En raison de la pandémie de COVID-19, les dentistes et les orthodontistes ont dû prendre des mesures afin de limiter la propagation du virus dans leurs cliniques. Des protocoles ont donc été mis en place pour la sécurité de tous et de toutes. Cependant, le personnel des cliniques a aussi besoin de votre collaboration.
Nous vous demandons de vous renseigner sur les mesures à suivre lors de votre prochaine visite et de ne pas vous présenter si vous êtes atteint ou atteinte de la COVID-19, si vous avez des symptômes s’apparentant à la COVID-19 ou si vous avez été en contact avec une personne qui est ou pourrait être atteinte de la COVID-19.
Merci de votre compréhension et de votre coopération en ces temps difficiles.
L’équipe Bücco et ses membres dentistes et spécialistes
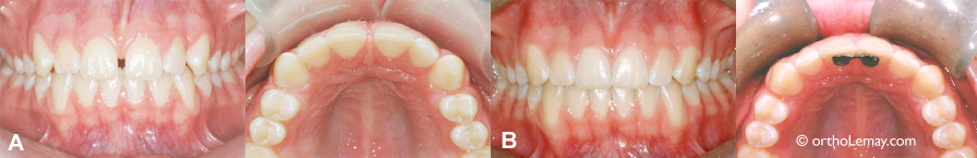
(A) Bonne occlusion générale mais présence d’un espace important entre les centrales supérieures.
(B) Après la fermeture de l’espace, une attelle de rétention est posée sur la face interne pour prévenir la ré-ouverture de l’espace en stabilisant les dents.
Fermeture d’espaces et de diastèmes (1)
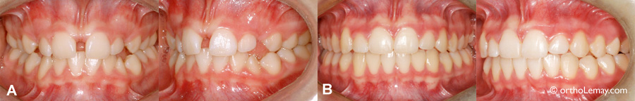
(A) Avant les corrections; présence d’un espace de 3,5 mm entre les centrales supérieures.
(B) Après la fermeture du diastème.
Exemples d’espaces primates dans la dentition humaine moderne
Exemple typique d’espaces ressemblant celui des primates présents dans une dentition non traitée en orthodontie chez une fille de 14 ans.
Exemples d’espaces primates dans la dentition humaine moderne
Présence d’espaces similaires aux espaces primates chez un homme de 23 ans non traité en orthodontie.
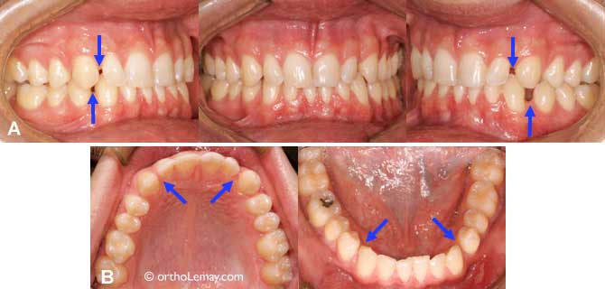
(A) Une partie de l’espace peut aussi être expliquée par les latérales qui sont légèrement étroites.
(B) Ces espaces sont présents depuis le dentition temporaire et sont stables. Ils ne se refermeront pas.
L’espace primate
Nos ancêtres, les grands singes et des primates modernes ont toujours cet espace primate destiné à accommoder leurs grosses et longues canines.
Dents antérieures
(A) Bien qu’il y ait de légers espaces similaires à l’espace primate dans la dentition supérieure de ce jeune de 6 ans, le manque d’espace interdentaire entre les autres incisives laisse présager un manque d’espace certain lors de l’éruption des dents antérieures permanentes qui sont plus larges.
(B) Vue occlusale démontrant le manque d’espace entre les dents.
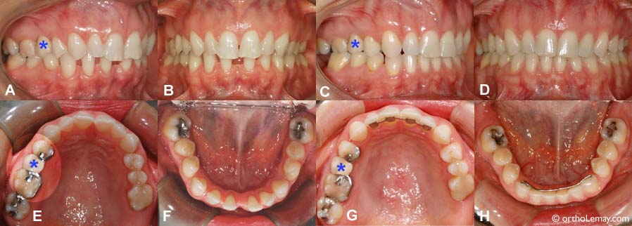
Espaces et musculature (2)
(A, B, F) Espaces interdentaires importants entre les dents antérieures inférieures.
(C, D, H) Après l’orthodontie, les espaces sont fermés et les dents rapprochées. Un fil de rétention est essentiel pour prévenir une ré-ouverture des espaces. À noter qu’il reste de légers espaces à droite (visibles en C et G). Cette patiente de 46 ans avait un pont papillon (indiqué par un astérisque *) qui empêchait tout mouvement des dents postérieures droit et a empêché la fermeture de ces légers espaces pour prévenir que le pont doive être refait si on désirait bouger ces dents.
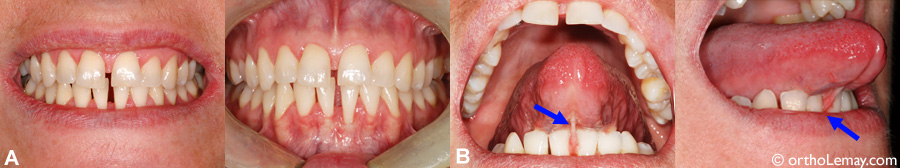
Espaces et musculature
Femme de 35 ans a été traitée en orthodontie il y a plusieurs années.
(A) Après quelques temps, des espaces sont ré-apparus progressivement entre les incisives supérieures et inférieures. La langue, qui dans ce cas exerce une légère pression constante contre les dents, contribue probablement au déplacement des dents vers l’avant et l’apparition des espaces. De plus, le frein lingual qui est court affecte la position de la langue et contribue aussi à l’apparition d’un espace entre les centrales inférieures.
(B) Lorsque le langue est étirée vers l’avant, le frein s’insère entre les dents.
Espaces postérieurs
(A) Élastique permanent utilisé pour fermer des espaces postérieurs.
(B) Espaces interdentaires.
(C) Après quelques semaines les espaces ferment progressivement.
(D) À la fin du traitement, tous les espaces sont fermés. Une attelle de rétention fixe a été osée sur les incisives.
Espaces postérieurs
L’extraction de plusieurs dents postérieures a laissé des espaces importants à l’arcade inférieure (femme de 26 ans).