En raison de la pandémie de COVID-19, les dentistes et les orthodontistes ont dû prendre des mesures afin de limiter la propagation du virus dans leurs cliniques. Des protocoles ont donc été mis en place pour la sécurité de tous et de toutes. Cependant, le personnel des cliniques a aussi besoin de votre collaboration.
Nous vous demandons de vous renseigner sur les mesures à suivre lors de votre prochaine visite et de ne pas vous présenter si vous êtes atteint ou atteinte de la COVID-19, si vous avez des symptômes s’apparentant à la COVID-19 ou si vous avez été en contact avec une personne qui est ou pourrait être atteinte de la COVID-19.
Merci de votre compréhension et de votre coopération en ces temps difficiles.
L’équipe Bücco et ses membres dentistes et spécialistes
Récession apparue pendant un traitement d’orthodontie-5
Quelques exemples de déchaussement de la gencive sur des incisives inférieures. Les cas les plus sévères sont dirigés au dentiste généraliste ou parodontiste pour évaluer la nécessité de faire une greffe gingivale ou autre procédure muco-gingivale. La présence de plaque dentaire et d’inflammation importante dans la région du déchaussement ne font qu’empirer le processus destructeur de la gencive et de l’os alvéolaire (parodonte).
Récession apparue pendant un traitement d’orthodontie-4
(A) Ce cas présente un bon parodonte en début de traitement. (B) À la fin des corrections, l’incisive inférieure gauche est légèrement déchaussée. Si le patient maintient une bonne hygiène buccale et technique de brossage, il est fort probable qu’aucune intervention ne soit nécessaire pour augmenter le niveau de gencive diminué. (C) Les canines gauches ont une gencive mince et étroite avant le début du traitement. (D) Après les corrections, les canines ont été redressées et le niveau de déchaussement a progressé. La prémolaire supérieure gauche qui a été basculée vers l’extérieur présente aussi une récession. Si cette condition progresse moindrement, il serait indiqué d’ajouter du tissus par une greffe gingivale ou une procédure similaire.
Récession apparue pendant un traitement d’orthodontie 3
(A) Niveau de gencive adéquat mais tissus minces et racines profilées (os mince) avant le début du traitement (flèche). (B) Une fois la dent avancée et détournée, une récession importante s’est produite. Vu que cette dent devait encore être déplacée, il fut recommandé de faire une greffe de gencive. (C) La partie dénudée de la racine fut recouverte par une greffe gingivale (flèches) et la racine fut replacée. (Femme de 22 ans)
Récession apparue pendant un traitement d’orthodontie-2
(A) Parodonte (gencive et os) acceptable avant les corrections orthodontiques, présence d’une légère inflammation. (B) L’incisive inférieure gauche (flèche) a été déplacée vers l’avant pendant le traitement. Présence d’une récession importante. À noter l’importante inflammation qui n’a certainement pas aidé à préserver l’intégrité des tissus pendant les corrections.
Récession apparue pendant un traitement d’orthodontie-1
Ce patient de 19 ans présente du chevauchement dentaire modéré dans la région des incisives inférieures. Celle de gauche est plus avancée et présente un déchaussement modéré avant le traitement d’orthodontie (A et C).
(B et D) Après les corrections, le niveau de déchaussement est similaire ou a augmenté légèrement. Une excellente hygiène buccale est essentielle pour éviter que l’inflammation causée par l’accumulation de plaque dentaire ne contribue davantage à la détérioration de la gencive.
Récession associée à une malocclusion 4
Le cas précédent après les corrections orthodontiques; (A) Malgré la sévérité de du déchaussement sur plusieurs dents avant le traitement d’orthodontie, le niveau e gencive est demeuré stable pendant le traitement et il n’y a pas eu de perte additionnelle de gencive additionnelle. À cause de problèmes osseux, quelques dents ont été extraites. La flèche indique une dent prothétique temporaire. (B) Les racines sévèrement usées ont été recouvertes par du matériau composite.
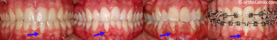
Récession associée à une malocclusion 3
Cet homme de 46 ans avait une technique de brossage “agressive” qui a littéralement usé la gencive et les dents. Il présente une récession extrême avant même l’orthodontie. Les zones foncées sur les racines des dents sont la dentine. On y voit même la pulpe (encore plus foncée) tellement l’usure est prononcée. Ce type de problème présente un risque accru de récession pendant un traitement d’orthodontie mais si l’hygiène buccale, l’inflammation et les forces orthodontiques sont bien contrôlées les problèmes peuvent être minimisés.
Récession associée à une malocclusion 2
Ce jeune homme de 18 ans qui entreprendra un traitement d’orthodontie pour corriger sa malocclusion. Il présente une arcade supérieure très étroite (D) en forme de “V” et une occlusion croisée postérieure bilatérale (A, B, C). Bien qu’il ait une bonne qualité de gencive en général (largeur et épaisseur des tissus), plusieurs dents (indiquées par les flèches) ont différents degrés de déchaussement avant même le début du traitement. L’arcade du haut devant être élargie alors il faudra surveiller de près le niveau de gencive pendant l’orthodontie car, s’il venait qu’à diminuer significativement, des greffes de gencive ou autres procédures parodontales pourraient être nécessaires. Le patient devra porter une attention particulière à son hygiène buccale et sa technique de brossage pendant le traitement afin de ne pas contribuer davantage à la perte de gencive.