En raison de la pandémie de COVID-19, les dentistes et les orthodontistes ont dû prendre des mesures afin de limiter la propagation du virus dans leurs cliniques. Des protocoles ont donc été mis en place pour la sécurité de tous et de toutes. Cependant, le personnel des cliniques a aussi besoin de votre collaboration.
Nous vous demandons de vous renseigner sur les mesures à suivre lors de votre prochaine visite et de ne pas vous présenter si vous êtes atteint ou atteinte de la COVID-19, si vous avez des symptômes s’apparentant à la COVID-19 ou si vous avez été en contact avec une personne qui est ou pourrait être atteinte de la COVID-19.
Merci de votre compréhension et de votre coopération en ces temps difficiles.
L’équipe Bücco et ses membres dentistes et spécialistes
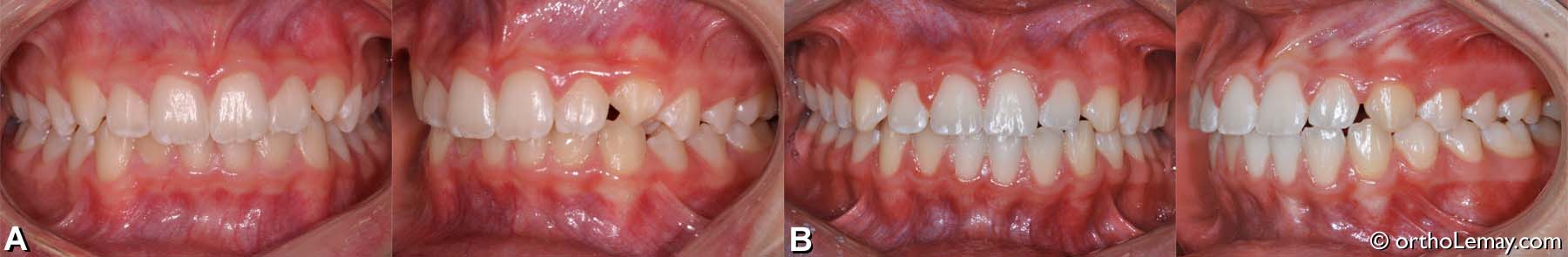
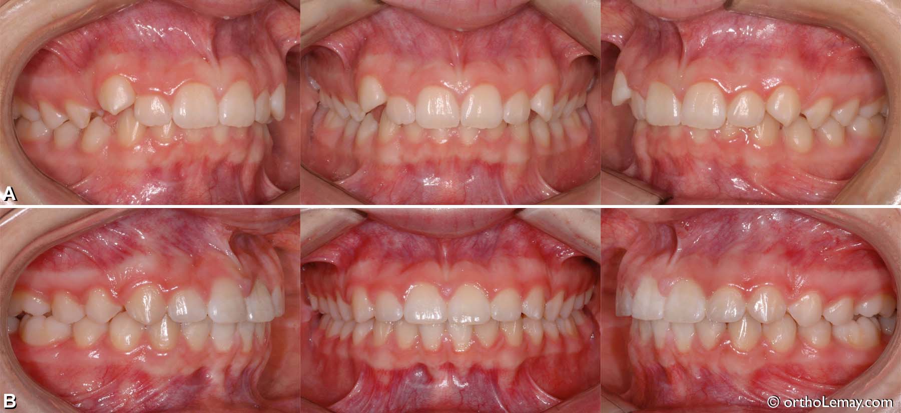
Exemple de traitement de malocclusion classe 1 (21)
(A) Légère malocclusion classe 1 , adolescente de 13 ans avec chevauchement dentaire.
(B) Correction du chevauchement, de l’overbite et des lignes médianes. L’espace entre l’incisive latérale supérieure gauche et la canine est dû à la forme de la latérale. Ceci pourrait être corrigé avec du matériau composite par le dentiste si cela était un problème esthétique pour la patiente.
Exemple de traitement de malocclusion classe 1 (20)
(A) Légère malocclusion classe 1, adolescente de 13 ans avec chevauchement dentaire.
(B) Correction du chevauchement, de l’overbite et des lignes médianes. L’espace entre l’incisive latérale supérieure gauche et la canine est dû à la forme de la latérale. Ceci pourrait être corrigé avec du matériau composite par le dentiste si cela était un problème esthétique pour la patiente.
