En raison de la pandémie de COVID-19, les dentistes et les orthodontistes ont dû prendre des mesures afin de limiter la propagation du virus dans leurs cliniques. Des protocoles ont donc été mis en place pour la sécurité de tous et de toutes. Cependant, le personnel des cliniques a aussi besoin de votre collaboration.
Nous vous demandons de vous renseigner sur les mesures à suivre lors de votre prochaine visite et de ne pas vous présenter si vous êtes atteint ou atteinte de la COVID-19, si vous avez des symptômes s’apparentant à la COVID-19 ou si vous avez été en contact avec une personne qui est ou pourrait être atteinte de la COVID-19.
Merci de votre compréhension et de votre coopération en ces temps difficiles.
L’équipe Bücco et ses membres dentistes et spécialistes
(A) Garçon de 9.4 ans – Occlusion croisée postérieure (flèches jaunes) et déviation mandibulaire vers la droite lors de la fermeture de la bouche. Ceci est évident en comparant les lignes médianes (pointillés bleus).
(C) Immobilisation de l’appareil d’expansion maxillaire rapide à 9.5 ans.
(D) Utilisation de quelques boîtiers orthodontiques pour corriger une occlusion croisée antérieure persistante et aligner les incisives supérieures.
(E) Ces corrections n’ont duré que quelques mois. (F) 11.3 ans – La correction des incisives se maintient et on attend l’éruption des autres dents permanentes.
(B) Lorsque les permanentes sont toutes sorties (13.5 ans), l’occlusion est acceptable esthétiquement et fonctionnellement et ne nécessite pas d’autres corrections. Les lignes médianes demeurent alignées. À noter aussi l’amélioration du niveau de gencive de l’incisive inférieure gauche qui présentait une légère récession (flèches bleues). La correction de l’occlusion croisée par ces simples interventions préliminaires a permis d’éviter une perte additionnelle de gencive avec les années à venir.
Après l’expansion (1)
(A) Malocclusion avec une occlusion croisée postérieure gauche (flèches) causée par une constriction maxillaire.
(B) À la fin de l’expansion, avec l’appareil en bouche. Le diastème s’est créé pendant l’expansion et se refermera progressivement.
(C) Après plus d’un an et une fois l’éruption des dents permanentes complétée, l’occlusion est fonctionnelle et acceptable esthétiquement. Aucune autre correction ne fut faite.
(D) Bouche ouverte montrant un alignement relativement acceptable malgré quelques irrégularités.
Mâchoire étroite (2)
Exemple démontrant que les occlusions croisées (flèches) ne “s’auto-corrigent” pas avec le temps, les années et la croissance.
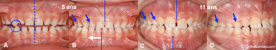
(A)À l’âge de 5 ans, ce garçon présentait un maxillaire supérieur étroit. Lors de la fermeture de la bouche, une interférence est présente entre les canines temporaires droites (cercle bleu). Dans cette position de fermeture incomplète, les lignes médianes des 2 mâchoires sont alignées (pointillés bleus).
(B) Lors de la fermeture complète de la bouche, ce qui est nécessaire pour obtenir des contacts entre les dents postérieures et mastiquer, l’interférence “force” la mandibule à dévier vers la droite (flèche blanche) créant ainsi une occlusion croisée postérieure droite (flèches bleues) et une importante déviation des lignes médianes (lignes bleues). Nous référons à ce type d’occlusion croisée comme étant de nature fonctionnelle car, bien que la cause du problème soit un maxillaire trop étroit, c’est lors de la fonction (fermeture) que l’occlusion croisée devient apparente (occlusion croisée fonctionnelle).
(C et D)6 ans plus tard, soit à l’âge de 11 ans, les dents permanentes ont commencé à pousser et, malgré la croissance, la même constriction maxillaire est toujours présente avec l’occlusion croisée postérieure et la déviation des lignes médianes. Cette condition ne se corrige pas sans intervention orthodontique.
Mâchoire étroite (1)
Expansion chez un jeune adulte
Expansion maxillaire obtenue sans appareil d’expansion ou chirurgie chez un jeune adulte. L’espace où une dent endommagée a dû être extraite (indiqué par une *) a été fermé pendant le traitement.
Expansion et alignement dentaire
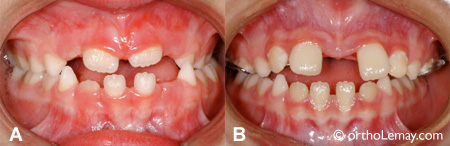
(A) Jeune fille de 8 ans présentant une occlusion croisée postérieure ET antérieure bilatérale. Un espace important (diastème) est présent entre les incisives centrales supérieures.
(B) Après la fin de l’activation de l’appareil d’expansion, des boîtiers ont été posés sur les incisives pour les aligner. L’appareil d’expansion demeure en bouche.
(C) Après l’alignement des incisives avec l’appareil d’expansion en bouche.
(D) Lors de l’enlèvement de l’appareil d’expansion et des broches, les dents sont rapprochées et l’occlusion croisée est corrigée. Ces corrections préliminaires devront être suivies par des corrections plus complètes (à l’aide de broches) quelques années plus tard lorsque la dentition permanente sera complétée, mais cette intervention préliminaire a rétabli l’équilibre entre les mâchoires et éliminé une déviation fonctionnelle de la mandibule.
Poignée d’activation
(A) Clé d’activation avec “poignée” en plastique (bleu).
(B) Lors de l’insertion du bout de la tige dans le trou de la vis d’expansion.
(C) pendant l’activation en poussant la poignée vers l’arrière pour compléter 1/4 de tour.
Activation d’un appareil d’expansion
Activation d’un appareil d’expansion en bouche à l’aide de la clé.
Surcorrection
La ligne rouge représente la largeur initiale du palais et sert de comparaison pour apprécier l’élargissement du palais.
La ligne bleue montre que la largeur de l’arcade inférieure est relativement stable comparée à l’arcade supérieure. Dans les faits cependant, il peut se produire un peu d’expansion à l’arcade inférieure qui tend à suivre le haut.
Autres exemples d’espaces importants
(A) Autre exemple d’un espace dentaire important présent avant le traitement.
(B) Après l’expansion, le diastème est presque de 10 mm et se refermera partiellement par la suite.
ILLUSION D’OPTIQUE: Ces photos montrent qu’il est difficile d’évaluer la quantité d’expansion obtenue seulement à l’aide de photos.
(A) Une vue de face ne semble pas montrer une expansion postérieure importante, mais pourtant, la vis a été “ouverte” de 11.5 mm!
(B) Une vue en contre-plongée permet d’apprécier que les segments postérieurs débordent de 100% à droite et ~ 90% à gauche (flèches), ce qui confirme que beaucoup d’expansion a été obtenue. Souvenez-vous de ce phénomène “optique” en regardant les cas d’expansion!