En raison de la pandémie de COVID-19, les dentistes et les orthodontistes ont dû prendre des mesures afin de limiter la propagation du virus dans leurs cliniques. Des protocoles ont donc été mis en place pour la sécurité de tous et de toutes. Cependant, le personnel des cliniques a aussi besoin de votre collaboration.
Nous vous demandons de vous renseigner sur les mesures à suivre lors de votre prochaine visite et de ne pas vous présenter si vous êtes atteint ou atteinte de la COVID-19, si vous avez des symptômes s’apparentant à la COVID-19 ou si vous avez été en contact avec une personne qui est ou pourrait être atteinte de la COVID-19.
Merci de votre compréhension et de votre coopération en ces temps difficiles.
L’équipe Bücco et ses membres dentistes et spécialistes
Sur quels matériaux peut-on coller des attaches orthodontiques?–
Orthodontie et prothèses partielles amovibles–
Dans cet exemple, nous avons utilisé la prothèse partielle amovible d’un patient de 56 ans pendant le traitement d’orthodontie afin de lui permettre d’avoir des incisives supérieures stables pendant son traitement. Ceci nous oblige à faire un peu de contorsions avec notre mécanique orthodontique mais permet au patient d’avoir une solution relativement esthétique pendant son traitement. Il serait très difficile de supporter ces 4 dents prothétiques simplement sur un fil orthodontique avec des boîtiers.
Orthodontie en présence de couronnes et ponts-1
(A et B) Avant le début du traitement d’orthodontie. Le pont comprend une partie centrale suspendue et des attaches sur les dents adjacentes. (C) Radiographie montrant le pont et l’absence de la dent sous ce pont. (D) À la fin du traitement, le pont est intacte et dans la même position. Il aurait été possible de fermer les légers espaces restants si il y avait eu une dent naturelle pouvant être déplacée plutôt qu’un pont fixe et rigide.
Apparition de caries entre des dents antérieures pendant l’orthodontie-4
(A) Tache foncée entre des incisives en rotation (flèche). (B) Après la correction des rotations, quelques points de carie sont visibles et peuvent maintenant être réparés (flèches).
Apparition de caries entre des dents antérieures pendant l’orthodontie-3
(A) Incisives en rotation et se chevauchement légèrement. (B) Une légère tache foncée (carie arrêtée) est visible après la correctino des rotations. (flèche)
Apparition de caries entre des dents antérieures pendant l’orthodontie-2
(A) La rotation d’une centrale et latérale cache une carie sur la face interne de la latérale. (B) Après la correction des rotations, la carie est visible sur la latérale et peut être plus facilement accessible pour le dentiste afin d’être réparer.
Apparition de caries entre des dents antérieures pendant l’orthodontie-1
(A et B) La rotation de deux centrales camoufle une carie entre ces dents. (C) La carie est visible vue de l’intérieur de la bouche. (D) Après les corrections orthodontiques et la réparation de la carie.
Solutions esthétiques pour dents manquantes pendant l’orthodontie-3
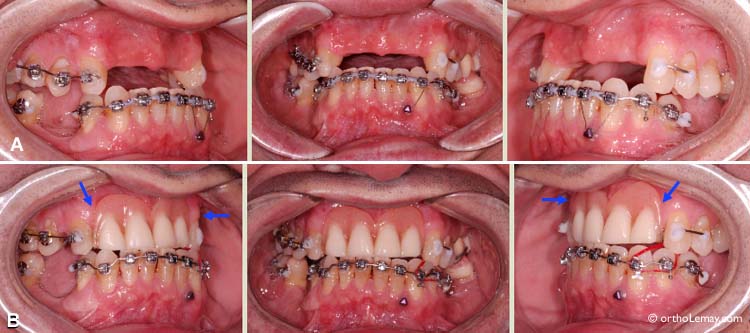
Rétraction de dents antérieures à l’aide de broches linguales iBraces. (A) Condition initiale avec dents antérieures avancées et chevauchées. (B) Une prémolaire a été extraite de chaque côté (flèches bleues) afin de donner l’espace nécessaire pour reculer les dents antérieures. (C) Facettes collées sur les prémolaires (flèches rouges) pour camoufler l’espace d’extraction pendant la rétraction. (D) Après quelques mois, les dents sont partiellement reculées, l’espace d’extraction a diminué et les facettes peuvent être enlevées. Ce cas en cours de traitement n’était pas terminé lors du montage photographique.
Solutions esthétiques pour dents manquantes pendant l’orthodontie-2
(A) Fille de 15 ans avec une latérale supérieure gauche manquante (flèche), (B) Ouverture de l’espace pendant l’orthodontie. (C) Pose d’une dent prothétique sur un bracket attaché sur le fil (arc) pour camoufler l’espace. À mesure que l’espace est ouvert, la dent peut être élargie pour combler l’espace. (D) À la fin du traitement, une dent temporaire peut être fixée sur une attelle de rétention. Ceci joue un rôle esthétique évident mais aussi préserve l’espace jusqu’à ce qu’une solution plus définitive puisse être envisagée (pont fixe, implant dentaire,etc.).