En raison de la pandémie de COVID-19, les dentistes et les orthodontistes ont dû prendre des mesures afin de limiter la propagation du virus dans leurs cliniques. Des protocoles ont donc été mis en place pour la sécurité de tous et de toutes. Cependant, le personnel des cliniques a aussi besoin de votre collaboration.
Nous vous demandons de vous renseigner sur les mesures à suivre lors de votre prochaine visite et de ne pas vous présenter si vous êtes atteint ou atteinte de la COVID-19, si vous avez des symptômes s’apparentant à la COVID-19 ou si vous avez été en contact avec une personne qui est ou pourrait être atteinte de la COVID-19.
Merci de votre compréhension et de votre coopération en ces temps difficiles.
L’équipe Bücco et ses membres dentistes et spécialistes
Sourires Adultes – Avant et après l’orthodontie 13-14-15
Sourires Adultes – Avant et après l’orthodontie 10-11-12
Sourires Adultes – Avant et après l’orthodontie 7-8-9
Sourires Adultes – Avant et après l’orthodontie 4-5-6
Sourires Adultes – Avant et après l’orthodontie 1-2-3
Un traitement d’orthodontie est-il possible en présence de problèmes parodontaux?
(A) Le plan articulé est utilisé lorsqu’il y a un surplomb vertical excessif entre les dents antérieures (cercle bleu). (B) L’ajout d’un plan articulé (rose) permet aux incisives inférieures de mordre sur le plan (*) plutôt que près du palais ou dans la muqueuse du palais. Ceci déplace légèrement la mandibule vers le bas en ouvrant la bouche (flèches). Ce genre d’appareil peut être utilisé avec les cas ayant des problèmes parodontaux afin de minimiser les forces occlusales sur la dentition. (C) Si l’appareil est porté continuellement, après plusieurs mois, les dents postérieures commenceront à migrer vers le haut (éruption) afin de tenter de rétablir un contact avec les dents opposées (flèches). (D) Après un certain temps, les dents postérieurs se toucheront et, si l’appareil est alors enlevé, on remarquera que les incisives inférieures ont maintenant dégagées de celles du haut.
Problèmes parodontaux et évaluation du parodonte
(A) Cet adulte de 44 ans montre des papilles interdentaires fuyantes (basses) et quelques espaces “noirs” indiquant un manque de gencive entre les dents (A). (B) Une radiographie volumique tridimensionnelle permet de voir le niveau osseux qui est plus bas et correspondant aux zones où la gencive est aussi déficiente (flèches).
destruction osseuse
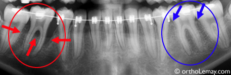
La première molaire inférieure gauche a un niveau osseux normal (flèches bleues) tandis que celle de droite (rouge) a une perte importante (presque 50%) du niveau de l’os ce qui met en péril la survie de la dent. Un suivi en parodontie est essentiel pour tenter de corriger cette situation.
Les problèmes de perte et de destruction osseuse autour des dents sont souvent généralisés ou affectent, la plupart du temps, plusieurs dents. Dans des cas plus rares, la perte osseuse peut n’affecter qu’une seule région de la bouche, comme le démontre l’exemple suivant.
Autres conséquences des maladies parodontales 4
Malgré son jeune âge, cette femme dans la vingtaine présente déjà des signes de destruction parodontale avancée. Il y a présence de plaque dentaire, tartre, inflammation, rougeur, saignement, récession gingivale et perte osseuse (flèche). Les dents antérieures présentent une plus grande mobilité. Cette femme désirait faire corriger son importante malocclusion (béance antérieure, occlusion croisée, chevauchement, etc.) mais il est impossible d’envisager des corrections orthodontiques tant que la condition parodontale n’est pas sous contrôle. Ne pas traiter cette condition en parodontie mènera à la perte progressive de plusieurs dents.
Autres conséquences des maladies parodontales 3
(A) Femme de 60 ans avec problèmes parodontaux; récession gingivale (flèche), papilles inter-dentaires basses, perte osseuse et déplacements dentaires. (B) Les radiographies montrent des endroits de perte osseuse importante; jusqu’à 50% du niveau osseux normal a été perdu à certains endroits. Cette condition doit être traitée avant de débuter un traitement d’orthodontie.