En raison de la pandémie de COVID-19, les dentistes et les orthodontistes ont dû prendre des mesures afin de limiter la propagation du virus dans leurs cliniques. Des protocoles ont donc été mis en place pour la sécurité de tous et de toutes. Cependant, le personnel des cliniques a aussi besoin de votre collaboration.
Nous vous demandons de vous renseigner sur les mesures à suivre lors de votre prochaine visite et de ne pas vous présenter si vous êtes atteint ou atteinte de la COVID-19, si vous avez des symptômes s’apparentant à la COVID-19 ou si vous avez été en contact avec une personne qui est ou pourrait être atteinte de la COVID-19.
Merci de votre compréhension et de votre coopération en ces temps difficiles.
L’équipe Bücco et ses membres dentistes et spécialistes
Solutions esthétiques pour dents manquantes pendant l’orthodontie-1
(A) Femme de 26 ans avec une dentition mutilée ayant plusieurs dents manquantes. Les latérales supérieures sont absentes (flèches). (B) Au début du traitement, l’espace des latérales est ouvert. (C, D et E) Une fois l’espace assez grand, des dents prothétiques sont ajoutées. Elles sont collées sur des boîtiers (brackets) qui eux sont attachés au fil principal. (F) Le fil peut être enlevé pour ajustements et les dents peuvent être modifiées pour être adaptées aux changements dans la position des dents.
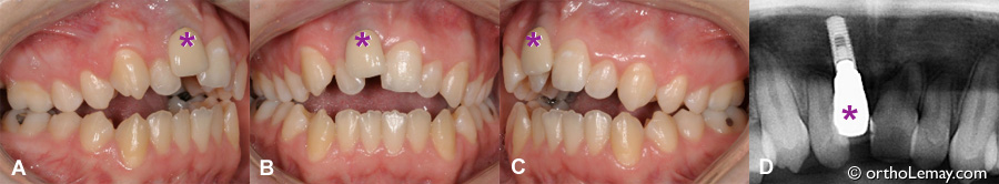
Implant dentaire posé chez un adolescent (12 ans)
Implant dentaire posé chez un adolescent (12 ans) et contribuant au développement d’une malocclusion importante avec la croissance résiduelle.
(A, B, C) À l’age de 17 ans, soit 5 ans après la pose de l’implant dentaire, un importante béance antérieure et constriction maxillaire (occlusion croisée) se sont développées. Initialement, toutes les dents antérieures étaient en contact. La couronne (*) implanto-portée n’a pas bougé tandis que les autres dents ont migré verticalement et vers l’intérieur créant cette importante malocclusion.
(D) Radiographie montrant le niveau de l’implant (*) par rapport aux autres dents.
Un tel implant ne peut être déplacé en orthodontie et il devra être retiré et remplacé ultérieurement une fois les corrections orthodontiques terminées.
Région postérieure -2
(A) Ce traitement orthodontique visait à replacer les dents inférieures dans le but de remplacer les dents manquantes à l’aide d’implants dentaires. Les dents ont été redressées et l’espace a été ouvert de façon optimale pour recevoir les implants. (B) À la fin de l’orthodontie, les appareils correcteurs (broches) ont été enlevés, sauf vis-à-vis les espaces où une section de fil (flèches) maintient les dents de chaque côté de l’espace afin qu’elles ne se déplacent pas en attendant la pose des implants et des couronnes. Une attelle de rétention fixe régulière maintient les dents antérieures en place. (C) Les implants ont été posés pendant la période de rétention. L’implant inférieur gauche est indiqué par la flèche. (D) Une fois les implants et couronnes posées, il n’est plus nécessaire de garder les sections de fil.
Région postérieure -1
(A) Dents postérieures basculées vers l’avant plusieurs années après la perte d’une molaire chez une femme de 46 ans. (B) Les dents ont été redressées en orthodontie en les reculant vers l’arrière (flèche). Une fois l’espace obtenu, un autre spécialiste (parodontiste ou chirurgien) a posé 2 implants pour remplacer la molaire manquante. (C) Résultat final une fois que le dentiste généraliste a posé les couronnes sur les implants (flèches).
Cas CP -2
(A) Parallélisme de racine et espace inadéquat entre les racines pendant le traitement d’orthodontie. (B) Après quelques mois, les racines sont parallèles et il y a assez d’espace pour la pose d’implants dentaires dans les espaces édentés.
