En raison de la pandémie de COVID-19, les dentistes et les orthodontistes ont dû prendre des mesures afin de limiter la propagation du virus dans leurs cliniques. Des protocoles ont donc été mis en place pour la sécurité de tous et de toutes. Cependant, le personnel des cliniques a aussi besoin de votre collaboration.
Nous vous demandons de vous renseigner sur les mesures à suivre lors de votre prochaine visite et de ne pas vous présenter si vous êtes atteint ou atteinte de la COVID-19, si vous avez des symptômes s’apparentant à la COVID-19 ou si vous avez été en contact avec une personne qui est ou pourrait être atteinte de la COVID-19.
Merci de votre compréhension et de votre coopération en ces temps difficiles.
L’équipe Bücco et ses membres dentistes et spécialistes
(A) Incisive latérale droite courte et étroite, absence congénitale (anodontie) de l’incisive latérale gauche. (B) Le contour gingival des incisives centrale et latérale droites furent modifiés pour être plus harmonieux avec les mêmes dents du côté opposé et l’incisive latérale droite fut rebâtie en matériau composite. Un implant dentaire remplace l’incisive latérale gauche. (C) Anodontie des 2 latérales chez une jeune femme de 19 ans. (D) Des ponts fixes en porte-à-faux (“cantilevered bridges”) ancrés sur les canines remplacent les incisives latérales.
Restaurations dentaires en amalgame sur plusieurs dents postérieures
(A) Restaurations dentaires en amalgame sur plusieurs dents postérieures. (B) Ces restaurations ont été remplacées par du composite avant le début des corrections orthodontiques afin d’éliminer plusieurs obturations défectueuses.
Ponts papillons–
Ponts papillons remplaçant les 2 latérales supérieures. Ce ponts sont en place depuis plus de 10 ans.
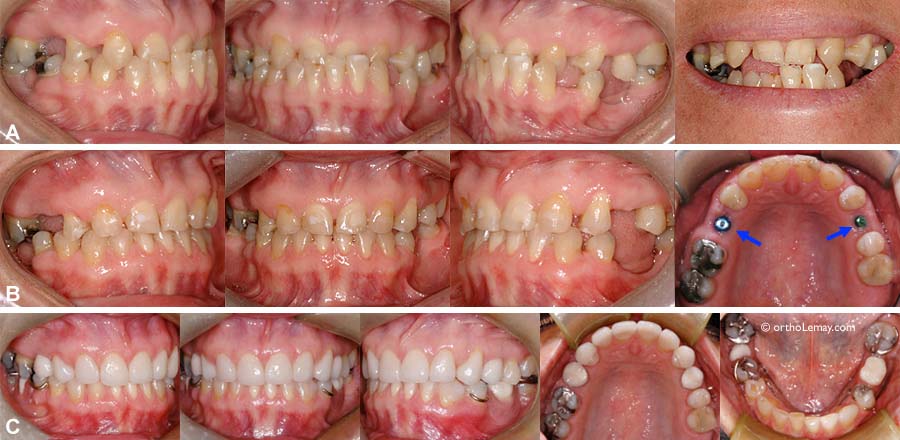
Sévère malocclusion avec déséquilibre des mâchoires, plusieurs dents manquantes et signes d’usure.
(A) Sévère malocclusion avec déséquilibre des mâchoires, plusieurs dents manquantes et signes d’usure. (B) Après l’orthodontie, la position des dents est adéquate mais il y a plusieurs espaces restants et des dents usées et inégales. Les flèches indiquent des implants dentaires qui ont été posés pour supporter des couronnes. (C) Après la phase restaurative où le dentiste a fait plusieurs facettes, couronnes sur implants et une prothèse partielle amovible inférieure.
Adulte présentant une dentition “mutilée” (caries, dents fracturée et extraites)
Adulte présentant une dentition “mutilée” (caries, dents fracturée et extraites). L’orthodontie a préparé la dentition pour que le dentiste puisse faire des restaurations adéquates (couronnes et ponts).
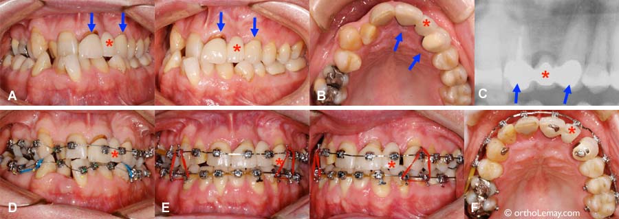
Cette femme de 45 ans désirait améliorer son sourire
Cette femme de 45 ans désirait améliorer son sourire. Elle présentait une malocclusion caractérisée par du chevauchement dentaire (rotations, manque d’espace, dents inclinées, etc. ) (A et E) Sourire et dentition avant les corrections orthodontiques. On remarque que la centrale supérieure droite est plus étroite que celle de gauche. (B et F) Sourire et occlusion après l’orthodontie. Des espaces ont été laissés volontairement pour permettre au dentiste de faire des facettes de dimensions plus proportionnées. L’orthodontiste a travaillé en collaboration avec le dentiste afin de déterminer la position finale des dents. (C, D et G) Résultat final avec 4 facettes sur les incisives supérieures.
2 ponts papillons avec des dents en porcelaine
un homme de 60 ans ayant une malocclusion sévère et une dentition mutilée
Peut-on coller des attaches orthodontiques sur la porcelaine?–
Implant dentaire sur une incisive centrale supérieure (*) posé avant un traitement d”orthodontie.
Implant dentaire sur une incisive centrale supérieure (*) posé avant un traitement d”orthodontie.