En raison de la pandémie de COVID-19, les dentistes et les orthodontistes ont dû prendre des mesures afin de limiter la propagation du virus dans leurs cliniques. Des protocoles ont donc été mis en place pour la sécurité de tous et de toutes. Cependant, le personnel des cliniques a aussi besoin de votre collaboration.
Nous vous demandons de vous renseigner sur les mesures à suivre lors de votre prochaine visite et de ne pas vous présenter si vous êtes atteint ou atteinte de la COVID-19, si vous avez des symptômes s’apparentant à la COVID-19 ou si vous avez été en contact avec une personne qui est ou pourrait être atteinte de la COVID-19.
Merci de votre compréhension et de votre coopération en ces temps difficiles.
L’équipe Bücco et ses membres dentistes et spécialistes
Lorsqu’un diastème important est présent avant un traitement d’expansion maxillaire, ce diastème augmentera significativement. Après l’expansion, il pourra être refermé à l’aide de à l’aide de quelques boîtiers et un élastique.
Fermeture d’espaces et de diastèmes (3)
Parfois la fermeture d’un diastème peut être assez simple.
(A) Patient ayant une excellente occlusion et bon alignement général des dents. Il désirait fermer l’espace entre les centrales supérieures qu’il trouvait inesthétique.
(B) La correction fut faite à l’aide d’attaches de la couleur des dents et d’un élastique permanent transparent qui rapproche les dents. Le tout est pratiquement invisible.
(C) Après 10 jours l’espace est fermé et les centrales se touchent. Les attaches peuvent alors être enlevées.
(D) Une fois la correction terminée, il est nécessaire de coller une attelle de rétention sur la face interne des dents afin de prévenir l’ouverture de l’espace à nouveau.
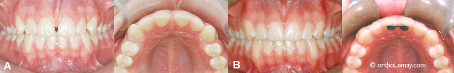
Fermeture d’espaces et de diastèmes (2)
(A) Bonne occlusion générale mais présence d’un espace important entre les centrales supérieures.
(B) Après la fermeture de l’espace, une attelle de rétention est posée sur la face interne pour prévenir la ré-ouverture de l’espace en stabilisant les dents.
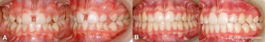
Fermeture d’espaces et de diastèmes (1)
(A) Avant les corrections; présence d’un espace de 3.5 mm entre les centrales supérieures.
(B) Après la fermeture du diastème.
Le frein labial inférieur (1)
Le frein labial inférieur peut aussi être problématique lorsqu’il s’attache près du bord de la gencive et exerce une tension vers le bas pendant la fonction. Ceci peut causer du déchaussement localisé. Cet homme de 66 ans a une qualité de gencive excellente sauf à l’endroit où le frein de la lèvre exerce une tension sur la bordure de la gencive et cause une récession gingivale.
Frénectomie modifiée vs diastème (2)
Dans l’approche modifiée, la frénectomie laisse la papille gingivale intacte réduisant ainsi les chances d’avoir du tissus cicatriciel présent entre les incisives après l’intervention. (D’après C. Baker, 2008). Cette technique ne causera pas la fermeture spontanée d’un diastème et une intervention orthodontique est tout aussi indiquée. Pour les mêmes raisons décrites précédemment, il n’est pas indiqué de faire une telle intervention en bas âge avant la sortie des canines permanentes (Énoncé de l’Amer. Assoc. Ortho, 1991).
Frénectomie modifiée vs diastème (1)
Illustration des étapes de la technique originale de frénectomie labiale telle que préconisée par Edwards en 1977 dans laquelle les tissus du frein labial sont excisés jusqu’au périoste recouvrant l’os. L’os alvéolaire est aussi dénudé par l’excision du périoste suivi d’une « destruction » des fibres parodontales trans-septales (entre les dents). (Edwards, 1977).
Histoire de cas (1)
(A) Bonne occlusion générale. Diastème de près de 5 mm entre les centrales supérieures. Le flèches indiquent les cicatrices résultant des frénectomies qui ont été faites par le passé.
(B) Vue occlusale de l’alignement de l’arcade supérieure et de l’espace antérieur.
Une frénectomie fermera-t-elle un diastème important? (3)
Frénectomie inutile
(A) Cette adolescente de 15 ans a subit une frénectomie de la lèvre supérieure mais cela n’a eu aucun effet sur la largeur du diastème entre les centrales.
(B) Vue occlusale. À noter que dans ce cas, une partie de l’espace peut s’expliquer par la présence de latérales qui sont légèrement étroites.
Cette adolescente de 16 ans présente une excellente occlusion (aucun traitement orthodontique) mais un diastème important (4.5 mm) entre les centrales supérieures qui est un handicap esthétique pour elle.
Elle a eu une frénectomie à 2 reprises; une première fois vers l’âge de 5-6 ans et une seconde fois quelques années plus tard dans l’espoir qu’il y ait fermeture du diastème. Cela n’a eu aucun effet sur l’espace présent.
La dimension des incisives supérieures est un peu réduite par rapport à ce qu’elle devrait être idéalement pour combler tout l’espace antérieur de sorte que, même si les centrales sont rapprochées, il restera une partie de l’espace qui devra être comblée par des restaurations dentaires pour donner aux dents une dimension idéale. Pour voir des exemples.
La meilleure façon de fermer un espace aussi important tout en préservant la bonne position des autres dents est avec des appareils fixes (boîtiers, brakets, multibagues) car cela donne un meilleur contrôle tri-dimensionnel de la position des dents.
Une frénectomie fermera-t-elle un diastème important? (2)
Cette jeune fille de 12 ans a eu une frénectomie à 2 reprises suite aux recommandations d’un ORL afin de fermer un diastème de façon spontanée. Aucune fermeture ne s’est produite. Les flèches indiquent les légères cicatrices laissées par les interventions. Maintenant que les canines permanentes sont sorties, il n’y a plus d’espoir de fermeture spontanée des espaces inter-dentaires.