Cas CP -1
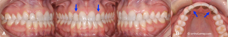
La position trop inclinée des incisives centrales supérieures empêchera la pose d’implants dentaires pour remplacer les incisives latérales manquantes. (A) Avant le traitement : les flèches bleues indiquent les incisives latérales manquantes. (B) Ces incisives latérales sont remplacées par des dents prothétiques collées aux dents adjacentes. (C) Une radiographie panoramique confirme la mauvaise position des incisives centrales. (D) Vue agrandie de la radiographie et implants ajoutés comme simulation. Les pointillés bleus représentent la position idéale que devraient avoir les incisives centrales. (E) Cette patiente a opté pour une technique de broches linguales pour des raisons esthétiques.
Cas CP: Anodontie des incisives latérales et position inadéquate des incisives centrales pour la pose d’implants dentaires.
Femme de 20 ans désirant remplacer ses incisives latérales manquantes à l’aide d’implants dentaires. Ce cas est similaire au précédent; la jeune femme a eu un premier traitement d’orthodontie à l’adolescence, mais la position des racines des incisives centrales supérieures ne permet pas au dentiste de poser des implants convenablement. Afin de maximiser les chances de succès, il a donc recommandé d’avoir recours à l’orthodontie pour mieux aligner les racines des dents antérieures, particulièrement les incisives centrales.
Dans ce type de cas, bien que 2 dents soient principalement visées par ces corrections (les incisives centrales dans le cas ci-dessous et les incisives latérales dans le cas précédent), il est nécessaire de poser des appareils sur au moins les 6 dents antérieures et une dent postérieure pour bien contrôler la mécanique orthodontique et les forces utilisées.
Le plan de traitement vise donc uniquement à changer la position des incisives centrales en inclinant les racines vers le centre.
Lorsque l’orthodontiste croit que les dents sont en bonne position, une vérification radiologique est faite et le patient est dirigé vers le dentiste qui fera la pose des implants pour une vérification finale et approbation des correctifs apportés.
Cas CC -2
Utilisation de radiographies volumiques tridimensionnelles pour évaluer la position des racines des canines et des incisives latérales supérieures en prévision de la pose d’implants dentaires pour remplacer les incisives latérales manquantes (* jaune). (A) Les pointillés rouges indiquent l’axe (inclinaison) des dents avant le traitement et les pointillés bleus représentent la position idéale que devraient avoir les incisives latérales pour permettre la pose d’implants sans interférer avec les racines des dents. (B) Des coupes à la fraction de millimètre près permettent d’évaluer l’os et les racines. (C) Vue en coupe de côté (sagittale). (D) Vue en coupe axiale (vue occlusale) à travers les couronnes et les racines montrant l’espace et l’os entre les dents.
Cas CC
Ponts papillons remplaçant les 2 incisives latérales supérieures. Cette femme de 32 ans a été traitée une première fois en orthodontie à l’adolescence et désire maintenant faire remplacer les ponts papillons (indiqués par des flèches) par des couronnes sur implants dentaires. Ces ponts sont en place depuis plus de 10 ans.
Région antérieure
Cas CC: Anodontie des incisives latérales et position inadéquate des canines pour la pose d’implants dentaires.
Femme de 32 ans avec une absence congénitale (anodontie) des incisives latérales supérieures et ayant eu un traitement d’orthodontie à l’adolescence. Après l’orthodontie, les incisives latérales furent remplacées par divers moyens avant que ce soit des ponts papillons. Elle désire maintenant remplacer ces ponts par des couronnes supportées par des implants dentaires. Cependant, le dentiste planifiant la pose d’implants évalue qu’il n’aura pas l’espace nécessaire entre les racines des canines et des incisives centrales, car les racines des canines sont trop inclinées vers l’espace qui doit recevoir l’implant. La position des incisives centrales est adéquate.
L’évaluation radiographique est essentielle dans la planification de tels cas. Un scan volumique tridimensionnel permet de faire une évaluation complète et précise de la position des dents (racines et couronnes) et de l’os environnant et de planifier précisément les mouvements orthodontiques à faire pour procurer au dentiste l’espace dont il aura besoin pour la pose d’implants.
Le rôle de l’orthodontie dans la planification d’implants dentaires-
Pour bien résister aux forces de mastication et avoir une durée de vie maximale, les implants dentaires doivent être placés de façon précise dans l’os alvéolaire des mâchoires. Les corrections orthodontiques permettent de placer les dents adjacentes aux sites de pose des implants dentaires de façon optimale afin de maximiser les chances de succès.
Implants dentaires antérieurs -2
Par contre l’exemple suivant montre un implant dentaire remplaçant la même incisive supérieure droite mais dans une position complètement inacceptable pour envisager un traitement d’orthodontie permettant d’aligner les dents antérieures supérieures. Cet implant devra être retiré et remplacé par un nouveau dans une meilleure position une fois les corrections orthodontiques terminées. (plus de détails sur ce cas au bas de cette section)