de qualité supérieure en général mais présente une incisive inférieure qui est complètement hors de l’arcade dentaire. Ce déplacement vers l’avant a causé une récession gingivale et une perte osseuse importante avant même que l’orthodontie soit débutée. Comparez cette dent aux autres dents qui ont un bon niveau de gencive. (D) Ce jeune patient (9 ans) présente une situation similaire.
adulte de 24 ans, le parodonte des dents antérieures présente une perte osseuse importante-2
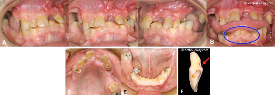
Malgré la gravité de la malocclusion et des problèmes parodontaux affectant ce jeune adulte (24 ans), un traitement d’orthodontie peut être possible. Ceci nécessite une approche inter-disciplinaire et un suivi régulier avec un parodontiste pendant le traitement. La condition parodontale très avancée a complètement détruit l’os autour des racines des incisives centrales inférieures de sorte que ces dents étaient irrécupérables et durent être extraites. Ces photos illustrent le résultat après les corrections orthodontiques.
adulte de 24 ans, le parodonte des dents antérieures présente une perte osseuse importante
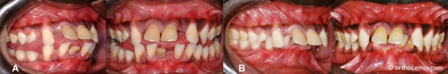
Lorsqu’un parodonte est affaibli par la perte de tissus de support, des forces habituellement considérées comme “normales” peuvent devenir trop importantes pour être contenues par la dentition. Ainsi, dans le cas de ce jeune adulte de 24 ans, le parodonte des dents antérieures présente une perte osseuse importante. La langue, déjà “hyperactive” dans cette bouche, constitue maintenant une force trop importante pour que les dents puissent lui résister. Il s’ensuit donc des déplacements dentaires; les dents antérieures basculent vers l’avant et s’espacent. (A) Position de “repos” habituelle; la langue exerce une pression constante contre les dents. (B) Façon de mordre lorsqu’on lui demande de reculer volontairement sa langue et de “forcer” pour fermer ses dents ensemble. Note : La couleur foncée de la gencive est due au fait que cette personne est de race noire. Les résultats du traitement d’orthodontie et de parodontie sont illustrés ci-dessous.
Cet homme dans la cinquantaine est un bruxeur chronique
(A) Cet homme dans la cinquantaine est un bruxeur chronique. Il est aussi affecté par des problèmes parodontaux qui ont causé une perte osseuse importante au cours des années. Ceci, couplé aux forces excessives générées par le bruxisme, a eu des effets dommageables pour cette dentition et cette occlusion. L’incisive supérieure gauche était tellement mobile qu’elle est tombée (voir F). Cette dent avait un trou causé par la dent inférieure qui la frappait toujours au même endroit (flèche). (B) Les incisives inférieures sont usées à 50-70%. (D, E) Aucune dent n’est épargnée par cette usure excessive, sauf les dents qui ne touchent pas à une dent opposée.
Parodontie et malocclusions 2
En présence d’un surplomb antérieur vertical excessif (overbite), les dents inférieures peuvent mordre dans la muqueuse du palais et l’endommager en causant du déchaussement et éventuellement une perte osseuse. Un phénomène similaire, l’affaissement postérieur de l’occlusion, peut se produire lors de la perte de dents postérieures qui servent de “fondation” à l’occlusion. La perte des dents cause des déplacements antérieurs, des espaces, etc. Pour en savoir plus sur ce sujet, suivez le lien ci-dessous.
En présence d’un surplomb antérieur vertical excessif (overbite), les dents inférieures peuvent mordre dans la muqueuse du palais et l’endommager en causant du déchaussement et éventuellement une perte osseuse. Un phénomène similaire, l’affaissement postérieur de l’occlusion, peut se produire lors de la perte de dents postérieures qui servent de “fondation” à l’occlusion. La perte des dents cause des déplacements antérieurs, des espaces, etc. Pour en savoir plus sur ce sujet, suivez le lien ci-dessous.
➡ Pour en savoir plus sur l’affaissement postérieur de l’occlusion.
Parodontie et malocclusions
La perte de support des dents (os et gencive) couplée à la pression de la langue peuvent contribuer à l’apparition d’espaces antérieurs. (A à D) Chez cette femme de 49 ans, le niveau osseux supportant les dents a diminué avec les années (problèmes parodontaux). Les dents étant moins bien supportées, elles ne résistent pas autant aux forces appliquées contre elles provenant de la fonction normale (mastication) et de la langue qui s’appuie contre les dents. Ceci peut permettre le développement progressif d’espaces, même si cela peut prendre des années, voire des décennies.
Récession sur la face linguale des dents
(A) Récession gingivale sur la face interne (linguale) des incisives inférieures. (B) Pendant la chirurgie parodontale. (C) Après la chirurgie avec les points de suture en place. (D) Guérison de la greffe gingivale après 4 mois; les zones de déchaussement ont été recouvertes. (Courtoisie, Dr Karim Jarjoura)
Greffes gingivales autogènes
Les greffes autogènes donnent rarement des résultats aussi esthétiques que les greffes de recouvrement par tissu conjonctif. Il n’est pas nécessaire d’indiquer l’endroit des greffes sur ces photographies de différents cas, elles sont très visibles!
Greffes gingivales de recouvrement par tissu conjonctif-3
(A) Déchaussement important d’une incisive inférieure. (B) Une greffe gingivale a permis de restaurer le niveau normal de gencive et recouvrir la racine (10 semaines après la greffe). (C) Racine d’une canine ayant perdu plusieurs millimètres de gencive. (D) Le tissu greffé se confond parfaitement avec la gencive environnante et procure une protection à la racine. (Courtoisie, Dr K. Jarjoura)
Greffes gingivales de recouvrement par tissu conjonctif-2
Déchaussement sur des canines supérieures. (A) Récession gingivale sévère qui expose une partie importante de la racine. (B) Après une correction par greffe gingivale, la racine est recouverte. important sur une canine supérieure. (C) Récession modérée. (D) 3 mois après la greffe, l’esthétique est excellente. (Courtoisie, Dr K. Jarjoura)