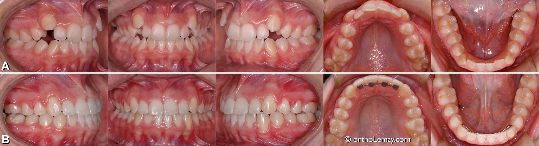
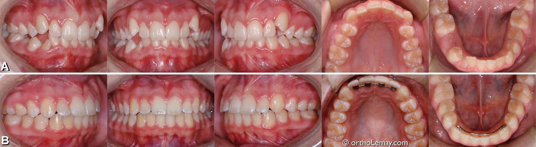
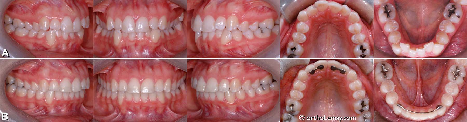
Exemple de traitement de malocclusion classe 1 (19)
Adolescente de 12 ans.
(A) Malocclusion classe 1 avec tendance à la béance postérieure bilatérale et arcade supérieure étroite.
(B) Occlusion après le traitement; de bons contacts postérieurs ont été obtenus pour améliorer la fonction. Les canines sont maintenant fonctionnelles et protégeront davantage les incisives contre l’usure en fonction.
Exemple de traitement de malocclusion classe 1 (18)
(A) Malocclusion dentaire classe 1, overbite excessif, manque d’espace et déviation des lignes médianes.
(B) Après le traitement, le surplomb est corrigé, les lignes médianes alignées et les dents logées convenablement dans les arcades.
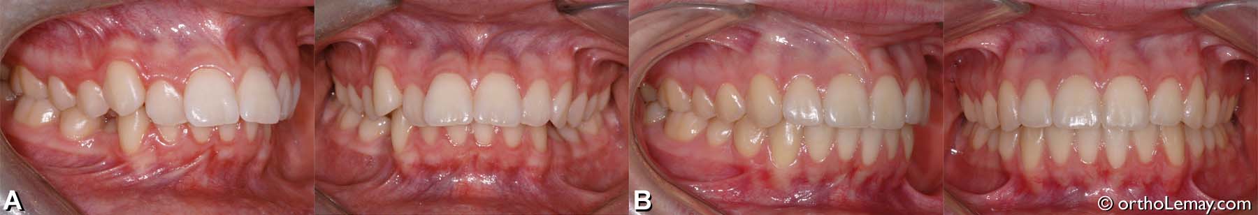
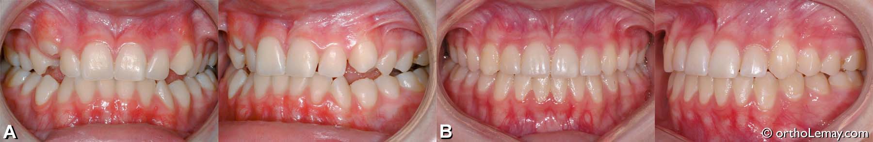
Exemple de traitement de malocclusion classe 1 (17)
(A) Adolescente de 14 ans avec surplomb antérieur vertical et horizontal excessifs (overbite et overjet) et manque d’espace, surtout à l’arcade inférieure.
(B) après les corrections, les surplombs ont été régularisés ce qui améliore la fonction et l’esthétique.
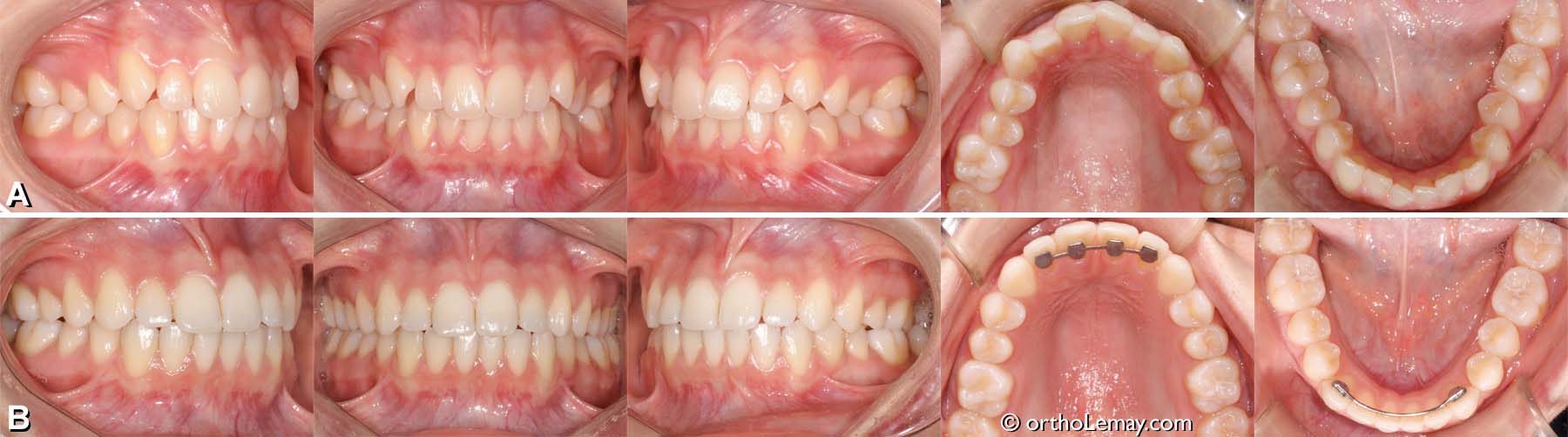
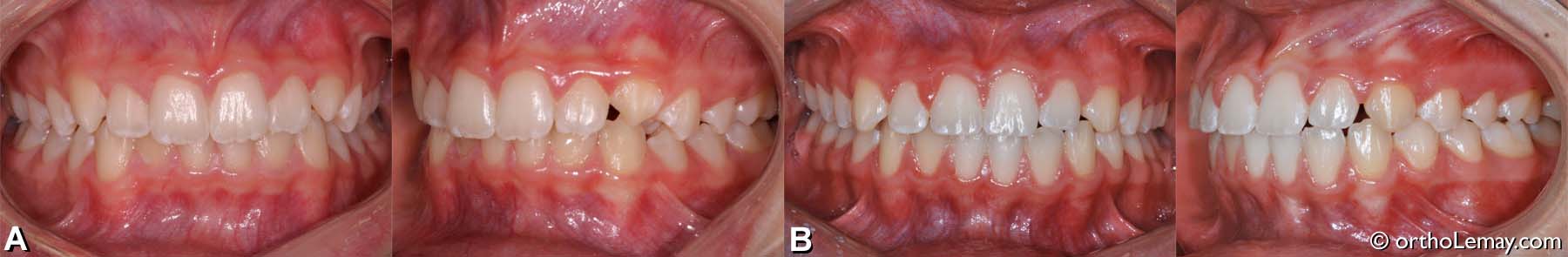
Exemple de traitement de malocclusion classe 1 (16)
