En raison de la pandémie de COVID-19, les dentistes et les orthodontistes ont dû prendre des mesures afin de limiter la propagation du virus dans leurs cliniques. Des protocoles ont donc été mis en place pour la sécurité de tous et de toutes. Cependant, le personnel des cliniques a aussi besoin de votre collaboration.
Nous vous demandons de vous renseigner sur les mesures à suivre lors de votre prochaine visite et de ne pas vous présenter si vous êtes atteint ou atteinte de la COVID-19, si vous avez des symptômes s’apparentant à la COVID-19 ou si vous avez été en contact avec une personne qui est ou pourrait être atteinte de la COVID-19.
Merci de votre compréhension et de votre coopération en ces temps difficiles.
L’équipe Bücco et ses membres dentistes et spécialistes
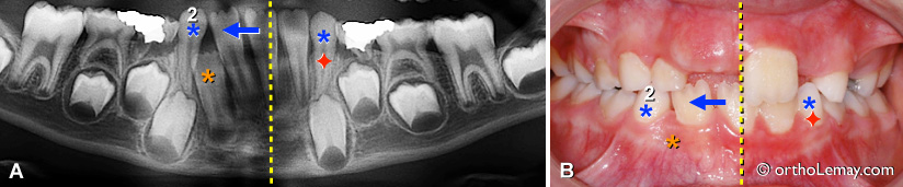
Extractions sélectives asymétriques chez un garçon de 9 ans visant à tenter d’améliorer l’asymétrie de la ligne médiane inférieure et la position des incisives. Voir légende ci-dessous.
Dans d’autres cas, comme celui illustré ci-dessus, il peut y avoir asymétrie dans la position des incisives sans qu’une canine ne soit tombée.
(A, B) Les incisives se sont déplacées vers la droite (flèche) de la ligne médiane (pointillé jaune) et une latérale inférieure (*orange) est bloquée et ne peut sortir par manque d’espace .
Il serait alors indiqué d’extraire la canine non du côté où il manque d’espace (droite du patient) mais du côté opposé (gauche) (* bleu = canines temporaires, losange rouge = canine à extraire). Extraire la canine droite ne ferait qu’augmenter la tendance qu’ont les incisives à migrer vers la droite en leur donnant plus d’espace.
Après un délai de ± 12 mois, l’autre canine (* bleu 2) pourra être extraite. Il est possible qu’après un tel délai la position des incisives se soit améliorée un peu sans aucune autre intervention.
Arcade supérieure : La perte de la canine temporaire droite a causé une migration des incisives vers la droite (flèche) et une perte d’espace (cercle) qui empêchera l’éruption normale de la canine permanente (voir radiographie).
Arcade inférieure : La perte de la canine et première molaire temporaires du côté gauche ont permis aux incisives inférieures de se déplacer vers ce côté (flèche), causant un manque d’espace (cercle) pour la sortie des autres dents (voir radiographie).
La ligne médiane est indiquée par le pointillé jaune. Idéalement le contact entre les incisives supérieures et inférieures serait aligné avec cette ligne. On peut cependant bien voir que le haut est déplacé vers la droite (du patient) et le bas vers la gauche.
Il est indiqué d’extraire les dents temporaires avec les losanges rouges (radiographie). Ceci accélèrera et redirigera les dents permanentes qui les remplaceront et peut aider à améliorer le mauvais alignement des lignes médianes… sans toutefois le “garantir”.
extractions sélectives asy 3
Autre situation “typique”; (A) La canine temporaire inférieure droite est tombée et les incisives ont migré vers la droite (flèche), ce qui a causé une migration de la ligne médiane (ligne bleue). (B) La radiographie montre qu’il n’y a pas d’espace pour l’éruption de la canine permanente. Il est indiqué d’extraire la canine temporaire du côté opposé (*), ce qui peut aider les incisives à migres vers la gauche, sans le garantir.
extractions sélectives asy 2
(A) La ligne médiane inférieure (ligne bleue) est déviée vers la droite (flèche jaune). À ce moment, la canine inférieure gauche (*bleu) a été extraite pour favoriser un déplacement des incisives vers ce côté. (B et C) Un an plus tard, la ligne médiane s’est bel et bien déplacée vers la gauche (flèche) et il y a eu légère sur-correction (cercle). À ce stage, la canine inférieure droite (* rouge) sera extraite pour désencombrer les incisives tout en maintenant les lignes médianes mieux centrées.
extractions sélectives asy
(A et B) La canine temporaire inférieure gauche est tombée de façon prématurée (flèche jaune), ce qui a entrainé les incisives inférieures et la ligne médiane (ligne bleue) vers la gauche. Pour tenter d’équilibrer la situation, il fut recommandé d’extraire la canine temporaire du côté opposé (*bleu) afin de permettre aux incisives de migrer vers la droite.
