En raison de la pandémie de COVID-19, les dentistes et les orthodontistes ont dû prendre des mesures afin de limiter la propagation du virus dans leurs cliniques. Des protocoles ont donc été mis en place pour la sécurité de tous et de toutes. Cependant, le personnel des cliniques a aussi besoin de votre collaboration.
Nous vous demandons de vous renseigner sur les mesures à suivre lors de votre prochaine visite et de ne pas vous présenter si vous êtes atteint ou atteinte de la COVID-19, si vous avez des symptômes s’apparentant à la COVID-19 ou si vous avez été en contact avec une personne qui est ou pourrait être atteinte de la COVID-19.
Merci de votre compréhension et de votre coopération en ces temps difficiles.
L’équipe Bücco et ses membres dentistes et spécialistes
Femme de 49 ans désirant faire replacer ses dents pour améliorer l’apparence de son sourire. Des espaces inter-dentaires sont apparus au cours des dernières années et les dents antérieures commencent à se déplacer. La qualité des dents est excellente mais il y a plusieurs signes de maladie parodontale; récession gingivale, déplacement et mobilité des dents, et apparition d’espaces entre les dents. Une perte osseuse importante affecte plusieurs dents. Ceci est visible l’aide de radiographies et lors du sondage à l’aide d’un instrument.
Autres conséquences des maladies parodontales 1
Destruction osseuse (maladie parodontale) chez une femme de 48 ans. Bien qu’il n’y ait pas d’inflammation visible (rougeur, saignement), une destruction progressive de l’os pendant plusieurs années a causé une récession gingivale (perte de papilles interdentaires et apparition d’espaces au collet des dents (B)). Des dents postérieures s’allongent suite à la perte de dents opposées et des dents commencent à migrer dans la bouche (A). La majeure partie des dommages au parodonte sont irréversibles mais doivent être arrêtés dès que possible pour éviter une plus grande destruction des tissus de support et une perte éventuelle des dents.
Sondage parodontal
Le sondage parodontal permet d’évaluer la santé du parodonte (os et gencive) entourant les dents. Un parodonte sain ne présente pas d’inflammation et aura des poches peu profondes autour des dents (1-2 mm). La présence de gingivite et d’inflammation affaiblit la gencive et permet à la sonde de pénétrer plus profondément. Plus il y a d’inflammation et de destruction osseuse, plus les poches autour des dents seront profonds et l’os alvéolaire est progressivement affecté (parodontite).
Récession et perte osseuse pendant l’orthodontie
(A) Avant le traitement, l’incisive inférieure gauche est basculée à l’intérieur de l’arcade dentaire (flèche) . À cause du déséquilibre squelettique entre les mâchoires et l’étroitesse de l’arcade, l’alignement de cette incisive la déplacera vers l’avant. (B) L’alignement a causé une perte importante de gencive et d’os alvéolaire qui supportent la dent (récession/déchaussement). (C) Il fut alors décidé d’extraire l’incisive et de fermer l’espace en orthodontie. (D) Résultat final à la fin de l’orthodontie. Une greffe gingivale fut faite (flèches) pour améliorer la qualité de la gencive restante devant les autres incisives.
Perte de gencive = perte osseuse
(A) Cet adulte de 44 ans montre des papilles interdentaires fuyantes (basses) et quelques espaces “noirs” indiquant un manque de gencive entre les dents (A). Une radiographie volumique tridimensionnelle permet de voir le niveau osseux qui est plus bas et correspondant aux zones où la gencive est aussi déficiente (flèches).
La clé; à quel rythme progresse le déchaussement? 3
Classe 2 division 2 adulte (45 ans). (A) Avant le traitement. (B) Après les corrections orthodontique, les dents détournées mettent en évidence le niveau plus bas des papilles gingivales. De plus, les latérales étant légèrement étroites, cela contribue à l’espace inter-dentaire entre les latérales et les centrales. (C) Après l’orthodontie, le dentiste généraliste a modifié la forme des dents pour les rendre plus esthétiques et éliminer le plus d’espaces noir possible tout en gardant de bonnes proportions pour les dents. Ainsi, les latérales ont été élargies et les centrales ont été reformées sur leur surface commune. Le résultat final laisse un léger espace triangulaire entre les centrales et entre la latérale et la canine droites mais ceci est beaucoup moins perceptible qu’avant. Le dentiste a préféré laisser ce léger espace pour éviter que les centrales aient une apparence trop carrée et soient de largeur disproportionnée par rapport aux latérales. Vous remarquerez que la centrale gauche a toujours été plus large que celle de droite et cette proportion a été maintenue dans la restauration finale par le dentiste. À remarquer aussi la diminution des espaces entre 2 incisives inférieures.
La clé; à quel rythme progresse le déchaussement? 2
(A, C) Une incisive inférieure avancée présente un niveau de gencive plus bas avant le traitement (flèche bleue). Une autre incisive plus reculée a un niveau de gencive plus haut (flèche jaune). (B et D) Les corrections orthodontiques ont égalisé les dents. Le niveau de gencive ne s’est pas détérioré sur l’incisive avancée (bleu) qui fut légèrement reculée pendant le traitement tandis que le niveau de l’autre incisive (jaune) a diminué lorsqu’elle fut avancée. Ceci a en fait régularisé le niveau de gencive de ces dents et tant qu’il demeure stable, aucune intervention n’est nécessaire. L’hygiène buccale contribuera à la santé de la gencive et au maintien de sa hauteur (à noter la présence d’inflammation sur le bord des incisives à la fin du traitement (B, D). (Femme de 25 ans)
La clé; à quel rythme progresse le déchaussement? 1
(A) Cet homme de 46 ans présente plusieurs dents avec du déchaussement modéré (flèches). Cette condition est stable depuis plusieurs années et l’hygiène buccale étant excellente (absence étant plaque et inflammation gingivale) il n’est pas nécessaire d’envisager “renflouer” ces zones déficientes à moins que la récession ne progresse davantage. (B) À la fin du traitement le niveau de gencive est identique à celui du début sauf sur une incisive inférieure (flèche jaune) où l’on peut conclure que le mouvement orthodontique ayant déplacé cette dent vers l’avant a probablement contribué à la baisse du niveau de gencive. Tant que cette situation sera stable, aucune procédure ne sera nécessaire pour la gencive plus basse. Cette dentition avait une canine temporaire (* rouge – A). La canine permanente incluse fut descendue et logée dans l’arcade (* bleu – B). Elle présente une couleur plus foncée car elle n’a jamais eu de blanchiment ou aucun autre traitement sur sa surface contrairement aux autres dents qui sont en bouche depuis plus de 30 ans.
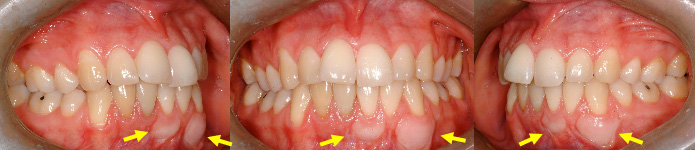
La récession est-elle réversible?
(A, B) Malgré la présence d’une légère récession gingivale sur les dents indiquées par les flèches, ce déchaussement n’a pas augmenté pendant le traitement pour le cas (A) et est demeuré stable plus d’un an après la fin du traitement pour le cas (B).
Greffes gingivales “prophylactiques” 2
Exemple de greffes gingivales faites avant un traitement d’orthodontie afin d’éviter une progression du déchaussement pendant les déplacements dentaires.