En raison de la pandémie de COVID-19, les dentistes et les orthodontistes ont dû prendre des mesures afin de limiter la propagation du virus dans leurs cliniques. Des protocoles ont donc été mis en place pour la sécurité de tous et de toutes. Cependant, le personnel des cliniques a aussi besoin de votre collaboration.
Nous vous demandons de vous renseigner sur les mesures à suivre lors de votre prochaine visite et de ne pas vous présenter si vous êtes atteint ou atteinte de la COVID-19, si vous avez des symptômes s’apparentant à la COVID-19 ou si vous avez été en contact avec une personne qui est ou pourrait être atteinte de la COVID-19.
Merci de votre compréhension et de votre coopération en ces temps difficiles.
L’équipe Bücco et ses membres dentistes et spécialistes
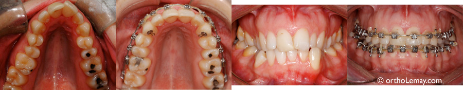
Expansion et changement de la forme des arcades obtenus à l’aide des “broches”.
Expansion/Élargissement des arcades
Fille de 15 ans.
Constriction de l’arcade supérieure.
Tendance à l’occlusion croisée.
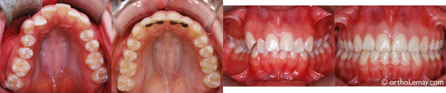
Expansion/Élargissement des arcades
Femme de 31 ans.
Expansion réalisée sans chirurgie ou appareil d’expansion.
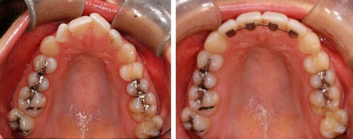
Expansion/Élargissement des arcades
Expansion maxillaire significative sans appareil d’expansion ou chirurgie chez un jeune homme de 25 ans
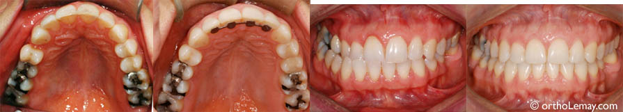
(A) Malocclusion présentant de l’encombrement dentaire important et une constriction des 2 arcades.
(B) L’arcade maxillaire très étroite est en forme de “V”. La ligne bleue représente la distance entre les premières prémolaires et la jaune celle entre les molaires.
(C) Après l’expansion dento-alvéolaire à l’aide de “broches” et élastiques. Les 2 lignes sont identiques aux précédentes et permettent d’apprécier l’expansion obtenue, principalement dans la région des prémolaires.
(D) Excellente stabilité de l’expansion 4 ans après la fin du traitement orthodontique. Il n’y a eu pratiquement aucune perte de largeur ou constriction l’arcade supérieure.
Rétention-3
Visage et sourire de la patiente de 13 ans (A) avant le traitement, (B) après 10 mois, lors de la pose des mini-vis, (C) 6 mois plus tard, (D) fin du traitement actif (enlèvement des appareils correcteurs) après 20.5 mois de traitement et (D) 18 mois après la fin du traitement.
Rétention-2
(A et B) 18 mois après la fin des corrections, l’occlusion demeure stable et la béance antérieure est toujours fermée.
Rétention-1
(A) Appareil de rétention avec crochets et élastiques tirant (flèches bleues) vers mini-vis (cercles jaunes) et un écran oral (flèches rouge) servant à contenir la langue. Vue différente de cet appareil en (C) où l’on peut voir les crochets permettant d’attacher les élastiques (flèches jaunes). (B) Appareil de contention similaire mais sans crochets pour le port d’élastiques. Un tel appareil peut être porté après 6 mois lorsque les élastiques ne sont plus nécessaires.
Caractéristiques du cas et progression du traitement-3
Rétention / Contention (A) À la fin des corrections orthodontiques, (20.5 mois) les appareils multi-bagues ont enlevés mais les mini-vis d’ancrage sont laissées en place (flèches) pour servir à retenir l’appareil de rétention amovible pour une période de 6 mois. Après ce délai, les mini-vis sont enlevées mais la patiente continue de porter l’appareil de rétention amovible indéfiniment la nuit seulement. (B) Un fil de rétention collé est aussi utilisé sur la surface interne des incisives supérieures et inférieures.
Caractéristiques du cas et progression du traitement-2
(A) Après l’intrusion es postérieures , la béance antérieure est fermée et il y a maintenant des contacts entre les dents antérieures . À noter que le mini-vis d’ancrage demeurent en bouche car elles seront utilisées pendant la rétention. (B) Vue occlusale; l’appareil d’ancrage a été retiré car il n’a plus d’utilité.