En raison de la pandémie de COVID-19, les dentistes et les orthodontistes ont dû prendre des mesures afin de limiter la propagation du virus dans leurs cliniques. Des protocoles ont donc été mis en place pour la sécurité de tous et de toutes. Cependant, le personnel des cliniques a aussi besoin de votre collaboration.
Nous vous demandons de vous renseigner sur les mesures à suivre lors de votre prochaine visite et de ne pas vous présenter si vous êtes atteint ou atteinte de la COVID-19, si vous avez des symptômes s’apparentant à la COVID-19 ou si vous avez été en contact avec une personne qui est ou pourrait être atteinte de la COVID-19.
Merci de votre compréhension et de votre coopération en ces temps difficiles.
L’équipe Bücco et ses membres dentistes et spécialistes
Exemple de traitement de malocclusion classe 2 (13)
Femme de 50 ans.
(A) Sévère malocclusion de type classe 2 (II) division 2 avec rétroclinaison des incisives supérieures (dents basculées vers l’intérieur) et 100% de surplomb vertical (overbite).
(B) Les corrections orthodontiques ont permis de normaliser le surplomb vertical et de restaurer une fonction adéquate minimisant l’usure dentaire. L’arcade supérieure fut élargie. Aucune chirurgie ou extractions ne furent nécessaires. Des symptômes aux articulations temporo-mandibulaires (ATM) étaient présents avant le traitement mais sont pratiquement disparus par la suite.
Exemple de traitement de malocclusion classe 2 (12)
Femme de 33 ans.
(A) Sévère malocclusion classe 2 division 1 avec 10 mm de décalage ou surplomb entre les incisives supérieures et inférieures (overjet) et un surplomb vertical excessif.
(B) Résultat final; réduction du surplomb horizontal et vertical et élargissement des arcades. En l’absence de croissance mandibulaire, une prémolaire a été extraite de chaque côté à l’arcade supérieure pour aider à reculer les incisives et réduire l’overjet (*). Il y avait une légère récession gingivale avant le traitement sur la canine inférieure droite qui est demeurée stable au cours du traitement. Une légère récession est apparue sur une incisive inférieure et devra être surveillés.
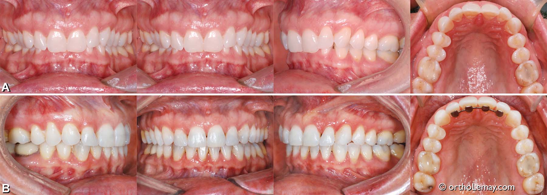
Exemple de traitement de malocclusion classe 2 (11)
Femme de 34 ans.
(A) Malocclusion dentaire classe 2 (gauche) division 2 chez une femme adulte avec surplomb vertical excessif (elle se mordait la muqueuse du palais) et rétroclinaison des incisives supérieures. Des signes d’usure commencent à être évidents sur les dents antérieures.
(B) Après le traitement l’occlusion est ouverte (diminution de l’overbite). Traitement sans extractions ou chirurgie. L’espace restant entre l’incisive latérale supérieure et la canine gauche est laissé ainsi volontairement car la position des dents est idéale. Cet espace pourrait être fermé par du matériau composite par le dentiste si cela était un problème esthétique pour la patiente.
