En raison de la pandémie de COVID-19, les dentistes et les orthodontistes ont dû prendre des mesures afin de limiter la propagation du virus dans leurs cliniques. Des protocoles ont donc été mis en place pour la sécurité de tous et de toutes. Cependant, le personnel des cliniques a aussi besoin de votre collaboration.
Nous vous demandons de vous renseigner sur les mesures à suivre lors de votre prochaine visite et de ne pas vous présenter si vous êtes atteint ou atteinte de la COVID-19, si vous avez des symptômes s’apparentant à la COVID-19 ou si vous avez été en contact avec une personne qui est ou pourrait être atteinte de la COVID-19.
Merci de votre compréhension et de votre coopération en ces temps difficiles.
L’équipe Bücco et ses membres dentistes et spécialistes
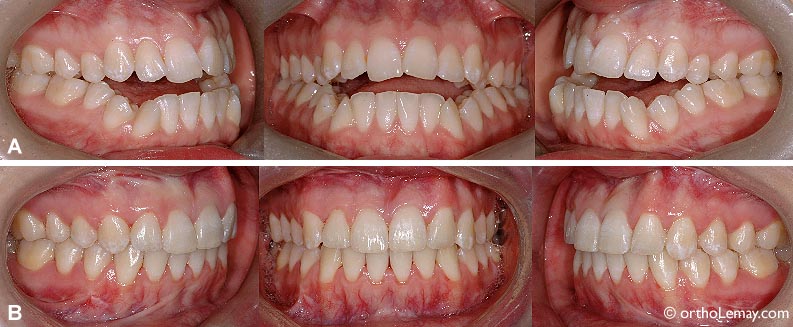
(A) Avant le traitement. (B) À la fin du traitement. (C) Radiographie panoramique avant le traitement; les flèches indiquent quelques unes des dents les plus sévèrement affectées par la rhizalyse. (D) Radiographie panoramique à la fin du traitement. Cette radiographie numérique est de meilleure qualité car nous avons changé d’appareil radiologique pendant la durée du traitement. La radiographie initiale est sur film et moins précise et de moins bonne résolution. Le patient n’a perdu aucune de ses dent et elles sont aussi solides (ou peu solides!) qu’avant le traitement.
Terminologie pour décrire la relation des dents antérieures
Développement de la dentition et de l’occlusion avec un stage de béance antérieure entre l’âge de 5 et 12 ans. À 6 ans 10 mois, les les centrales inférieures permanentes font leur éruption. À 7.5 ans, il y a une béance antérieure importante. Par la suite, à mesure que les incisives permanentes font leur éruption, la béance diminue pour finalement disparaître.
Cependant, une béance doit être considérée comme anormale lorsqu’elle persiste au-delà d’un stage de développement dentaire où les dents doivent normalement avoir fait éruption.
➡ Pour en savoir plus sur l’éruption normale des dents, le développement dentaire et certaines anomalies d’éruption.
Terminologie pour décrire la relation des dents antérieures
Changement dans le profil du visage suite à l’orthodontie et la chirurgie; la lèvre supérieure est avancée, les lèvres se touchent et le visage est mieux équilibré.
Béance antérieure (open bite)
Caractéristiques de la malocclusion
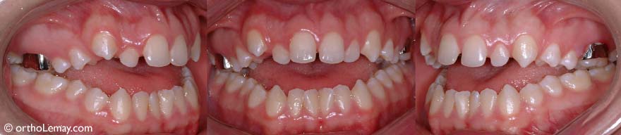
Femme de 22 ans présentant une sévère béance antérieure occasionnant des problèmes fonctionnels (mastication et élocution) et esthétique.
Déséquilibre entre les mâchoire corrigé par chirurgie; avancement de la mâchoire supérieure et recul de la mandibule.
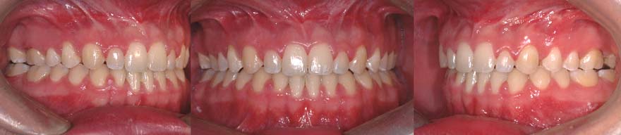
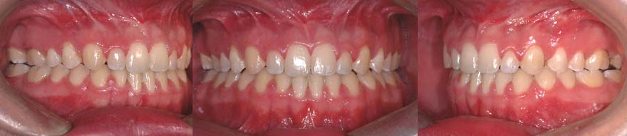
(A) Avant le traitement; pas de contacts entre les dents antérieures et les dents inférieures mordent devant celles du bas.
(B) Après l’orthodontie et une chirurgie aux mâchoires.
Une mécanique particulière
(A) Autre exemple d’utilisation d’élastiques verticaux utilisés pour aider à fermer une béance antérieure. Des blocs occlusaux sont aussi utilisés sur les dents inférieures postérieures (en bleu et indiqués par les flèches).
(B) Résultat après la fermeture de la béance et l’obtention d’un surplomb vertical adéquat.
(A) Élastiques verticaux croisés (accrochés à l’intérieur sur les côtés) visant à élargir l’arcade dentaire et un élastique vertical avant visant à rapprocher les incisives.
(B) Après 8 semaines, la béance antérieure a fermé de façon significative et l’arcade commence à élargir.
Béance antérieure sévère corrigée par orthodontie et chirurgie
Fermeture de la béance antérieure suite à l’orthodontie et une chirurgie aux mâchoires. Il en résulte une meilleure fonction (mastication et phonétique).
Béance antérieure sévère corrigée par orthodontie et chirurgie
Sévère béance antérieure ayant requis une chirurgie pour corriger le déséquilibre important entre les mâchoires (garçon de 17 ans).
Fermeture de la béance antérieure suite à l’orthodontie et une chirurgie aux mâchoires. Il en résulte une meilleure fonction (mastication et phonétique).