En raison de la pandémie de COVID-19, les dentistes et les orthodontistes ont dû prendre des mesures afin de limiter la propagation du virus dans leurs cliniques. Des protocoles ont donc été mis en place pour la sécurité de tous et de toutes. Cependant, le personnel des cliniques a aussi besoin de votre collaboration.
Nous vous demandons de vous renseigner sur les mesures à suivre lors de votre prochaine visite et de ne pas vous présenter si vous êtes atteint ou atteinte de la COVID-19, si vous avez des symptômes s’apparentant à la COVID-19 ou si vous avez été en contact avec une personne qui est ou pourrait être atteinte de la COVID-19.
Merci de votre compréhension et de votre coopération en ces temps difficiles.
L’équipe Bücco et ses membres dentistes et spécialistes
Plaque articulaire (flèches) utilisée par le chirurgien maxillo-facial pour le positionnement précis des mâchoires et des dents lors de la chirurgie orthognathique. Cette plaque est fabriquée par une imprimante 3D une fois la simulation terminée. (A) Vue du côté droit. (B) Vue de face. (C) Vue de l’intérieur de la bouche. Détails de la position des dents sur la surface supérieure de la plaque occlusale (D) et sur la surface inférieure (E). La précision de cette plaque est très critique car elle servira à positionner les segments des mâchoires et les articuler convenablement.
Simulation informatique 3D d’une correction chirurgicale complexe des deux mâchoires
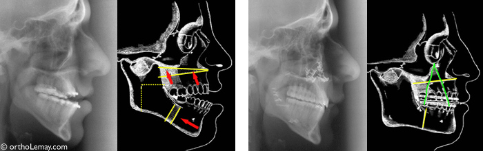
Radiographies avant et après la chirurgie et diagrammes illustrant les mouvements effectués sur les mâchoires dans un cas de classe 3 avec béance antérieure.
fin de la croissance mandibulaire antéro-postérieure
La fin de la croissance mandibulaire antéro-postérieure ne se produit pas au même moment chez les filles et les garçons. Elle est terminée plusieurs années plus tôt chez les filles. Ceci peut être un avantage ou un désavantage selon le plan de traitement visant à corriger un déséquilibre entre les mâchoires.
orthodontie-schéma-2
Chirurgie orthognathique bimaxillaire pour corriger une prognathie mandibulaire et déficience maxillaire
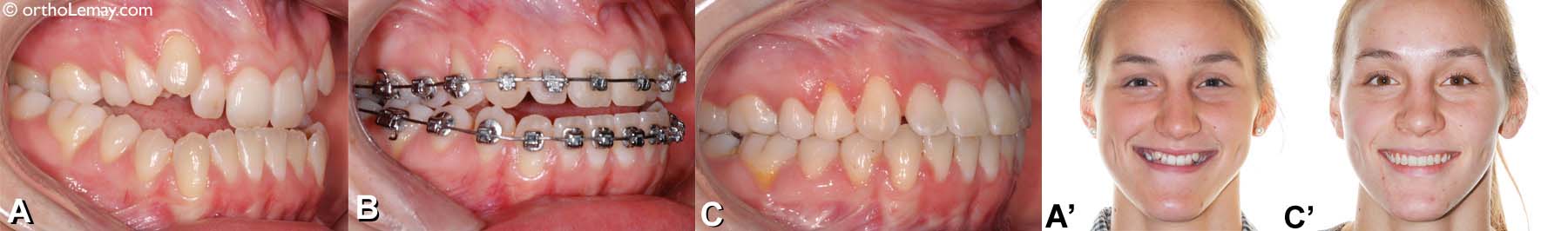
Chirurgie orthognathique bimaxillaire pour corriger une prognathie mandibulaire et déficience maxillaire. (A, A’) Malocclusion classe 3 et visage avant le traitement, (B) après les décompensations dentaires et avant la chirurgie, (C, C’) après les corrections chirurgicales (avancement maxillaire et recul mandibulaire). ➡ pour en savoir plus sur ce cas et voir d’autres malocclusions classe 3 traitées en ortho-chirurgie.
orthodontie-schéma
Simulation de traitement-2
Les chirurgiens peuvent maintenant simuler et planifier les chirurgies orthognathiques à l’aide de radiographies volumiques 3D (TVFC) et de logiciels de simulation. De telles simulations sont faites pour les cas les plus complexes nécessitant une intervention aux deux mâchoires.
Simulation de traitement-1
Simulation d’un avancement de la mâchoire inférieure à l’aide d’un logiciel superposant une radiographie céphalométrique du crâne et une photo extra-orale de profil pour visualiser les effets du traitement.
La génioplastie : pour modifier le menton -2
(A) Femme de 45 ans avec un menton reculé. La mâchoire supérieure a été “remontée” (impaction maxillaire) et le menton a été avancé (génioplastie) pour donner plus de volume et améliorer le profil. (B) La plaque et les vis chirurgicales de rétention du menton (flèche), ainsi que les vis à la mâchoire supérieure, sont visibles sur la radiographie post-opératoire.