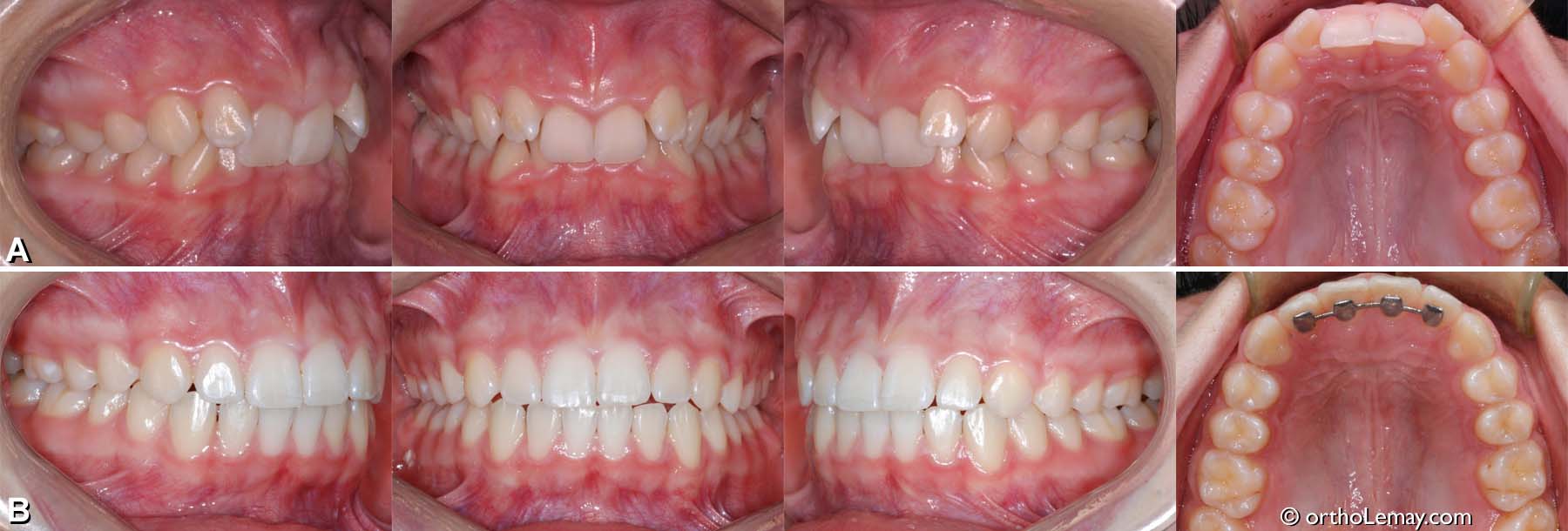
Exemple de traitement de malocclusion classe 2 (10)
Fille de 10 ans ayant dentition précoce.
(A) Malocclusion dentaire classe 2 avec manque d’espace sévère; Il fut donc décidé d’extraire les 4 premières prémolaires (haut et bas).
(B) Après le traitement d’orthodontie, les espaces d’extraction ont été fermés. Dans les mois suivant la dépose des appareils, les contacts verticaux entre les dents s’amémlioreront progressivement.
(A’, B’) Sourire avant et après le traitement.
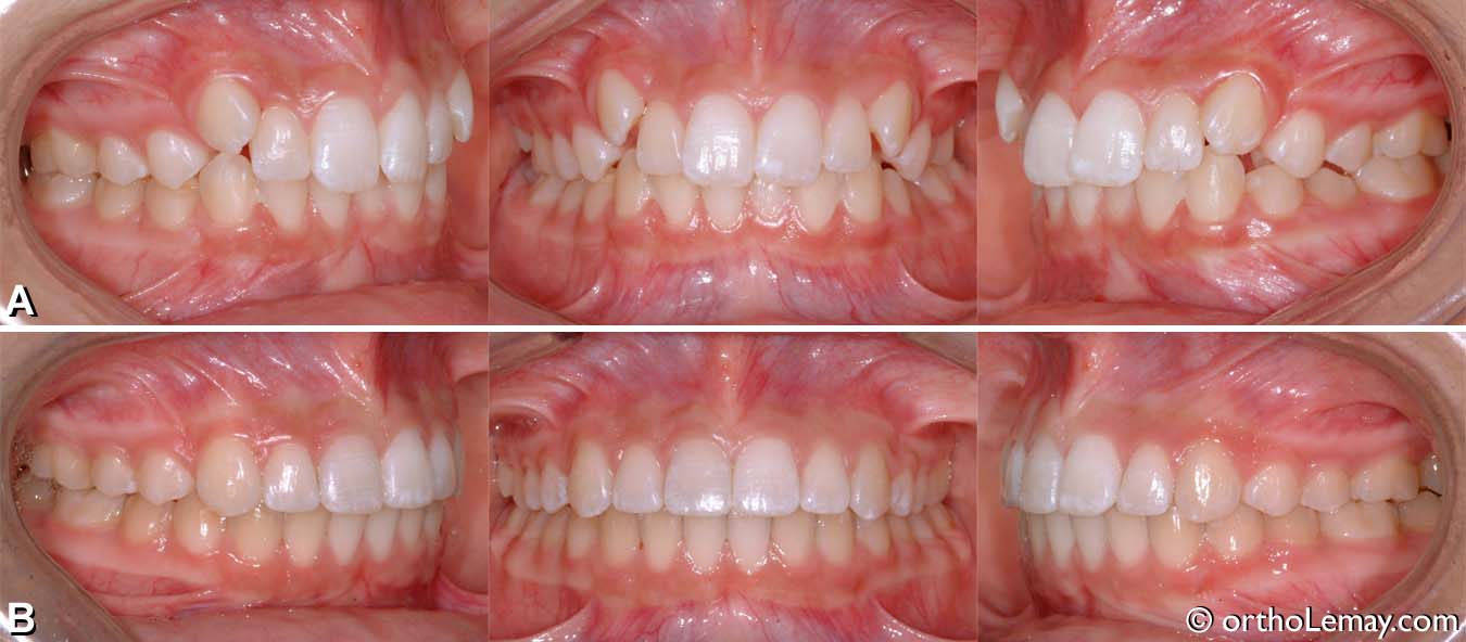
