En raison de la pandémie de COVID-19, les dentistes et les orthodontistes ont dû prendre des mesures afin de limiter la propagation du virus dans leurs cliniques. Des protocoles ont donc été mis en place pour la sécurité de tous et de toutes. Cependant, le personnel des cliniques a aussi besoin de votre collaboration.
Nous vous demandons de vous renseigner sur les mesures à suivre lors de votre prochaine visite et de ne pas vous présenter si vous êtes atteint ou atteinte de la COVID-19, si vous avez des symptômes s’apparentant à la COVID-19 ou si vous avez été en contact avec une personne qui est ou pourrait être atteinte de la COVID-19.
Merci de votre compréhension et de votre coopération en ces temps difficiles.
L’équipe Bücco et ses membres dentistes et spécialistes
Contour gingival, points de contact et espaces inter-dentaires harmonieux
(C) Un contour gingival (marge de la gencive – ligne rouge) harmonieux doit placer les latérales ± 1 mm plus basses que les centrales et les canines.
(D) La hauteur des points ou surface de contacts (lignes bleues) varie entre les dents antérieures supérieures. Voir ci-dessous pour plus d’information3.
Contour gingival, points de contact et espaces inter-dentaires harmonieux
(A) Il existe différentes façon d’évaluer les dimensions des dents dont les mesurer en valeur absolue (mm) ou proportionnellement (% d’une dent par rapport aux autres dents). Ces évaluations aident à déterminer la position idéale des dents en 3 dimensions pour optimiser l’esthétique.
(B) La largeur virtuelle des incisives supérieures réfère à la partie visible de la dent. Il y a une diminution dans la perception de la largeur des dents à partir de la centrale vers la canine qui ne reflète pas la vraie différence dans la largeur réelle (physique) de ces dents3.
Contour gingival, points de contact et espaces inter-dentaires harmonieux
Afin de maximiser l’esthétique du sourire, les mouvements orthodontiques permettent de déplacer les dents de façon à respecter des “règles” et proportions établies par la nature.
Inflammation gingivale chronique 2
Exemple d’irritation et d’inflammation gingivale chronique. Cette femme dans la cinquantaine a eu des facettes en composites posées sur ses latérales supérieures il y a 18 ans afin épaissir ces 2 dents. On peut voir l’épaisseur ajoutée en (B). Elle rapporte que, malgré une hygiène buccale excellente, elle n’a jamais pu éliminer l’inflammation des gencives sur les latérales (flèches; rougeur, gonflement des gencives, saignement et sensibilité).
Inflammation gingivale chronique 1
Cette facette (flèche) a été faite il y a un plus d’un an. Elle est un peu épaisse et avoisine un contour gingival qui est constamment rouge (inflammation) et saigne facilement au moindre toucher.
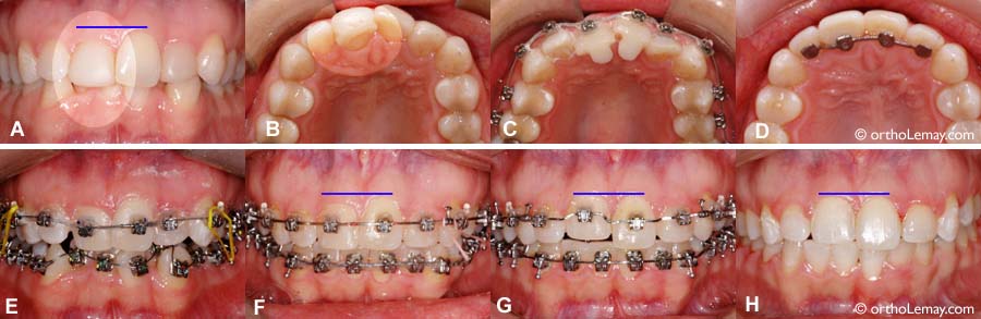
Camouflage d’une centrale qui est reculée, en rotation et plus courte que l’autre centrale.
