En raison de la pandémie de COVID-19, les dentistes et les orthodontistes ont dû prendre des mesures afin de limiter la propagation du virus dans leurs cliniques. Des protocoles ont donc été mis en place pour la sécurité de tous et de toutes. Cependant, le personnel des cliniques a aussi besoin de votre collaboration.
Nous vous demandons de vous renseigner sur les mesures à suivre lors de votre prochaine visite et de ne pas vous présenter si vous êtes atteint ou atteinte de la COVID-19, si vous avez des symptômes s’apparentant à la COVID-19 ou si vous avez été en contact avec une personne qui est ou pourrait être atteinte de la COVID-19.
Merci de votre compréhension et de votre coopération en ces temps difficiles.
L’équipe Bücco et ses membres dentistes et spécialistes
Cas DB : Ce jeune patient (7.8 ans) a perdu la deuxième molaire temporaire supérieure droite prématurément car la molaire permanente a fait éruption sous la molaire temporaire et l’a fait tomber. Il en résulte une perte d’espace (flèche) qui empêchera l’éruption de la deuxième prémolaire qui doit remplacer la dent tombée. Il serait indiqué de soit récupérer l’espace perdu ou au moins d’utiliser un mainteneur d’espace pour éviter une perte additionnelle d’espace et empirer les problèmes d’éruption dans ce quadrant.
À l’arcade inférieure, suite à la perte de la canine temporaire droite bien avant la perte de celle du côté opposé, les incisives ont migré vers la droite et la latérale permanente est en contact avec la première molaire temporaire inférieure droite bloquant complètement l’éruption éventuelle de la canine.
Cas AC : Ce patient plus vieux (11.5 ans) a le même problème du côté opposé; la première molaire supérieure gauche a fait tomber la deuxième molaire temporaire supérieure gauche beaucoup plus tôt que normal car elle sortait dessous la dent temporaire. Il y a une bonne partie de l’espace qui est perdue par la migration de la molaire (flèche) mais, pour éviter d’en perdre davantage, un mainteneur d’espace serait indiqué. La situation du côté gauche est plus normale mais le mainteneur protégera aussi ce côté lorsque la dernière dent temporaire sera perdue.
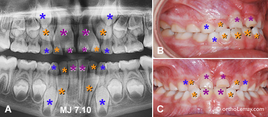
Cas MJ-VT
Cas MJ : (A) Problèmes d’éruption dentaire anticipés sur une radiographie panoramique montrant la différence de grosseur entre les dents de lait et les dents définitives. Les centrales supérieures permanentes prennent l’espace des centrales et des latérales temporaires! La différence est moins marquée à l’arcade inférieure mais les incisives permanentes sont beaucoup plus larges que les temporaires. (B, C) Apparence clinique; il est difficile de suspecter l’important manque d’espace qui affectera la région antérieure sans avoir recours à une radiographie.
Cas VT : La première molaire temporaire supérieur droite est tombée de façon précoce ce qui a accéléré l’éruption de la prémolaire qui empiète maintenant sur l’espace réservé à la canine . La prémolaire est presque en contact avec l’incisive latérale (cercle). Il serait indiqué d’extraire les autres premières molaires temporaires restantes (étoiles rouge)pour aider l’éruption des autres premières prémolaires. (Voir la légende pour identifier les dents)
Cas DB
Cas DB : (A) Les incisives permanentes sont beaucoup plus larges que les temporaires alors il faut s’attendre à un manque d’espace pour accommoder les dents car la croissance n’aidera pas ce problème. À l’arcade inférieure (C), l’incisive centrale permanente droite sort derrière 2 incisives temporaires. Des extractions sélectives peuvent être éventuellement indiquées pour donner l’espace aux centrales inférieures. Dans certains cas, une fois ces extractions faites, la langue peut pousser les dents vers l’avant et améliorer la situation. Il faut cependant comprendre que malgré l’extraction de dents de lait (temporaires) le manque d’espace persiste. (Voir la légende pour identifier les dents)
Cas NC
Cas NC : Extractions sélectives des canines supérieures et d’une molaire visant à aider l’éruption des latérales. Les dernières molaires temporaires sont très endommagées (on y voit les grosses obturations métalliques en blanc sur la radiographie) sont mobiles et tomberont sous peu alors la pose d’un mainteneur d’espace serait essentielle pour éviter de perdre davantage d’espace et empirer la situation. Les lignes vertes sont devant les molaires permanentes qui ne doivent pas avancer. (Voir la légende pour identifier les dents)
Cas RV-YM-EB
Cas RV : Mauvaise direction des prémolaires supérieures qui bloquent les canines. L’extraction des canines et premières molaires temporaires accélérera et redirigera l’éruption des prémolaires et aidera indirectement les canines.
