En raison de la pandémie de COVID-19, les dentistes et les orthodontistes ont dû prendre des mesures afin de limiter la propagation du virus dans leurs cliniques. Des protocoles ont donc été mis en place pour la sécurité de tous et de toutes. Cependant, le personnel des cliniques a aussi besoin de votre collaboration.
Nous vous demandons de vous renseigner sur les mesures à suivre lors de votre prochaine visite et de ne pas vous présenter si vous êtes atteint ou atteinte de la COVID-19, si vous avez des symptômes s’apparentant à la COVID-19 ou si vous avez été en contact avec une personne qui est ou pourrait être atteinte de la COVID-19.
Merci de votre compréhension et de votre coopération en ces temps difficiles.
L’équipe Bücco et ses membres dentistes et spécialistes
Caractéristiques du cas et progression du traitement-1
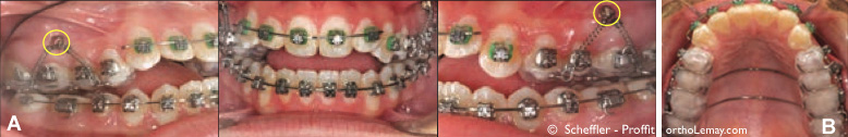
Fig (4) – Après 10 mois de traitement, les dents sont alignées (correction des rotations et du chevauchement dentaire) et les mini-vis d’ancrage furent posées. (A) Appareils orthodontiques en bouche avec les mini-vis d’ancrage indiquées par les cercles jaunes. Des ressorts de traction sont attachées entre les vis et des crochets sur l’appareil d’ancrage collé aux dents (visible en (B)). L’appareil d’ancrage et les mini-vis d’ancrage peuvent être utilisées sans la pose de brackets. Lors de la pose de l’appareil d’ancrage, la béance antérieure semblera augmenter à cause de l’épaisseur de plastique (acrylique) entre les dents mais ceci se corrigera à mesure que l’ingression des dents postérieures se produira et la béance antérieure fermera.
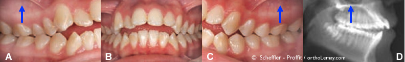
Impaction maxillaire à l’aide de mini-vis d’ancrage-3
Fig (3) – Importante béance antérieure et constriction maxillaire (mâchoires étroites). Les flèches indiquent le mouvement d’ingression nécessaire sur les dents postérieures pour diminuer la béance antérieure. (D) Radiographie céphalométrique montrant la béance et le contact seulement entre les dents postérieures.
Impaction maxillaire à l’aide de mini-vis d’ancrage-2
Fig. 2 (A, B, C) – Vue occlusale de 3 types d’appareils utilisés avec des mini-vis d’ancrage pour intruder les dents postérieures. (B) Ce type d’appareil permet aussi d’exercer une traction antérieure sur la dentition maxillaire (flèches) et est utilisé pour traiter des cas de béance antérieure nécessitant aussi la correction d’une Classe 2 modérée à sévère. Quatre ressorts de 15o g sont alors attachés à des mini-vis insérées dans le palais. (C) Si la béance est accompagnée d’une malocclusion Classe 3 modérée à sévère, cet appareil peut être utilisé. Deux ressorts de 250 g sont attachés à une mini-vis d’ancrage au milieu du palais.
Impaction maxillaire à l’aide de mini-vis d’ancrage-1
Fig. 1 – Exemples de mini-vis d’ancrage (cercles jaunes) utilisées pour servir d’ancrage à des ressorts qui “intrudent” ou remontent les dents postérieures (flèches bleues) et aident à corriger une béance antérieure. Les ressorts sont aussi attachés sur un appareil intra-oral fixe.
Résultat final-4
(A) Sourire gingival avec 1 cm de gencive apparente avant l’intrusion ou ingression orthodontique. (B) à la fin du traitement. (C) Après la pose d’une facette sur une centrale. A noter qu’une procédure chirurgicale fut faite pour modifier le menton (génioplastie).
Résultat final-3
(A) Dentition pendant le traitement, (B) à la fin du traitement et (C) après que la gencive ait été taillée au laser pour lui donner un meilleur contour et qu’une facette ait été faite par le dentiste sur la centrale supérieure droite.
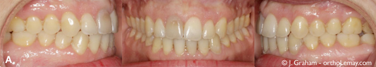
Résultat final-2
Dentition et occlusion finales
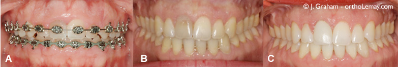
Résultat final-1
Changements au niveau du profil (A), vue de face (B) et en souriant (C) après l’orthodontie. Le sourire gingival est disparu!
Tomodensitométrie volumique à faisceau conique (TVFC) initial et final-1
Changements verticaux dans la position des dents visibles sur un scan 3D ( tomodensitométrie volumique à faisceau conique (TVFC) ) avant et après le traitement d’ingression.
Radiographies et tomodensitométrie volumique à faisceau conique (TVFC)-1
Images provenant d’une tomodensitométrie volumique à faisceau conique (TVFC) montrant la position des mini-vis d’ancrage indiquées par les flèches (A) Vues du côté droit, centre et gauche. (B) Vue occlusale montrant les mini-vis positionnées entre les racines.