En raison de la pandémie de COVID-19, les dentistes et les orthodontistes ont dû prendre des mesures afin de limiter la propagation du virus dans leurs cliniques. Des protocoles ont donc été mis en place pour la sécurité de tous et de toutes. Cependant, le personnel des cliniques a aussi besoin de votre collaboration.
Nous vous demandons de vous renseigner sur les mesures à suivre lors de votre prochaine visite et de ne pas vous présenter si vous êtes atteint ou atteinte de la COVID-19, si vous avez des symptômes s’apparentant à la COVID-19 ou si vous avez été en contact avec une personne qui est ou pourrait être atteinte de la COVID-19.
Merci de votre compréhension et de votre coopération en ces temps difficiles.
L’équipe Bücco et ses membres dentistes et spécialistes
Après le traitement d’orthodontie et un avancement de la mâchoire inférieure (chirurgie), le profil du visage, l’esthétique et la fonction de la dentition sont améliorés significativement.
rétrognathie mandibulaire – Classe II -2
Profil avec menton reculé. La radiographie montre une mandibule trop courte et reculée qui contribue à l’écart important entre les dents du haut et celles du bas. Le diagramme montre le mouvement qui doit être effectué en chirurgie pour avancer la mâchoire.
Mâchoire inférieure trop reculée (rétrognathie mandibulaire – Classe II)
Rétrognathie mandibulaire sévère (recul de la mâchoire du bas) chez une patiente de 31 ans. Les dents inférieures mordent dans le palais et celles du haut sont avancées de 14 mm. Une chirurgie est nécessaire pour avancer la mâchoire inférieure trop reculée.
Les effets à long terme
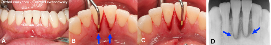
(A) Apparence normale des dents et tissus vue de face. (B et C) La face interne des dents montre une récession gingivale importante, du saignement et une sonde dentaire peut être insérée très profondément indiquant une perte osseuse. (D) une radiographie confirme la perte d’os et le dommage autour des racines des dents.
Autres exemples de piercing de la langue et de la lèvre.
Autres exemples de piercing de la langue et de la lèvre.
Une tige en forme d’haltère exerçant une pression
(A) Perçage de la langue avec une tige “haltère”. (B) La patiente a développé l’habitude d’appuyer la tige contre ses dents. (C) Les centrales se sont déplacées et un espace important s’est créé. (D) Une correction orthodontique a été nécessaire pour refermer l’espace. (ill.; Tabbaa, JCO 2010)
Problèmes de gencive; récession et déchaussement-percing 3
Début de récession sur les centrales inférieures causé par l’attache d’un piercing de lèvre chez une femme de 21 ans.
Problèmes de gencive; récession et déchaussement-percing 2
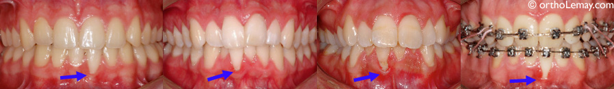
Exemples de différents degrés de récession gingivale sur des incisives inférieures.
Problèmes de gencive; récession et déchaussement-percing 1