En raison de la pandémie de COVID-19, les dentistes et les orthodontistes ont dû prendre des mesures afin de limiter la propagation du virus dans leurs cliniques. Des protocoles ont donc été mis en place pour la sécurité de tous et de toutes. Cependant, le personnel des cliniques a aussi besoin de votre collaboration.
Nous vous demandons de vous renseigner sur les mesures à suivre lors de votre prochaine visite et de ne pas vous présenter si vous êtes atteint ou atteinte de la COVID-19, si vous avez des symptômes s’apparentant à la COVID-19 ou si vous avez été en contact avec une personne qui est ou pourrait être atteinte de la COVID-19.
Merci de votre compréhension et de votre coopération en ces temps difficiles.
L’équipe Bücco et ses membres dentistes et spécialistes
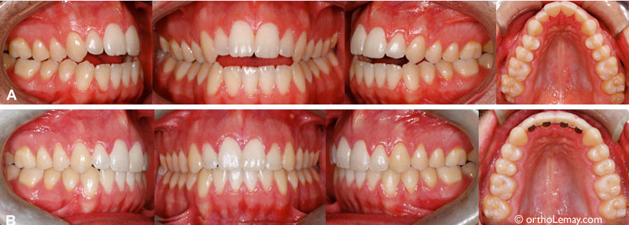
Béances antérieures, caractéristiques de la malocclusion
(A) Adolescent de 16 ans avec une béance antérieure sévère.
(B) Résultat du traitement orthodontique (19 mois) sans chirurgie ou extractions.
(C) L’esthétique et la fonction sont grandement améliorées.
Béances antérieures – Caractéristiques de la malocclusion
Béance antérieure légère, chevauchement dentaire, arcade supérieure étroite. Traitement sans chirurgie, appareil d’expansion ou extractions. (Femme de 26 ans)
Béances antérieures, caractéristiques de la malocclusion
Arcade supérieure très étroite, en forme de “V”, constriction sévère de la mâchoire supérieure, béance antérieure légère chez une femme de 45 ans. Traitement : extraction d’une prémolaire (*) pour corriger l’asymétrie à l’arcade du haut. Expansion maxillaire obtenue avec les “broches”, sans chirurgie ou autre appareil.
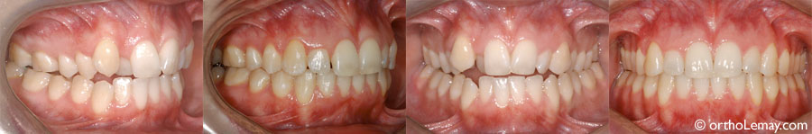
Béances antérieures, caractéristiques de la malocclusion
Jeune homme de 20 ans, arcades étroites, béance antérieure. Durée du traitement: 12 mois.
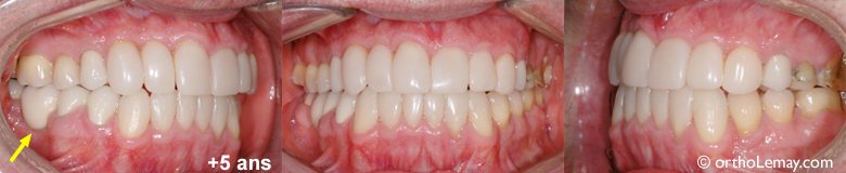
Béances antérieures, caractéristiques de la malocclusion
Près de 5 ans après la fin du traitement, la stabilité de la béance est excellente. Le pont remplaçant la molaire inférieure droite a été fait (flèche) ainsi que quelques facettes et couronnes pour améliorer l’esthétique de certaine dents.
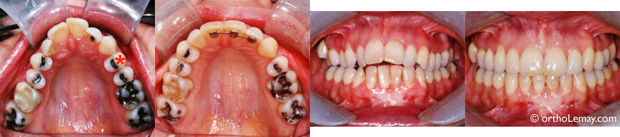
Béances antérieures, caractéristiques de la malocclusion
Après le traitement, les dents antérieures se touchent et sont plus fonctionnelles. Des boîtiers maintiennent l’espace inférieur où la dent a été extraite jusqu’à ce qu’elle soit remplacée par le dentiste. Durée du traitement : 23 mois (sans chirurgie).
Béances antérieures
Fermeture d’une béance antérieure modérée chez une adulte de 26 ans. Durée du traitement : 12 mois (voir la vidéo ci-dessous pour visionner le traitement en accéléré).
Les béances au fil du temps
Les béances peuvent persister tout au cours de la vie comme le démontre cette malocclusion chez une femme de 42 ans. Elle présente une béance antérieure associée à une position de langue anormale et et une déglutition atypique. Il existe un écart horizontal de plus de 1 cm entre les incisives supérieures et inférieures.
Les effets de la suce à long terme
Ce jeune garçon utilise encore une suce jour et nuit à l’âge de 4 ans et demi. Son occlusion présente une importante béance antérieure. L’utilisation chronique de cette suce est en grande partie responsable de cette béance.
(A) Béance antérieure importante chez une jeune fille de 3 ans qui suce son pouce et une suce.
(B) Seulement 3 mois après avoir arrêté ces habitudes, on peut remarquer une diminution significative de la béance antérieures même si elle persiste.
La langue : un muscle puissant (4)
(A-B) Jeune de 9 ans avec une béance antérieure importante et une position de langue interposée entre les dents antérieures au repos, ce qui contribue à maintenir de espaces inter-dentaires.
(C) Lorsque la langue est gardée l’arrière, on remarque les espaces entre les dents.
(D) Une vue en plongée montre l’écart important entre les 2 arcades.