(A) Fille de 13 ans avec une malocclusion classe 1 , arcades étroites, encombrement dentaire, canines non fonctionnelles et rétroclinaison des incisives supérieures.
(B) Après le traitement les formes d’arcades sont harmonisées, les canines sont fonctionnelles et l’inclinaison des incisives a été corrigée.
Exemple de traitement de malocclusion classe 1 (15)
Fille de 13 ans.
(A) Malocclusion classe 1 avec constriction de l’arcade supérieure et manque d’espace.
(B) Après le traitement d’orthodontie.
Exemple de traitement de malocclusion classe 1 (14)
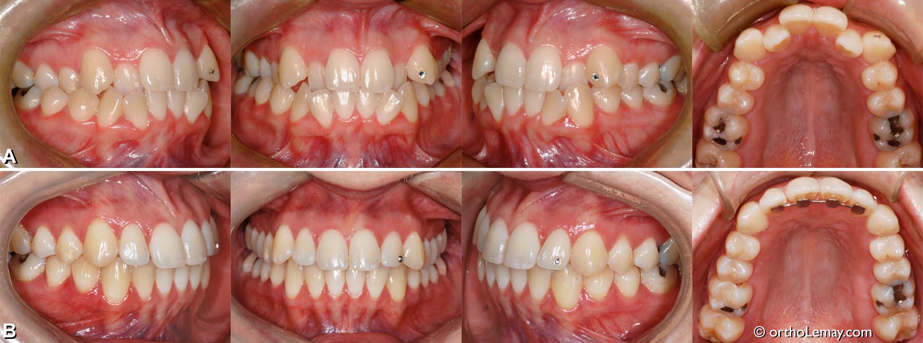
(A) Adulte de 24 ans avec déficience maxillaire modérée (arcade supérieure étroite), linguo-version des latérales supérieures manque d’espace important aux deux arcades et interférences fonctionnelles.
(B) 4 ans après la fin du traitement d’orthodontie, l’occlusion est très stable. On note une très légère récession gingivale sur les premières prémolaires supérieures qui était présente à la fin du traitement, mais qui est demeurée stable depuis ce temps. Le point argent sur une dent avant (canine) et après (latérale) le traitement est un “diamant” esthétique que la patiente s’est fait coller sur la dent.
Exemple de traitement de malocclusion classe 1 (13)
(A) Jeune femme de 21 ans avec encombrement dentaire modéré et arcades étroites.
(B) Après le traitement d’orthodontie, expansion et alignement sans extractions.
Exemple de traitement de malocclusion classe 1 (12)