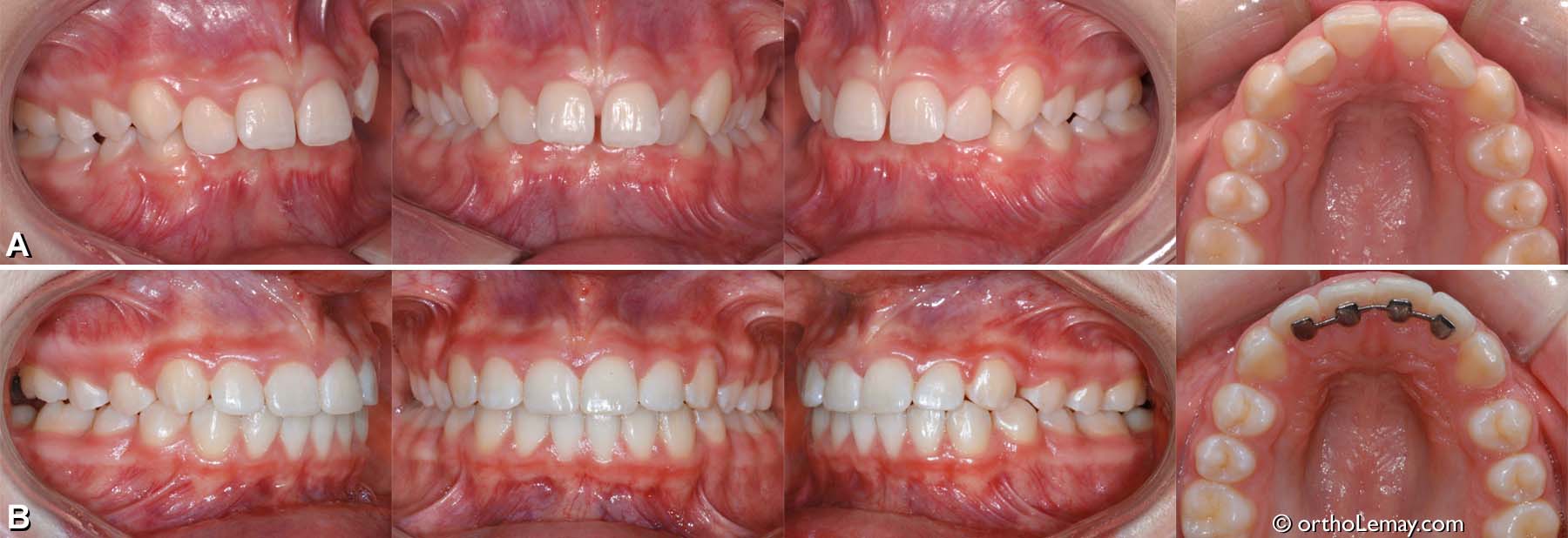
Exemple de traitement de malocclusion classe 2 (9)
Fille de 13 ans.
(A) Sévère malocclusion de type classe 2 division 1 avec surplomb antérieur horizontal excessif (9 mm), supraclusion antérieure (100 % de surplomb) et arcades étroites.
(B) Après 20 mois de traitement l’overbite et l’overjet (surplomb horizontal et vertical) sont régularisés, ce qui procure une fonction optimale, les arcades ont été élargies (expansion dento-alvéolaire). Il est essentiel de traiter une malocclusion en période de croissance pour obtenir un tel résultat.