L’importance de prendre des radiographies en bas âge
Cas BJ – Comparaison de la région de la canine supérieur droite incluse palatine (*bleu) sur une radiographie panoramique standard (A) prise de façon routinière mais seulement à l’âge de 11 ans (fille). (B) L’apparence clinique ne permet pas de deviner le grave problème de résorption radiculaire qui affecte la racine de l’incisive latérale (*orange) au point de l’avoir “usée” à ±70 %. Cliché extrait d’un scan 3D (TVFC) qui montre la destruction de la racine de la latérale par la canine. (D) Vue occlusale montrant la position approximative de la canine (*bleu). (E) Différentes vues de l’incisive latérale qui a dû être extraite car sa racine était trop usée par la canine ectopique.
➡ Pour en savoir plus sur ce cas et sur l’évaluation des canines incluses et ectopiques à l’aide de radiographies.
Éruption des dents suite à la pose d’un mainteneur d’espace
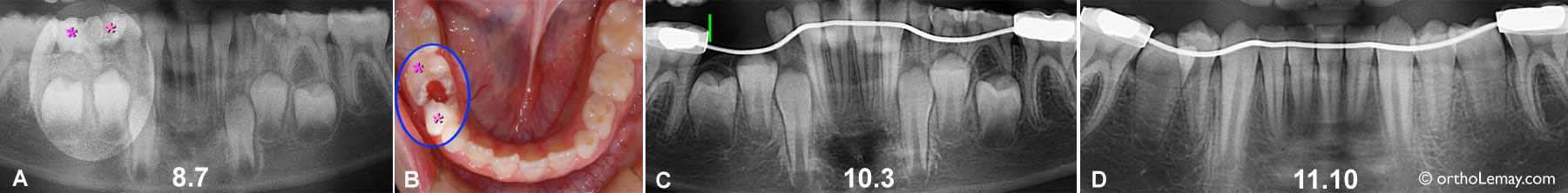
La pose d’un mainteneur d’espace suite à l’extraction de dents cariées a permis de préserver l’espace et faciliter l’éruption.
(A, B) Les 2 molaires primaires (*) e ce garçon de 8.7 ans étaient sévèrement cariées et ont dû être extraites.
(C) Un mainteneur d’espace fixe (visible sur la radiographie) fut posé immédiatement après les extractions pour retenir la molaire permanente (ligne verte). 18 mois plus tard une radiographie montre la progression de l’éruption des prémolaires sans qu’il y ait eu perte d’espace.
(D) À l’âge de 11 ans 10 mois, les prémolaires sont sorties de chaque côté de l’arcade. Le mainteneur d’espace a été en place plus de 3 ans mais a permis une éruption la plus normale possible sans perte d’espace et cela des deux côtés. Il manque cependant un peu d’espace pour que les dents soient alignées idéalement mais aucun espace de fut perdu. Le mainteneur peut maintenant être retiré et des corrections orthodontiques entreprises pour corriger la malocclusion s’il y a lieu.
➡ Pour en savoir plus sur le moment opportun pour extraire les dents temporaires.
➡ Pour en savoir plus sur les extractions sélectives.
Perte prématurée de dents temporaires infectées
Exemple de l’effet de la perte d’une dent temporaire suite à une infection sur la vitesse d’éruption de la dent permanente qui la remplace.
(A) Ce jeune patient de 7.2 ans avait une infection importante qui affectait la deuxième molaire temporaire inférieure droite (petit * rose). L’infection s’était déjà propagé au delà de la dent par les racines et commençait à détruire l’os alvéolaire autour des racines de la dent (flèches jaunes) et au dessus de la deuxième prémolaire (gros * rose) qui doit éventuellement remplacer la dent perdue.