Cas YM : Situation similaires mais, vu que la formation des dents permanentes est plus avancée, la deuxième molaire temporaire droite peut aussi être extraite tandis que celle de gauche est déjà tombée par elle-même. Les lignes vertes indiquent qu’il serait indiqué d’utiliser un mainteneur d’espace afin d’éviter la migration des molaires permanentes vers l’avant.
Cas EB : Encombrement et mauvaise direction d’éruption des canines et premières prémolaires supérieures, surtout à gauche. Les extractions aideront les prémolaires supérieures mais aussi les canines inférieures.
Cas LD
Cas LD : (A) À 10.8 ans, les canines et premières prémolaires supérieures sont inclinées vers l’avant. Les canines sont en contact avec les racines des latérales. (B) Près de 3 ans plus tard, après avoir fait des extractions sélectives , les canines se sont redressées et sortent dans une bien meilleure position. La situation s’est aussi améliorée à l’arcade inférieure. (Voir la légende pour identifier les dents)
Extractions pilotées (sélectives) pour influencer les canines et prémolaires
Cas SP : (A) À l’âge de 9.5 ans, la radiographie montre que la direction d’éruption des canines et premières prémolaires supérieures est déjà inclinée vers l’avant, particulièrement du côté droit. Des extractions sélectives sont alors proposées pour tenter d’influencer la direction d’éruption. (B) Une radiographie panoramique prise 2 ans plus tard montre comment les canines et les prémolaires on changé leur direction d’éruption. Les canines sont maintenant presque verticales. Les premières prémolaires font éruption. À ce stage, il est indiqué d’extraire les deuxièmes molaires temporaires supérieures ET de poser un mainteneur d’espace pour éviter la migration des molaires (lignes vertes) en attendant l’éruption des autres dents. (C) Photos cliniques correspondant à la radiographie en (A) et indiquant quelles dents temporaires seront extraites.
L’arcade inférieure est gardée sous observation mais il sera éventuellement indiqué d’extraire la molaire temporaire au dessus de la 2ième prémolaire inférieure gauche (*) qui penche vers l’arrière et ne résorbera pas les deux racines également. (Voir la légende pour identifier les dents)
À noter que, comme dans la plupart des cas d’extractions sélectives, bien que l’éruption soit améliorée, il manque toujours d’espace et des corrections orthodontiques seront tout de même indiquées lorsque l’éruption des dents sera complétée.
Cas vécu: dents incluses
Les radiographies permettent de localiser et d’identifier la présence de dents incluses comme le montre cet exemple.
(A) Ce jeune patient se plaignait d’une “bosse au palais” (indiquées par les flèches).
(B, C) En bouche, il y a absence de la canine permanente supérieure gauche (flèche) que les parents croyaient avoir fait extraire!
(D) La radiographie confirme la présence d’une canine permanente incluse.
Méthodes de prédiction de l’inclusion des canines développées par Ericson et Kurol en évaluant
(A) la position de la canine par rapport à des zones définies sur une radiographie panoramique, et
(B) la distance de la pointe de la canine par rapport à un plan (occlusal).
(C) Taux de succès d’autoéruption de la canine si la canine temporaire est extraite selon sa position par rapport à une ligne bissectrice tracée sur l’incisive latérale.