En raison de la pandémie de COVID-19, les dentistes et les orthodontistes ont dû prendre des mesures afin de limiter la propagation du virus dans leurs cliniques. Des protocoles ont donc été mis en place pour la sécurité de tous et de toutes. Cependant, le personnel des cliniques a aussi besoin de votre collaboration.
Nous vous demandons de vous renseigner sur les mesures à suivre lors de votre prochaine visite et de ne pas vous présenter si vous êtes atteint ou atteinte de la COVID-19, si vous avez des symptômes s’apparentant à la COVID-19 ou si vous avez été en contact avec une personne qui est ou pourrait être atteinte de la COVID-19.
Merci de votre compréhension et de votre coopération en ces temps difficiles.
L’équipe Bücco et ses membres dentistes et spécialistes
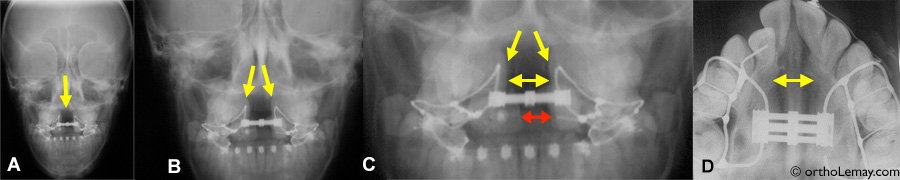
Vue de face (antéro-postérieure), une radiographie montre clairement l’ouverture au niveau de la suture palatine indiquée par les flèches jaunes.
A, B et C représentent la même radiographie agrandie. On y voit aussi la vis d’expansion qui a atteint son ouverture maximale.
La flèche rouge en (C) indique l’ouverture entre les incisives centrales.
(D) Radiographie occlusale où l’ouverture de la suture est clairement visible. Les régions plus foncées sur les radiographies sont l’endroit où les os du maxillaire se sont séparés.
Appareil d’expansion (2)
(A) Avant l’activation de l’appareil; la vis d’expansion et la suture sont fermées.
(B) Vers la fin de l’expansion, la vis est ouverte (flèches bleues) et la suture est ouverte de plusieurs millimètres. Les flèches rouges indiquent la zone foncée qui représente l’ouverture de la suture.
(C) Autre cas montrant une très grande ouverture lors de l’expansion maxillaire. La vis d’expansion a été ouverte de 14 mm et la zone sombre de la suture est bien visible.
Appareil d’expansion (1)
Pendant l’expansion maxillaire, l’ouverture de la suture se fait progressivement mais rapidement :
(A) Les 3-4 premiers tours d’activation de l’appareil ne produiront pas de changements visibles, mais commencent tout de même à agir sur la suture.
(B) Après quelques tours, la suture commence à s’ouvrir. Un diastème (espace) qui apparaît entre les incisives centrales supérieures confirme que l’ouverture se produit normalement au niveau de la suture. L’activation est continuée jusqu’à ce que la quantité d’expansion désirée soit obtenue (± 3 semaines).
(C) À la fin de la période d’activation, la suture est maintenue ouverte en gardant l’appareil en bouche approximativement 3 mois sans faire de tours de vis. Cette période d’immobilisation est nécessaire afin de permettre une reminéralisation de la zone d’ouverture de la suture. Après cette période, l’appareil d’expansion peut être enlevé. L’espace entre les incisives centrales commence à se refermer pendant l’immobilisation.
L’ouverture de la suture n’est pas visible en bouche, mais l’est sur une radiographie. Les radiographies ci-dessous montrent un palais avec un appareil d’expansion en place pendant l’ouverture de la suture palatine durant la phase d’expansion maxillaire rapide. Lorsque la suture ouvre normalement, un diastème (espace) apparaîtra entre les incisives centrales supérieures.
Les flèches rouges indiquent la zone d’ouverture de la suture palatine.
La période d’immobilisation (± 3 mois) après l’activation de la vis permet à cette région de se recalcifier et former de l’os dans la zone d’ouverture de la suture.
Il est possible de confirmer radiologiquement qu’une suture maxillaire se sépare correctement comme l’illustrent les exemples ci-dessous. Il est cependant rare d’avoir à prendre de telles radiographies.
Pourquoi corriger une mâchoire trop étroite? (4)
Après l’expansion, l’occlusion croisée postérieure est corrigée (flèche), l’arcade supérieure est plus large et le menton s’est déplacé vers le centre, éliminant ainsi l’asymétrie. Remarquez qu’il reste encore un espace important entre les incisives centrales (diastème). Cet espace peut se refermer encore un peu dans les mois à venir, mais un diastème persistera, car ce garçon avait déjà un espace important avant l’expansion.
➡ Pour voir d’autres exemples de corrections de déviation mandibulaire à la suite de l’expansion palatine rapide, suivez ce lien.
Pourquoi corriger une mâchoire trop étroite? (3)
(A et C) Jeune patient de 7 ans présentant une occlusion croisée postérieure (flèche) causée par un maxillaire étroit. Ceci fait dévier la mandibule vers la droite.
(B) Cette déviation est visible en examinant le visage; le menton est déplacé vers la droite.
Pourquoi corriger une mâchoire trop étroite? (2)
(A) À la fin du traitement d’expansion, l’arcade supérieure est “sur-corrigée”; il y a beaucoup plus d’expansion que nécessaire. Les segments postérieurs débordent vers l’extérieur. La mandibule est maintenant déviée vers la gauche, ce qui montre l’instabilité de l’occlusion à ce moment. Ceci est plus évident avec une vue en contre-plongée (B, flèches). Cet excès d’expansion disparaîtra une fois l’appareil d’expansion enlevé.
(C) 2 mois après l’enlèvement de l’appareil, l’excès d’expansion commence à diminuer.
(D) Après 5 mois, la largeur de l’arcade supérieure est normale, l’occlusion croisée est corrigée, les lignes médianes se sont alignées et la mandibule est centrée.
Pourquoi corriger une mâchoire trop étroite? (1)
(A) Garçon de 6 ans avec un maxillaire supérieur étroit. En fermant la bouche, la mandibule est alignée avec le haut (ligne bleue).
(B) À la fin de la fermeture, une interférence entre les canines de droite (cercle) fait dévier la mandibule vers la droite en occlusion croisée. L’expansion maxillaire rapide permettra de corriger cette déviation.
amélioration significante
Amélioration significative de la position des canines supérieures permanentes (* rouge) après l’extraction sélective des canines temporaires (* bleu) et des premières molaires temporaires (* vert). Ces changements se sont produits en moins d,une année. Sans cette intervention, il y avait de fortes chances que les canines permanentes se soient dirigées vers le palais et deviennent sévèrement incluses.
asymétrie aux deux arcades
Asymétrie aux deux arcades dentaires causée par la perte de dents temporaires chez un garçon de 11.5 ans. Des extractions sélectives ou pilotées sont indiquées pour aider l’éruption des autres dents et tenter de restaurer une certain symétrie aux arcades.