En raison de la pandémie de COVID-19, les dentistes et les orthodontistes ont dû prendre des mesures afin de limiter la propagation du virus dans leurs cliniques. Des protocoles ont donc été mis en place pour la sécurité de tous et de toutes. Cependant, le personnel des cliniques a aussi besoin de votre collaboration.
Nous vous demandons de vous renseigner sur les mesures à suivre lors de votre prochaine visite et de ne pas vous présenter si vous êtes atteint ou atteinte de la COVID-19, si vous avez des symptômes s’apparentant à la COVID-19 ou si vous avez été en contact avec une personne qui est ou pourrait être atteinte de la COVID-19.
Merci de votre compréhension et de votre coopération en ces temps difficiles.
L’équipe Bücco et ses membres dentistes et spécialistes
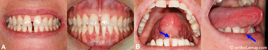
Une frénectomie fermera-t-elle un diastème important? (1)
Cette femme a fait faire une frénectomie labiale dans l’espoir qu’un important diastème supérieur entre les centrales se referme par lui-même, du moins c’est ce qu’elle s’était fait dire. Des années après l’intervention, elle attend toujours la fermeture de l’espace et s’est résolue à faire des corrections orthodontiques pu fermer l’espace! Les flèches indiquent l’ancienne base du frein.
La controverse concernant la frénectomie supérieure (3)
(A) Ce jeune garçon a un diastème important depuis la sortie de ses dents temporaires. Il a maintenant 7 ans. Le frein labial indiqué par les flèches n’est pas la cause de l’espace entre les centrales et le couper ne changerait rien à l’espace.
(B) Une vue de l’arcade supérieure montre la papille palatine (indiquée par la flèche)qui est une structure normale différente du frein labial.
(C) Le frein ne cause pas de problème de mobilité de la lèvre.
(D) Une autre vue qui montre l’attache du frein qui rejoint presque la papille palatine.
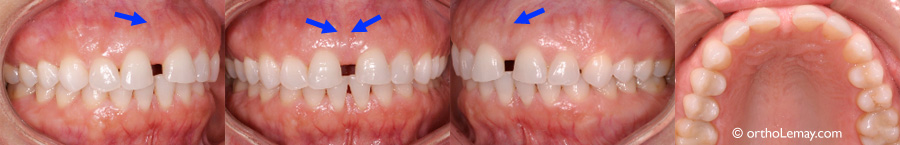
La controverse concernant la frénectomie supérieure (2)
Autre exemple ou la simple éruption des canines supérieures (flèches rouges en C et D) a contribué à la fermeture d’un espace entre les incisives centrales (flèche bleue) et ce, sans qu’une frénectomie soit nécessaire.
La controverse concernant la frénectomie supérieure (1)
Les canines suivent les racines des latérales dans leur parcours d’éruption normal et peuvent fermer l’espace entre les centrales sans aucune autre intervention. Il est préférable d’attendre la sortie des canines avant d’envisager une frénectomie labiale en présence d’un diastème. (Broadbent 1937)
Exemple de la fermeture d’un diastème entre des centrales supérieures suite à l’éruption des canines permanentes. (A) à l’âge de 8.9 ans, ce garçon présente un diastème important et un frein labial qui s’attache entre les centrales. (B) Près de 5 ans plus tard (13.5 ans) les canines permanentes sont sorties et ont contribué à fermer le diastème en déplaçant les incisives vers le centre. Aucune frénectomie n’a été faite.
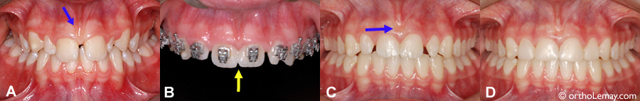
Le frein labial (2)
(A) Frein labial (flèche) associé à un diastème entre les centrales supérieures.
(B) L’espace entre les centrales a tout d’abord été fermé en orthodontie.
(C) Résultat à la fin du traitement et après une frénectomie. Les espaces restants sont dûs à des latérales étroites.
(D) Les latérales ont été élargies par le dentiste, ce qui contribuera à la stabilité de l’espace fermé.
Le frein labial (1)
(A) En présence d’un diastème entre les centrales supérieures (flèche).
(B) Il est préférable de fermer l’espace entre les dents avant d’envisager une frénectomie.
(C) Après la fermeture d’un tel espace, il est indiqué de poser une attelle de rétention pour le garder fermer.
Traitement : Frénotomie et frénectomie (2)
(A) Langue attachée par un frein court.
(B) Après une frénectomie, la mobilité de la langue est augmentée.
Traitement : Frénotomie et frénectomie (1)
(A) Frein lingual court réduisant la mobilité de la langue chez une adolescente de 13 ans.
(B) Immédiatement après une frénectomie l’aide d’un laser à tissus mous, la langue est “libérée” et l’amplitude des mouvements est augmentée significativement. Cette procédure rapide est faire sous anesthésie locale et ne produit pratiquement aucun saignement.
(C) Avant la frénectomie; la langue courbe vers le bas lors de l’extension.
(D) Une fois le frein coupé, la propulsion de la langue est facilitée.
(E) 7 jours après la frénectomie, une zone blanche de cicatrisation est visible, ce qui est normal et signe d’une bonne guérison.Cette intervention fut faite à l’aide d’un laser à tissus mous.
Les conséquences fonctionnelles
Femme de 35 ans a été traitée en orthodontie il y a plusieurs années.
(A) Après quelques temps, des espaces sont ré-apparus progressivement entre les incisives supérieures et inférieures. La langue, qui dans ce cas exerce une légère pression constante contre les dents, contribue probablement au déplacement des dents vers l’avant et l’apparition des espaces. De plus, le frein lingual qui est court affecte la position de la langue et contribue aussi à l’apparition d’un espace entre les centrales inférieures.
(B) Lorsque le langue est étirée vers l’avant, le frein s’insère entre les dents. Une frénectomie linguale pourrait aider à ce que la langue retrouve une position plus normale.