En raison de la pandémie de COVID-19, les dentistes et les orthodontistes ont dû prendre des mesures afin de limiter la propagation du virus dans leurs cliniques. Des protocoles ont donc été mis en place pour la sécurité de tous et de toutes. Cependant, le personnel des cliniques a aussi besoin de votre collaboration.
Nous vous demandons de vous renseigner sur les mesures à suivre lors de votre prochaine visite et de ne pas vous présenter si vous êtes atteint ou atteinte de la COVID-19, si vous avez des symptômes s’apparentant à la COVID-19 ou si vous avez été en contact avec une personne qui est ou pourrait être atteinte de la COVID-19.
Merci de votre compréhension et de votre coopération en ces temps difficiles.
L’équipe Bücco et ses membres dentistes et spécialistes
#2 Variation de l’esthétique du sourire chez la même personne que les images en #1 ci-dessus. (A et B) 8 images différentes du sourire d’une jeune femme. Selon le “stage” du sourire, les lèvres sont positionnées différemment et dégagent inégalement les dents en hauteur et des deux côtés de la bouche. Ainsi, selon la position des lèvres, le sourire est asymétrique et peut donner l’impression que ce sont les dents ou le plan occlusal qui sont croches. (B) La différence pour les 4 photos du bas est que les incisives latérales ont été modifiées légèrement avec de la cire blanche pour simuler un allongement de ces dents afin de montrer à la patiente l’effet que cela pourrait sur son sourire avoir si elle faisait allonger ces dents avec du composite
Les lèvres, le sourire et l’asymétrie
#1 (A) Cette femme trouvait que son sourire était asymétrique après le traitement d’orthodontie. Elle a parfaitement raison mais une analyse détaillée révèle que cette asymétrie est causée par un dégagement inégal de la lèvre lors du sourire. (B) La ligne bleue est tracée sur le bord incisif des centrales supérieure et est parfaitement parallèle à une ligne passant pas le centre de la pupille des yeux, ce qui est normal. Par contre, on remarque que 2 autres lignes rouges passant par les commissures (coins) de la bouche et par un point de repère identique sur chaque côté du nez ne sont pas parallèles à la ligne bleue, confirmant une asymétrie subtile mais apparente. De plus, on remarque une asymétrie du nez et une légère déviation du menton, ce qui contribue à accentuer l’effet d’asymétrie du sourire et du visage. Ceci est donc un problème autre qu’orthodontique.
Les lèvres, le sourire et l’asymétrie
(A et B) Ces deux images sont identiques et représentent un sourire asymétrique sans traitement orthodontique et causé par une position des lèvres asymétrique. Les photos sont alignées sur le plan inter-pupilliare passant par le centre des yeux et qui sert de référence horizontale pour le visage. (B) Le plan occlusal (ligne bleue) est parallèle à la ligne inter-pupillaire. Une ligne rouge joignant les commissures des lèvres montre l’inclinaison de la lèvre lors du sourire. Plus de dents sont visibles du côté droit où la lèvre est plus haute, ce qui crée un sourire asymétrique. Les gens confondent parfois une telle asymétrie avec des dents “croches’, inclinées ou des lignes médianes déviées. IL est pratiquement impossible d’obtenir un sourire symétrique avec un tel dégagement des lèvres.
Les lèvres, le sourire et l’asymétrie
(A) À la fin du traitement d’orthodontie, cette patiente présente un sourire asymétrique causé par l’abaissement de la lèvre inférieure du côté droit. Ceci fait paraître plus de dents inférieures de ce côté et rend le sourire asymétrique. (B) Une vue rapprochée montre que les bords incisives sont bien alignés (ligne pointillée) que les lignes médianes sont assez bien alignées et que l’inclinaison des incisive est bonne. À noter que ce problème de lèvre était présent avant le traitement.
Les proportions idéales du visage de la dentition et du sourire
Couronnes et facettes dentaires et principes d’esthétique
Malgré une dentition relativement belle, cette femme de 46 ans n’aime pas son sourire à cause de l’inégalité du niveau des gencives lorsqu’elle sourit. Il n’y a qu’une légère différence entre la position des centrales mais le dégagement de sa lèvre lors du sourire rend cette inégalité visible. Une telle irrégularité entre le niveau des dents peut être corrigée facilement en orthodontie. Si la quantité de gencive le permet, une gingivectomie pourrait aussi améliorer l’esthétique en modifiant le contour gingival des centrales. (A) Vues de côté et de face de la dentition et l’occlusion. (B) Vue de l’occlusion et dentition de face avec les lèvres dégagées.
Modification du sourire
(I) Sourire initial; dents inégales, en rotation et gencive avec contour irrégulier visible. (J) Après l’orthodontie; le contour des gencives a été harmonisé mais le rebord des dents est inégal. (K) les 4 facettes faites par le dentiste optimisent la forme des dents et le contour gingival. Il y a moins de gencive visible lors du sourire.
Modification du sourire
Mouvements orthodontiques pour harmoniser des incisives de longueur inégale et le niveau de gencive
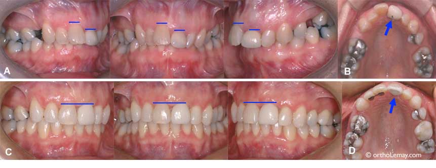
(A et B) La centrale supérieure gauche de cette femme de 43 ans est plus courte et plus basse que celle de droite et le contour de la gencive est très inégal et inesthétique. De plus, elle a une couronne épaisse qui visait à camoufler une rotation importante. (flèche bleue). (C et D) Après l’orthodontie, la position des incisives fut corrigée de façon à harmoniser le niveau de la gencive et permettre au dentiste généraliste de faire une nouvelle couronne mieux proportionnée et plus esthétique.
Mouvements orthodontiques pour harmoniser des incisives de longueur inégale et le niveau de gencive
Utilisation de mouvements orthodontiques pour harmoniser le niveau de gencive des centrales et permettre au dentiste de faire une restauration plus esthétique après le traitement d’orthodontie.