En raison de la pandémie de COVID-19, les dentistes et les orthodontistes ont dû prendre des mesures afin de limiter la propagation du virus dans leurs cliniques. Des protocoles ont donc été mis en place pour la sécurité de tous et de toutes. Cependant, le personnel des cliniques a aussi besoin de votre collaboration.
Nous vous demandons de vous renseigner sur les mesures à suivre lors de votre prochaine visite et de ne pas vous présenter si vous êtes atteint ou atteinte de la COVID-19, si vous avez des symptômes s’apparentant à la COVID-19 ou si vous avez été en contact avec une personne qui est ou pourrait être atteinte de la COVID-19.
Merci de votre compréhension et de votre coopération en ces temps difficiles.
L’équipe Bücco et ses membres dentistes et spécialistes
(A) Les incisives supérieures qui étaient avancées ont été reculées mais se retrouvent maintenant derrière les incisive inférieures (relation ‘occlusion croisée antérieure). Ceci n’est pas volontaire mais indique que le patient a bien porté ses élastiques. Cette anomalie peut être facilement corrigée en modifiant la mécanique orthodontique.
(B) Après les correctifs deux mois plus tard, les incisives supérieures sont replacées à l’avant de celles du bas mais… un espace s’est créé entre les centrales supérieures. Ceci est un effet secondaire de l’avancement des incisives. Cet espace non désirable peut inquiéter le patient mais peut être fermé facilement en quelques semaines.
dent + force = mouvement
Le parodonte et le déplacement des dents
Avec l’utilisation d’une mécanique et des forces appropriées, il est possible de déplacer des dents sur des distances importantes (jusqu’à plus de 10 mm), comme dans ce cas où des molaires ont été avancées pour fermer un espace.
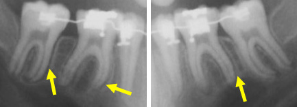
Le parodonte et le déplacement des dents
Lorsque les dents commencent à se déplacer, la zone du ligament parodontal (autour des dents) visible sur une radiographie et devient plus large (ligne foncée le long des racines). La ligne plus pâle est une couche d’os alvéolaire plus dense.
Le parodonte et le déplacement des dents
Le ligament parodontal est une structure très importante dans le déplacement des dents en orthodontie et la stabilité des dents en général.
(A) Il contient des fibres qui attachent la racine des dents à l’os alvéolaire qui l’entoure. L’espace ligamentaire entre la dent et la racine (0,25 mm) permet de légers mouvements des dents lorsqu’une force ou pression est appliquée sur les dents (mastication, serrement de dents, etc.).
(B) De petits vaisseaux sanguins (capillaires) irriguent et nourrissent l’os et le ligament. Des cellules spécialisées enlèveront de l’os à certains endroits et en déposeront en d’autres endroits, ce qui permet de déplacer les dents en orthodontie sur des distances de plusieurs millimètres. ((B) Capillaires du ligament parodontal d’un jeune lapin – Kronka 2001)
Quand pourrez-vous voir des changements dans la position de vos dents?
(A) Position des dents lors de la pose des appareils (“broches”).
(B) Lors de la seconde visite, après seulement 10 semaines, l’alignement et la position des dents se sont significativement améliorés.
Une autre preuve intéressante et originale de l’importance du sourire-colgate
Espaces inférieurs, anodontie d’incisives-1
(A) L’absence congénitale (hérédité) de deux incisives inférieures (flèche (B)) créé des espaces importants qui sont inesthétiques. (B) Vue occlusale (dessus). (C) Après les corrections orthodontiques, les espaces ont été fermés de façon symétrique et une fonction optimale est rétablie.
Fermeture d’espaces et de diastèmes (5)
Fermeture d’un diastème de 5 mm en 5 mois chez une fille de 16 ans
(A) Une frénectomie labiale avait été faite auparavant à deux reprises dans l’espoir que le diastème se referme, ce qui était impossible.
(B) Pose des appareils fixes multi-bagues.
(C) Après 5 mois de corrections orthodontiques.
(D) Après l’enlèvement des appareils et qu’une gingivectomie ait été faite entre les incisives centrales.