En raison de la pandémie de COVID-19, les dentistes et les orthodontistes ont dû prendre des mesures afin de limiter la propagation du virus dans leurs cliniques. Des protocoles ont donc été mis en place pour la sécurité de tous et de toutes. Cependant, le personnel des cliniques a aussi besoin de votre collaboration.
Nous vous demandons de vous renseigner sur les mesures à suivre lors de votre prochaine visite et de ne pas vous présenter si vous êtes atteint ou atteinte de la COVID-19, si vous avez des symptômes s’apparentant à la COVID-19 ou si vous avez été en contact avec une personne qui est ou pourrait être atteinte de la COVID-19.
Merci de votre compréhension et de votre coopération en ces temps difficiles.
L’équipe Bücco et ses membres dentistes et spécialistes
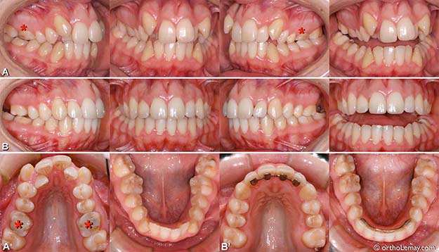
Exemple de traitement de malocclusion classe 2 (3)
(A, A’) Sévère Malocclusion classe 2 chez une femme de 23 ans avec chevauchement dentaire important, maxillaire étroit, occlusion croisée. Traitement d’orthodontie avec extraction des premières molaires supérieures qui étaient sévèrement endommagées (indiquées par un * rouge en “A” et “A’ “.
(B, B’) Expansion de l’arcade supérieure, les espaces d’extractions sont fermés, les canines sont devenue fonctionnelles.
➡ Pour voir l’évolution de ce cas pendant le traitement d’orthodontie.
Exemple de traitement de malocclusion classe 2 (2)
Fille de 12 ans.
(A) Malocclusion classe 2 avec chevauchement dentaire, surplomb vertical excessif et importante déviation des lignes médianes.
(B) Corrections orthodontiques; élimination du chevauchement par expansion des arcades dentaires, diminution de l’overbite et correction des lignes médianes.
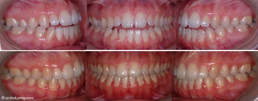
Exemple de traitement de malocclusion classe 2 (1)
Adolescente de 12 ans.
(A) Malocclusion classe 2 (II) division 2 avec chevauchement dentaire, canines ectopiques, déviation de la ligne médiane supérieure et arcade supérieures étroite.
(B) Post-traitement; amélioration des lignes médianes, élargissement de l’arcade maxillaire, ce qui a procuré l’espace pour loger les canines et les rendre fonctionnelles.
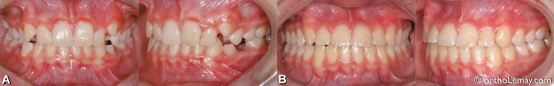
Malocclusion classe 1 traitée en chirurgie (2)
Réduction significative de la gencive apparente à la suite d’une chirurgie à la mâchoire supérieure. L’orthodontie (4 dents ont été extraites) a permis d’aligner et reculer les dents. (Final) Fermeture de la béance antérieure à la suite à l’orthodontie et une chirurgie aux mâchoires. Il en résulte une meilleure fonction (mastication et phonétique) et esthétique.
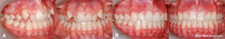
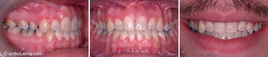
Malocclusion classe 1 traitée en chirurgie (1)
Patient de 22 ans se plaignant de voir trop de gencive lors du sourire (photos avant le traitement). Bien qu’il ait une relation des dents en “classe 1” et qu l’alignement des dents n’est pas quelque chose de techniquement difficile à faire en orthodontie dans un tel cas, l’excès de gencive lors du sourire, constituait la plainte principale et sa motivation première pour entreprendre un traitement d’orthodontie. Nous avons donc eu recours à une chirurgie orthognathique (impaction maxillaire) pour “remonter” son maxillaire supérieur et diminuer la gencive apparente.
Exemple de traitement de malocclusion classe 1 (26)
(A) Adolescent de 16 ans avec une béance antérieure sévère mais une relation classe 1 postérieure.
(B) Résultat du traitement orthodontique (19 mois) sans chirurgie ou extractions.
(C) L’esthétique et la fonction sont grandement améliorées.
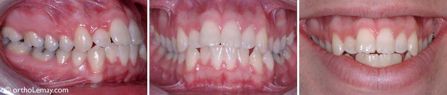
Exemple de traitement de malocclusion classe 1 (25)
Fille de 12 ans.
(A) Malocclusion dentaire classe 1 avec rétroclinaison des incisives inférieures et supérieures et surplomb vertical modéré.
(B) Incliner les incisives vers l’avant a permis d’obtenir l’espace nécessaire pour aligner les autres dents et restaure une fonction normale.
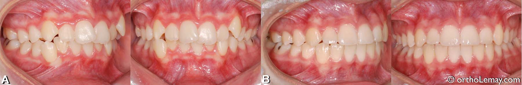
Exemple de traitement de malocclusion classe 1 (24)
(A) Classe 1 avec béance postérieure, chevauchement dentaire et arcade supérieure étroite chez une fille de 17 ans.
(B) Occlusion après le traitement.
Exemple de traitement de malocclusion classe 1 (23)
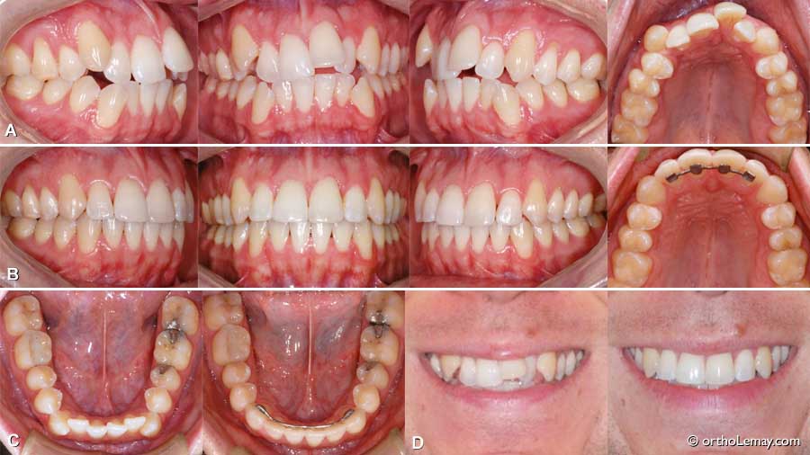
Exemple de traitement de malocclusion classe 1 (22)
(A) Adulte (33 ans) avec arcades étroites, chevauchement dentaire et tendance à la béance antérieure (manque de surplomb vertical antérieur).
(B) Après le traitement d’orthodontie (sans extractions).
(C) Vues occlusales inférieures avant et après le traitement.
(D) Sourire du patient avant et après les corrections.