En raison de la pandémie de COVID-19, les dentistes et les orthodontistes ont dû prendre des mesures afin de limiter la propagation du virus dans leurs cliniques. Des protocoles ont donc été mis en place pour la sécurité de tous et de toutes. Cependant, le personnel des cliniques a aussi besoin de votre collaboration.
Nous vous demandons de vous renseigner sur les mesures à suivre lors de votre prochaine visite et de ne pas vous présenter si vous êtes atteint ou atteinte de la COVID-19, si vous avez des symptômes s’apparentant à la COVID-19 ou si vous avez été en contact avec une personne qui est ou pourrait être atteinte de la COVID-19.
Merci de votre compréhension et de votre coopération en ces temps difficiles.
L’équipe Bücco et ses membres dentistes et spécialistes
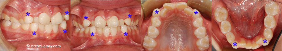
Chevauchement important aux 2 arcades chez une jeune fille de 9 ans. Des extractions sélectives (canines temporaires indiquées par des astérisques *) permettront de désencombrer les dents antérieures et d’aider les problèmes d’éruption qui affecteront les autres dents permanentes.
Manque d’espace
En présence d’un manque d’espace sévère pour l’éruption des dents permanentes, des dents temporaires peuvent être extraites (X) pour aider l’éruption des dents permanentes (flèches).
Problèmes d’éruption
La radiographie panoramique de cette fille de 10 ans permet de déceler plusieurs problèmes d’éruption (encerclés) pour lesquels il est indiqué d’intervenir. L’extraction de dents temporaires peut aider à changer la direction d’éruption anormale des dents permanentes.
Éruptions canines
(B) Radiographie montrant un patron d’éruption différent pour les deux canines permanentes supérieures qui sont encore dans la gencive.
(A) Du côté droit, la canine se dirige de façon parallèle à l’incisive latérale et il n’y a pas de déplacement de l’incisive latérale (flèches jaunes).
(C) Du côté opposé, la canine entre en collision avec l’incisive latérale qui s’incline vers l’arrière et bascule vers l’avant (flèches bleues). L’extraction sélective de dents temporaires peut aider à influencer la direction d’éruption et diriger la canine gauche chez ce garçon de 9.9 ans.
mainteneurs d’espace cas 1
Une première radiographie panoramique de routine pour cette jeune fille de 7.5 ans a révélé la présence d’un bourgeon de deuxième prémolaire droite qui se dirigeait penché vers l’arrière (flèche) et l’absence (?) d’un bourgeon pour la même dent du côté opposé. Une nouvelle radiographie prise 4 ans plus tard (11.4 ans) montre que le bourgeon de la prémolaire gauche est finalement apparu mais que les 2 prémolaires se dirigent vers l’arrière. Les molaires temporaires (*) au dessus des deuxième prémolaires ont été extraite dans
ans l’espoir d’influencer la direction d’éruption des prémolaires ectopiques. Il fut cependant nécessaire d’utiliser un mainteneur d’espace afin d’éviter que les molaires permanentes ne basculent par dessus les prémolaires qui tentent de sortie (13.2 ans). Les corrections orthodontiques surent débutées et la prémolaire droite fut corrigée mais celle de gauche tarde toujours à sortir. Elle a cependant l’espace qui a été réservé pour lui permettre de sortir.
5ans-14ans
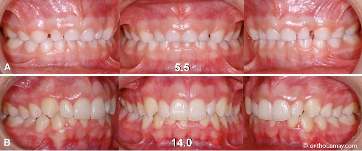
Exemple malocclusion malocclusion ce type classe 2 avec surplomb vertical (overbite) excessif (A) à l’âge de 5 ans en dentition temporaire. (B) À l’âge de 14 ans, les dents permanentes ont remplacé les dents de lait (temporaires) mais la même malocclusion persiste malgré la croissance et il existe les mêmes indications pour faire des corrections orthodontiques.
croissance mandibulaire
La croissance mandibulaire est un phénomène complexe qui se produit en 3 dimensions jusqu’à la fin de l’adolescence. Il est essentiel de bien comprendre ce processus de croissance pour intervenir au moment opportun. Le développement se produit surtout vers l’arrière après l’âge de 6 -7 ans.
(A) Malgré ce qu’on pourrait croire, ceci ne représente pas la façon dont la croissance mandibulaire se produit. La mandibule ne croit pas de façon égale et en même temps dans toutes les dimensions.
(B et D) Comparaison de la dimension d’une mandibule d’enfant (± 6 ans) et d’adulte.
(C) La mandibule croit plutôt par une série d’appositions et résorptions osseuses complexes en 3D qui font qu’elle se remodèle constamment jusqu’à la fin de la croissance.
Sur toutes les illustrations, la ligne pointillée bleue indique la longueur de l’arcade antérieure (devant les premières molaires permanentes)et cette dimension ne change pas. Elle est la même lorsqu’on compare une mandibule d’enfant à celle d’un adulte. La croissance et le développement se produisent principalement derrière cette ligne.
(E) La direction de croissance de la mandibule est vers l’arrière et non vers l’avant mais l’impression que cela donne est que la mandibule se déplace vers l’avant (D).
(F) Comparaison de la dimension de la mandibule à 3 stages de sa croissance et développement. La ligne pointillée rouge indique l’arrière des condyles et démontre que les changements les plus importants se produisent derrière cette référence. Il y a du remodelage dans la partie antérieure mais pas d’augmentation importante de la longueur des arcades dentaires une fois les premières molaires permanentes sorties.
(G) Vue supérieure comparait la mandibule d’enfant et d’adulte. Bien qu’il y ait de la croissance, elle se produit vers l’arrière et très peu en largeur une fois que les premières molaires permanentes ont fait éruption en bouche 2, 3.
Les flèches pointillées noires et bleues indiquent la direction de croissance vers l’arrière des condyles et branches montantes (apophyse coronoïde) de la mandibule.
espace pour eruptions
Ces exemples montrent l’importance de préserver l’espace disponible pendant l’éruption des dents et le fait que la croissance aide… mais pas nécessairement où sont situés les problèmes d’encombrement dentaire et de manque d’espace. Une supervision adéquate pendant le développement dentaire permettra de minimiser les problèmes d’espace et d’éruption.
Les radiographies ci-dessous illustrent ce phénomène :
(A) Cette jeune fille de 8 ans manque d’espace pour l’éruption des dents permanentes postérieures. La croissance résiduelle des mâchoires se produira à l’arrière des premières molaires (pointillé rouge) dans la direction des flèches.
(B) Ce garçon de 9 ans a déjà perdu beaucoup d’espace dans les régions indiquées par des astérisques jaunes (*). Les premières molaires supérieures (* bleues) ont même migré vers l’avant, réduisant la longueur de l’arcade dentaire. La croissance des mâchoires n’aidera pas ce manque d’espace en se produisant derrière les molaires permanentes.
développement et éruption
Développement dentaire et éruption des dents chez une jeune fille entre l’âge de 5 et 12 ans
diagnostic radio
Ces radiographies montrent différentes situations de perte d’espace qui affectent l’éruption des dents permanentes.La plupart de ces problèmes auraient pu être évités avec une gestion de l’espace et un suivi adéquats.