En raison de la pandémie de COVID-19, les dentistes et les orthodontistes ont dû prendre des mesures afin de limiter la propagation du virus dans leurs cliniques. Des protocoles ont donc été mis en place pour la sécurité de tous et de toutes. Cependant, le personnel des cliniques a aussi besoin de votre collaboration.
Nous vous demandons de vous renseigner sur les mesures à suivre lors de votre prochaine visite et de ne pas vous présenter si vous êtes atteint ou atteinte de la COVID-19, si vous avez des symptômes s’apparentant à la COVID-19 ou si vous avez été en contact avec une personne qui est ou pourrait être atteinte de la COVID-19.
Merci de votre compréhension et de votre coopération en ces temps difficiles.
L’équipe Bücco et ses membres dentistes et spécialistes
(A) Garçon de 12 ans traité en orthodontie pendant une période de croissance ce qui a permis d’améliorer la relation des mâchoires (B) Résultat après 14 mois. Sans croissance une chirurgie est nécessaire chez l’adulte pour corriger un tel déséquilibre d’où l’importance d’un suivi et intervention précoces pendant la croissance et le développement de l’enfant.
Exemples de génioplasties 2
Chirurgie orthognathique multiple (A) Femme de 45 ans avec un menton reculé. La mâchoire supérieure a été “remontée” (impaction maxillaire) et le menton a été avancé (génioplastie) pour donner plus de volume et améliorer le profil. (B) La plaque et les vis chirurgicales de rétention du menton (flèche), ainsi que les vis à la mâchoire supérieure, sont visibles sur la radiographie post-opératoire.
Exemples de génioplasties 1
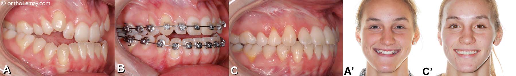
En plus de l’orthodontie ayant corrigé la position des dents, une chirurgie d’avancement du menton (génioplastie) a permis de changer le profil de cette adolescente de 18 ans. Photos : (A) Avant l’orthodontie, (B) après l’orthodontie et (C) après la génioplastie. – (Courtoisie : Dr Sylvain Chamberland, Québec)
génioplastie 3
Génioplastie d’avancement pour allonger un menton fuyant dans un cas de rétrognathie mandibulaire
génioplastie 2
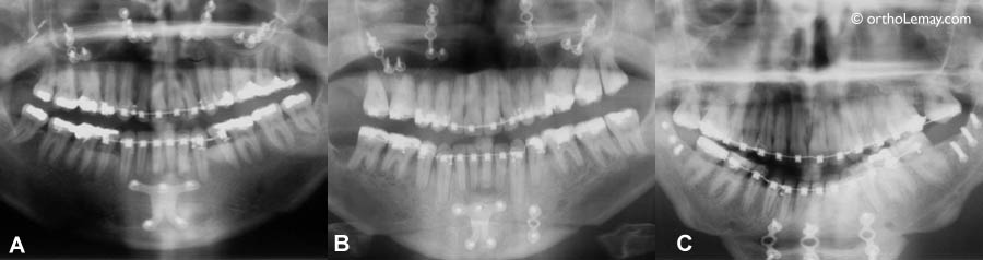
(A, B et C) Des radiographies panoramiques montrent la présence de plaques de fixation chez des patients ayant eu une chirurgie au menton (génioplastie d’avancement ou de recul). (A et B) montrent aussi des plaques utilisées pour immobiliser la mâchoire supérieure suite à une chirurgie et (C) montre des vis à l’arrière de la mandibule suite à un avancement de la mâchoire inférieure.
génioplastie 1
Radiographies montrant des chirurgies d’avancement du menton. Les flèches rouges indiquent la ligne de coupe. Cette dernière sera remplie par l’os éventuellement. Les flèches jaunes indiquent les plaques de fixation rigides qui unissent les deux segments de l’os du menton pendant la guérison et solidification de l’os.
Chirurgie orthognathique bimaxillaire pour corriger une prognathie mandibulaire et déficience maxillaire.
Chirurgie orthognathique bimaxillaire pour corriger une prognathie mandibulaire et déficience maxillaire.
Simulation virtuelle 3D d’une correction chirurgicale d’une malocclusion classe 3.
Simulation virtuelle 3D d’une correction chirurgicale d’une malocclusion classe 3.