En raison de la pandémie de COVID-19, les dentistes et les orthodontistes ont dû prendre des mesures afin de limiter la propagation du virus dans leurs cliniques. Des protocoles ont donc été mis en place pour la sécurité de tous et de toutes. Cependant, le personnel des cliniques a aussi besoin de votre collaboration.
Nous vous demandons de vous renseigner sur les mesures à suivre lors de votre prochaine visite et de ne pas vous présenter si vous êtes atteint ou atteinte de la COVID-19, si vous avez des symptômes s’apparentant à la COVID-19 ou si vous avez été en contact avec une personne qui est ou pourrait être atteinte de la COVID-19.
Merci de votre compréhension et de votre coopération en ces temps difficiles.
L’équipe Bücco et ses membres dentistes et spécialistes
(A et B) Occlusion croisée postérieure droite chez un patient en dentition mixte (flèches). Il n’y a aucun espace présent entre les incisives centrales supérieures avant le début de l’expansion.
(D et G) L’expansion a créé un diastème de 8 mm entre les incisives centrales supérieures visible lors de l’immobilisation de l’appareil d’expansion.
G) Cette vue en contre-plongée montre la quantité de surcorrection obtenue.
(E) Après 3 mois d’immobilisation et l’enlèvement de l’appareil, l’espace s’est refermé complètement (flèche noire).
(F) Lors de la sortie des prémolaires et canines permanentes, l’expansion maxillaire est maintenue.
Position des incisives (3)
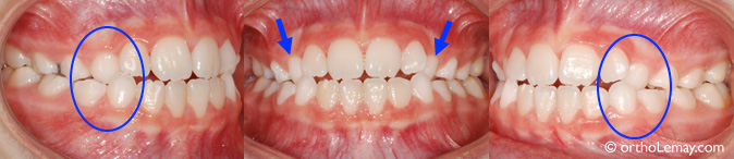
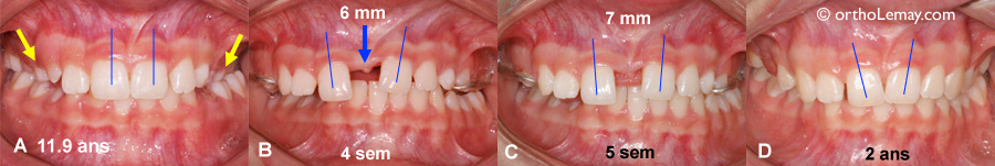
(A) Occlusion croisée postérieure bilatérale (flèches) causée par une constriction maxillaire chez une fille de 11.9 ans. Les incisives centrales supérieures sont relativement parallèles l’une à l’autre.
(B) Après 4 semaines d’activation de l’appareil d’expansion rapide, les incisives centrales sont de niveaux différents et commencent à s’incliner vers le centre.
(C) Une semaine plus tard, lors de l’immobilisation de l’expansion, les incisives centrales semblent se redresser légèrement.
(D) 2 ans après l’expansion, les dents permanentes sont toutes sorties, mais les incisives centrales sont encore inclinées même si elles se sont rapprochées quelques semaines après la fin de l’expansion. Une seconde étape de traitement corrigera ces malpositions dentaires.
Position des incisives (2)
(A) Jeune fille de 9 ans présentant une occlusion croisée postérieure bilatérale (flèches) causée par une constriction importante du maxillaire supérieur (B).
(C et E) À la fin de la phase d’expansion avec l’appareil d’expansion toujours en bouche.
(D) Après la récidive de la surcorrection de l’expansion, les dents postérieures mordent dans une relation normale (en largeur), mais les incisives centrales supérieures ont une inclinaison différente.
(F) Immédiatement après l’enlèvement de l’appareil d’expansion; le palais montre une rougeur et de l’inflammation qui disparaîtront rapidement avec une bonne hygiène buccale. La ligne jaune est de la même dimension que sur l’image (B) et permet d’apprécier l’augmentation en largeur obtenue au niveau du palais.
Position des incisives (1)
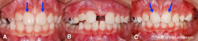
(A) Avant l’expansion, les incisives centrales supérieures sont droites.
(B) À la fin de l’expansion, un espace important apparaît entre les incisives centrales qui sont toujours droites (flèches). (À noter le problème d’hygiène et l’accumulation de plaque dentaire.)
(C) Après quelques mois, les incisives centrales ont récidivé vers le centre, mais se sont aussi inclinées vers le centre, ce qui peut se produire à l’occasion. Ceci sera corrigé lors d’une étape ultérieure.
Bien qu’une telle variation dans la position des dents puisse occasionner un léger préjudice esthétique dans certains rares cas, cela ne cause habituellement pas de problème fonctionnel. Il faut aussi se rappeler que l’expansion n’étant qu’une première phase de traitement, d’autres corrections seront de toute façon nécessaires plus tard pour finaliser et optimiser la position des incisives et toutes les irrégularités pourront alors être corrigées. De plus, il est possible que ces dents se déplacent à nouveau lorsque les canines permanentes feront éruption.
Fermeture de diastème
(A) Lorsqu’un espace (diastème) est déjà présent avant le début de l’expansion maxillaire rapide, l’ouverture de l’espace interdentaire sera plus importante. Occlusion croisée postérieure droite (flèches).
(B) L’espace initial de 2.5 mm a augmenté à 10 mm lors de l’immobilisation de l’appareil d’expansion.
(C) Un tel espace ne se refermera pas complètement seul, mais il est possible de le fermer à l’aide d’appareils fixes. Cette correction peut être faite pendant que l’appareil d’expansion est en bouche une fois les tours d’activation terminés.
(D) Résultat après la fermeture du diastème, l’enlèvement des appareils et la récidive postérieure de la surcorrection.
Occlusion croisée (2)
Ces canines temporaires supérieures sont en occlusion croisée (basculées vers l’intérieur), mais il s’agit d’un problème dentaire et non squelettique. Ceci ne nécessite pas d’expansion palatine rapide pour être corrigé.
Expansion rapide (1)
Jeune fille de 8 ans avec une occlusion croisée postérieure traitée à l’aide d’expansion rapide.
(A) La mâchoire supérieure étroite cause des interférences entre les dents lors de la fermeture de la bouche (flèches), ce qui fait dévier la mâchoire inférieure vers la droite. Les lignes médianes (centre des arcades dentaires, en bleu) ne sont pas alignées.
(B) À la fin de la phase d’expansion avec l’appareil en bouche.
(C) Une fois l’appareil enlevé, la largeur de l’arcade du haut est adéquate et la mandibule s’est replacée de façon centrée (lignes bleues alignées). Il n’y a plus de déviation de mâchoire.
vis app expansion
La vis d’un appareil d’expansion peut être ouverte de plus de 1 cm afin d’élargir le palais.
Zone rouge
Un espace important apparaîtra entre les incisives centrales supérieures pendant l’expansion. Cet espace se refermera en quelques semaines. Parfois, une dent basculée vers l’intérieur, comme cette incisive latérale (*) sera corrigée avec l’effet de l’expansion.
Comment est posé un appareil d’expansion?
La pose d’un appareil d’expansion fixe collé sur les dents ne prend que quelques minutes. Pour voir comment est posé cet appareil, suivez le lien ci-dessous.