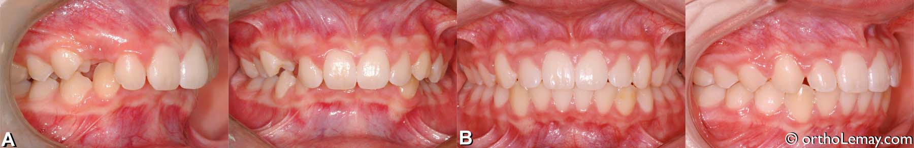
Exemple de traitement de malocclusion classe 2 (8)
Fille de 12 ans.
(A) Malocclusion classe 2 (II) division 2 avec sévère supraclusion antérieure (overbite), manque d’espace et rotations dentaires.
(B) Après les corrections, une classe 1 a été obtenue, les formes d’arcade sont corrigées et le surplomb vertical a été significativement diminué.
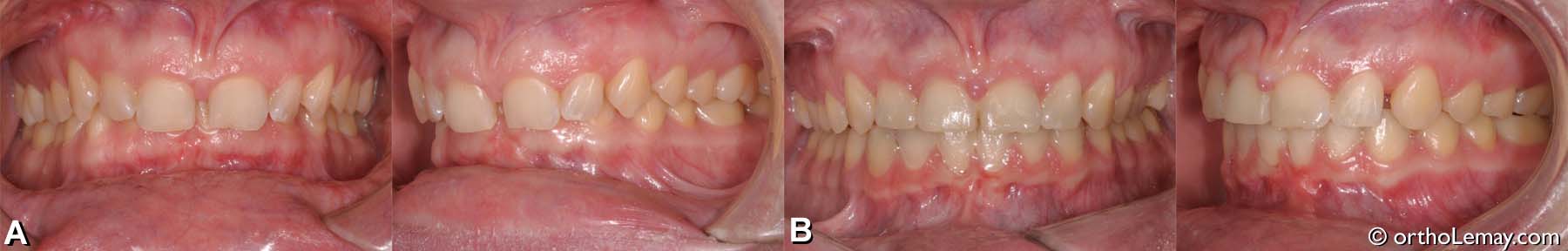
Exemple de traitement de malocclusion classe 2 (7)
Fille de 10 ans ; cette dentition est précoce pour cet âge.
(A) Malocclusion classe 2 division 2 (II) avec overbite important et canines non fonctionnelles.
(B) Après le traitement, le surplomb vertical est corrigé (overbite), les canines ont complété leur éruption et sont maintenant fonctionnelles.
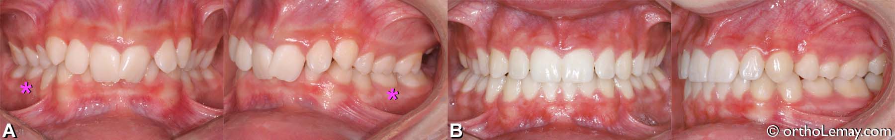
Exemple de traitement de malocclusion classe 2 (6)
(A) Malocclusion classe 2 division 1 avec overbite et overjet excessifs (fille 12 ans). Le surplomb vertical (overbite) est tel que les incisives inférieures mordent dans la muqueuse du palais. La canine supérieures droite n’a pas encore fait éruption.
(B) Après les corrections, le surplomb vertical et horizontal sont normaux et procurent une fonction adéquate. L’espace restant entre l’incisive latérale et la canine supérieur droite est dû à la dimension trop étroite de la latérale. Ceci pourrait être corrigé en ajoutant du matériau composite (pour voir des exemples d’élargissement de dents étroites).
Exemple de traitement de malocclusion classe 2 (5)
Adolescent de 14 ans.
(A) Sévère malocclusion classe 2 division 2 avec surplomb vertical (supraclusion) excessif. Les incisives supérieures recouvrent complètement celles du bas.
(B) Corrections orthodontiques ayant éliminé l’encombrement dentaire et régularisé l’overbite (surplomb vertical).
À noter la présence de deux molaires temporaires inférieures (*) car il y avait anodontie ou absence génétique de deux prémolaires. Les racines des dents primaires étaient de bonne qualité alors nous les avons laissé en place.
Exemple de traitement de malocclusion classe 2 (4)
Légère malocclusion classe 2 avec chevauchement modéré.
(A) Avant le traitement.
(B) Après les corrections, une relation classe 1 est obtenue.