En raison de la pandémie de COVID-19, les dentistes et les orthodontistes ont dû prendre des mesures afin de limiter la propagation du virus dans leurs cliniques. Des protocoles ont donc été mis en place pour la sécurité de tous et de toutes. Cependant, le personnel des cliniques a aussi besoin de votre collaboration.
Nous vous demandons de vous renseigner sur les mesures à suivre lors de votre prochaine visite et de ne pas vous présenter si vous êtes atteint ou atteinte de la COVID-19, si vous avez des symptômes s’apparentant à la COVID-19 ou si vous avez été en contact avec une personne qui est ou pourrait être atteinte de la COVID-19.
Merci de votre compréhension et de votre coopération en ces temps difficiles.
L’équipe Bücco et ses membres dentistes et spécialistes
En plus de l’orthodontie ayant corrigé la position des dents, une chirurgie d’avancement du menton (génioplastie) a permis de changer le profil de cette adolescente de 18 ans. Photos : (A) Avant l’orthodontie, (B) après l’orthodontie et (C) après la génioplastie. – (Courtoisie : Dr Sylvain Chamberland, Québec)
Béance antérieure sévère corrigée par orthodontie et chirurgie-5
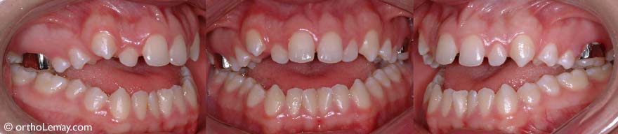
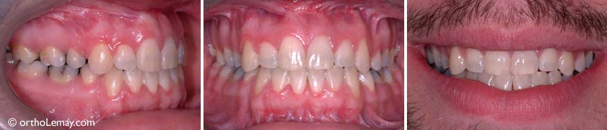
(A) Sévère malocclusion de type Classe III avec constriction maxillaire, occlusion croisée et béance postérieure bilatérales et manque d’espace important. (B) La déficience maxillaire (constriction et recul du maxillaire supérieur) se reflète dans le recul de la lèvre supérieure. (C) Occlusion à la fin du traitement. Un avancement maxillaire chirurgical fut nécessaire pour avancer la mâchoire supérieure et améliorer le profil. Aucune extraction ne fut nécessaire et aucun appareil d’expansion ne fut utilisé. (D) Le résultat final montre une lèvre supérieure plus avancée et un profil plus équilibré.
Béance antérieure sévère corrigée par orthodontie et chirurgie-4
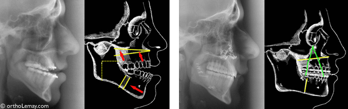
Radiographies avant et après la chirurgie et diagrammes illustrant les mouvements effectués sur les mâchoires.
Béance antérieure sévère corrigée par orthodontie et chirurgie-3
Fermeture de la béance antérieure à la suite de l’orthodontie et d’une chirurgie aux mâchoires. Il en résulte une meilleure fonction (mastication et phonétique).
Béance antérieure sévère corrigée par orthodontie et chirurgie-2
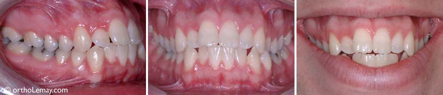
Sévère béance antérieure nécessitant de l’orthodontie et une chirurgie pour corriger la mauvaise relation entre les mâchoires d’un garçon de 17 ans.
Béance antérieure sévère corrigée par orthodontie et chirurgie
(A) Béance antérieure causée par un excès postérieur vertical du maxillaire. Seules les dents postérieures se touchent lors de la fermeture de la bouche. (B) Coupe pour une impaction maxillaire différentielle. La partie rouge sera enlevée (ostectomie). (C) Le segment maxillaire est remonté et fixé à l’aide de plaques et de vis. Il en résulte une auto-rotation mandibulaire qui fait remonter et avancer la dentition inférieure. (D) Une fois le traitement terminé, la béance est fermée et les dents se touchent partout.
Esthétique du sourire : trop de gencive apparente-2
Réduction significative de la gencive apparente à la suite d’une chirurgie à la mâchoire supérieure. L’orthodontie (4 dents ont été extraites) a permis d’aligner et reculer les dents. (Final) Fermeture de la béance antérieure à la suite de l’orthodontie et une chirurgie aux mâchoires. Il en résulte une meilleure fonction (mastication et phonétique).
Esthétique du sourire : trop de gencive apparente
Patient de 22 ans se plaignant de voir trop de gencive lors du sourire (photos avant le traitement).
Simulation de la correction chirurgicale d’une malocclusion classe 2 ayant une béance antérieure.
Simulation de la correction chirurgicale d’une malocclusion classe 2 ayant une béance antérieure.
Pour voir des exemples de planification et simulation d’une chirurgie orthognathique complexe aux deux mâchoires.