(A et B) La centrale supérieure droite est reculée et en rotation. Elle est aussi plus courte (usure) que la centrale gauche et le niveau de gencive entre les centrales est inégal (ligne bleue). Vue occlusale (en plongée) une fois le composite enlevé et les appareils posés (du composite a été ajouté sur la surface intérieure des centrales). (D) Fin des corrections orthodontiques avec l’Attelle de rétention en place. (C et E) Pose des appareils correcteurs. (F) La centrale droite est avancée et détournée mais est toujours basse. (G) La centrale est remontée pour que le niveau de gencive soit égal entre les 2 centrales pour des raisons esthétiques. (H) À la fin du traitement, la centrale droite est plus courte et sera allongée à l’aide restauration qui sera faite par le dentiste généraliste.
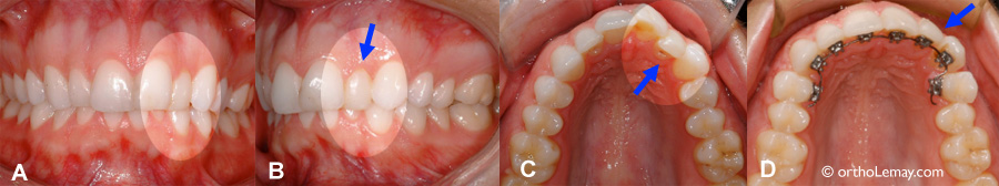
Exemple de camouflage léger à l’aide de composite (moins épais)
(A et B) La latérale supérieure gauche est basculée vers l’intérieur. Afin de camoufler dette malposition, le dentiste a épaissi la surface avant avec du composite. (C) Sur une vue en plongée, on peut apprécier la surface plus épaisse de la latérale. (D) Le traitement d’orthodontie visait à avancer cette dent pour la placer normalement, la restauration de composite a été enlevée à mesure que la dent est déplacée vers l’avant (à l’aide de broches linguales) jusqu’à ce que le dent retrouve sa forme et épaisseur initiales (corrections non terminées).
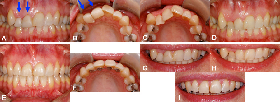
Camouflage esthétique – orthodontie instantanée
(A) La latérale et la centrale supérieure droite de cette femme étaient basculées vers l’intérieur (flèches) et ont été épaissies avec du composite. Une dent sévèrement penchée vers l’intérieur paraîtra toujours plus courte même épaissie. (B) Cette vue montre l’épaisseur du composite qui atteint 5-6 mm sur la latérale. Le point de contact entre les dents est difficile à nettoyer. (C) Avant de débuter l’orthodontie, tout le composite a été enlevé. La malposition sévère des dents est maintenant évidente. (D) Vue de face après l’enlèvement du composite. (E) À la fin de l’orthodontie, les surfaces avant des dents ont pu être alignées convenablement et la longueur des dents est plus proportionnelle et symétrique. (F) La surface interne des dents est aussi bien alignée. Une attelle de rétention augmente la stabilité des corrections. (G) Sourire avec les facettes épaisses. (H) Sourire après l’enlèvement des facettes de composite. (I) Sourire à la fin de l’orthodontie une fois les corrections terminées. Les dents ont des signes de décolorations et défauts d’émail qui pourront être corrigés par un dentiste restauratif si la patiente le désire.
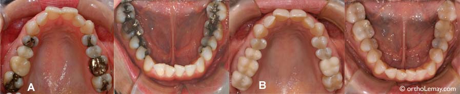
Matériaux restauratifs; amalgame, composite, porcelaine, etc.
(A) Plusieurs restaurations en amalgame sont présentes sur les dents postérieures des deux arcades. (B) Apparence plus esthétique des nouveaux matériaux (composite et porcelaine) ayant remplacé les “vielles” obturations et une couronne. A noter qu’il s’est écoulé 8 ans entre les séries de photos, période pendant laquelle la patiente ne pouvait envisager l’orthodontie mais en avait profité pour faire remplacer ses restaurations. La majorité de ces restaurations auraient pu être faites après les corrections orthodontiques.
Remplacement de dents manquantes par implants dentaires 2
(A) Molaire supérieure gauche manquante chez un patient de 40 ans. (B) Après les corrections orthodontiques, un implant dentaire a été placé. (C) Après une période de guérison et stabilisation de 6 mois, une couronne a été fixée sur l’implant.