En comparaison, du côté opposé (gauche du patient), bien que la même dent soit endommagée (petit * rose), il n’y a pas d’infection et de destruction osseuse.
(B) Peu de temps après la prise de la radiographie (A) la dent temporaire droite fut perdue car elle était devenue trop mobile suite à la perte d’os qui la supportait. Il se produisit alors un phénomène prévisible dans la mesure ou il n’y avait plus d’os recouvrant la prémolaire; ceci accélère l’éruption de la dent permanente même si sa racine est peu formée. Il est cependant surprenant est que la prémolaire ait pu compléter son éruption aussi rapidement (en moins de 12 mois) sans qu’il y ait eu migration vers l’avant de la molaire permanente (*rouge) et perte d’espace. Comme l’ont démontré les études de Moorees, une dent avec à peine le quart de sa racine formé n’est normalement pas prête à faire éruption mais l’absence d’os alvéolaire la recouvrant change complètement la donne.
Ce phénomène est très inhabituel et on ne peut espérer qu’il se produise dans la grande majorité des cas. C’est pourquoi il est toujours indiqué de préserver l’espace dans une telle situation, et même dans ce cas-ci, il aurait été souhaitable de poser un mainteneur d’espace inférieur.
La nouvelle radiographie prise à l’âge de 8.3 ans montre une seconde prémolaire droite complètement sortie mais avec une racine très courte. Du côté opposé. la dent temporaire fut aussi perdue mais en l’absence d’infection, il n’y a pas autant de perte osseuse et on peut voir de l’os (flèche rouge) recouvrant le bourgeon de la prémolaire (* rose). Cette dent prendra beaucoup plus de temps à faire éruption, probablement plus de 2 ans, alors il est indiqué de “bloquer” la molaire permanente (*rouge) à l’aide d’un mainteneur d’espace (illustré par la ligne verte).
(C) Situation clinique à 8.3 ans. Du côté droit, la prémolaire (gros * rose) est complètement sortie et en occlusion avec la dent opposée. Le petit astérisque rose indique la première molaire temporaire qui est toujours en bouche.
(D) Du côté gauche, il est préférable d’immobiliser la molaire (*rouge) pour éviter qu’elle ne bascule dans l’espace avant l’éruption de la prémolaire encore très basse dans la mâchoire.
Cas AS
Cas AS : Extractions sélectives (rouge) ayant permis d’améliorer la direction d’éruption des canines (*bleu) et premières prémolaires (*rose pâle) en 14 mois. Ces dents se sont redressées et on fermé les espaces entre les incisives (flèche jaunes) en faisant éruption. L’étape suivante à 11.5 ans serait d’extraire les secondes molaires temporaires (rouge) et de poser un mainteneur d’espace pour éviter la migration vers l’avant des premières molaires permanentes (*rouge).
Cas EB
Cas EB : Arcade supérieure : Il serait indiqué de faire des extractions sélectives (rouge) à l’arcade supérieure pour aider l’éruption des canines et premières prémolaires.
À l’arcade inférieure, la perte prématurée de la deuxième molaire temporaire inférieure gauche (qui n’aurait dû tomber que ± 2 ans plus tard (comparer à la même dent du côté opposé)) la molaire permanente migrera vers l’avant et basculera au dessus de la deuxième prémolaire avant que celle-ci ne puisse faire éruption, causant des problèmes d’éruption additionnels. Il serait donc indiqué d’utiliser un mainteneur d’espace (lignes vertes) afin d’éviter la migration des dents et préserver l’espace disponible pour l’éruption des autres dents.
Cas GQ-JG
Cas GQ : Problèmes d’éruption et manque d’espace. Les incisives latérales de chaque arcade sont larges et n’auront pas l’espace suffisant pour faire éruption convenablement. Il y a de fortes chances qu’elles sortent du côté de la langue. Il serait indiqué d’extraire les canines temporaires (rouge).
Cas JG : Après la sortie des latérales, ce sont les canines et premières prémolaires qui sont les prochaines dents à tenter de faire éruption mais qui manquent sévèrement d’espace. L’extraction des premières molaires temporaires (rouge) accélérera l’éruption des prémolaires et, à l’arcade du haut, peut aider à rediriger l’éruption des canines qui se dirigent sur les latérales. (Voir la légende pour identifier les dents)