En raison de la pandémie de COVID-19, les dentistes et les orthodontistes ont dû prendre des mesures afin de limiter la propagation du virus dans leurs cliniques. Des protocoles ont donc été mis en place pour la sécurité de tous et de toutes. Cependant, le personnel des cliniques a aussi besoin de votre collaboration.
Nous vous demandons de vous renseigner sur les mesures à suivre lors de votre prochaine visite et de ne pas vous présenter si vous êtes atteint ou atteinte de la COVID-19, si vous avez des symptômes s’apparentant à la COVID-19 ou si vous avez été en contact avec une personne qui est ou pourrait être atteinte de la COVID-19.
Merci de votre compréhension et de votre coopération en ces temps difficiles.
L’équipe Bücco et ses membres dentistes et spécialistes
(A, B, C) Cet autre exemple montre une situation d’éruption ectopique de la seconde prémolaire inférieure droite (flèche) qui aurait pu être évitée par l’extraction de la molaire temporaire (* bleu) et la pose d’un mainteneur d’espace pendant l’éruption. Cette fille de 17 ans a maintenant toutes ses dents en bouche sauf la prémolaire incluse et mal positionnée.
à l’opposé
(A) Radiographie montrant la prémolaire (*) bloquée suite à la migration des dents adjacentes (flèches). (B) À l’arcade supérieure, les dents supérieurs ont migré vers l’avant et “volé” de l’espace aux canines qui sont bloquées à l’extérieur de l’arcade (flèches). (C et D) Vue des dents basculées bloquant la prémolaire (*) correspondant à la radiographie (A).
À l’opposé, comme l’illustre l’exemple suivant, l’espace de dérive inférieur droit a été perdu lorsque la deuxième molaire temporaire a été extraite et qu’aucun mainteneur d’espace n’a été utilisé pour empêcher la migration des dents. La prémolaire (*) se trouve bloquée par les dents qui ont basculé de part et d’autre de l’espace d’extraction.
extraction selective
Extraction sélective d’une molaire temporaire et utilisation d’un mainteneur d’espace inférieur pour préserver l’espace pendant l’éruption.
preservez cet espace
Une bonne gestion de l’espace permettra de minimiser les problèmes d’éruption de cette dentition.
variation 2
(A) À l’arcade inférieure, les dents temporaires préservent l’espace jusqu’à la sortie des deuxièmes prémolaires (*). À l’arcade supérieure, les prémolaires sont déjà sorties et l’espace de dérive est disparu. (B) Une fois les temporaires tombées, les prémolaires peuvent sortir convenablement dans l’espace disponible qui a été préservé. (Les * correspondent aux même dents en (A) et (B) )
Migration de dents, perte d’espace et problèmes d’éruption de deux prémolaires supérieures qui sont complètement bloquées et qui ne peuvent pas faire éruption correctement à la suite d’une supervision inadéquate pendant le développement dentaire. Une gestion adéquate de l’espace pendant l’éruption des dents aurait permis d’éviter ces problèmes.
Supervision inadéquate à l’arcade inférieure.
(A) La migration vers l’avant des molaires créé une perte d’espace qui empêche l’éruption des deuxièmes prémolaires inférieures. L’utilisation d’un mainteneur d’espace aurait pu prévenir ce problème ou le minimiser.
(B) Les corrections orthodontiques ont replacé les dents où elles auraient dû être maintenues par un mainteneur pendant leur éruption.
Problème d’éruption (2)
Exemples de mauvaise gestion de l’espace pendant l’éruption des dents permanentes. L’espace disponible n’a pas été préservé, il y a eu migration des dents, perte d’espace et éruption de certaines dents hors de l’arcade dentaire. Ce genre de problème peut habituellement être évité avec une bonne supervision pendant l’éruption des dents.
Problème d’éruption (1)
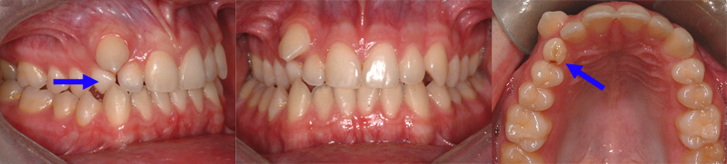
Canine permanente supérieure droite qui sort au-dessus d’une dent temporaire qui n’est pas tombée (flèche). Il est parfois indiqué d’extraire des dents temporaires pour faciliter l’éruption des dents permanentes.