En raison de la pandémie de COVID-19, les dentistes et les orthodontistes ont dû prendre des mesures afin de limiter la propagation du virus dans leurs cliniques. Des protocoles ont donc été mis en place pour la sécurité de tous et de toutes. Cependant, le personnel des cliniques a aussi besoin de votre collaboration.
Nous vous demandons de vous renseigner sur les mesures à suivre lors de votre prochaine visite et de ne pas vous présenter si vous êtes atteint ou atteinte de la COVID-19, si vous avez des symptômes s’apparentant à la COVID-19 ou si vous avez été en contact avec une personne qui est ou pourrait être atteinte de la COVID-19.
Merci de votre compréhension et de votre coopération en ces temps difficiles.
L’équipe Bücco et ses membres dentistes et spécialistes
(A) Apparence du garçon la première fois que nous l’avons rencontré à 4.9 ans. On peut deviner une mâchoire légèrement reculé en regardant ses photos du visage de face et profil.
(B) L’examen de la dentition révèle cependant un décalage très important pour son âge.
(C) Les modèles d’étude permettent d’apprécier davantage l’importance du recul de la mâchoire du haut par rapport à celle du bas (flèches).
(D) Il existe un décalage de 5 mm entre les mâchoires (indiqué par une règle). La vue en surplomb donne une autre perspective de ce décalage.
(E) Un appareil intra-oral simple fut utilisé pour servir d’ancrage à un masque extra-oral Delaire. Ces photos montrent le progrès obtenu après avoir porté le masque la nuit seulement pendant 11 mois.
(F) Vue en plongée de la dentition avant le début du traitement.
Intervention précoce
(A) Ce jeune garçon de 5.7 ans présente aussi une classe 3 avec composante squelettique assez sévère pour qu’une intervention précoce à l’aide d’un masque de traction Delaire soit envisagée. Le déséquilibre de croissance ne peut qu’empirer avec le temps.
(B) La largeur de l’arcade supérieure est adéquate mais c’est le recul de l’arcade qui est problématique et qui doit être corrigé.
Quand intervenir ?
(A) Jeune garçon de 4.9 ans ans présentant une classe 3 squelettique sévère causée par une déficience maxillaire. Le traitement fut débuté alors que de garçon avait à peine 6 ans. Ce fort décalage entre les mâchoires justifie une intervention précoce.
(B) L’appareil intra-oral sert d’ancrage au masque de traction extra-orale Delaire qui est utilisé tenter d’équilibrer la relation entre les mâchoires.
(C) Patient avec le maque Delaire en place.
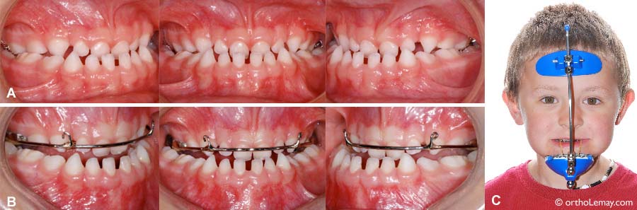
Masque facial (2)
(A) Garçon de 9.8 ans. Profil initial; la mâchoire supérieure est reculée par rapport à celle du bas.
(C) À la pose du masque; des élastiques sont attachés sur le masque et sur l’appareil d’ancrage en bouche pour exercer une traction vers l’avant.
(D) Après 2 mois, le profil est déjà amélioré; la mâchoire supérieure est moins reculée.
Note : les lettres sur les 2 séries de photos correspondent aux mêmes périodes
Masque facial (1)
(A) Condition initiale : Occlusion croisée antérieure et glissement de la mandibule vers l’avant.
(B) Lorsque le patient tente de reculer la mandibule, il peut placer ses dents antérieures “bout-à-bout”.
(C) Avec l’appareil en bouche servant à ancrer le masque facial. (D) Après 2 mois, la relation des dents antérieures est déjà améliorée.
Pose d’un appareil d’expansion maxillaire rapide
Étapes de la pose d’un appareil d’expansion maxillaire rapide. Pour en savoir plus et voir une vidéo, suivez le lien ci-haut.
L’expansion et le parodonte
Ce jeune homme de 18 ans, qui entreprendra un traitement d’orthodontie pour corriger sa malocclusion, présente une arcade supérieure très étroite (D) en forme de “V” et une occlusion croisée postérieure bilatérale.
(A, B, C) Bien qu’il ait une bonne qualité de gencive en général (largeur et épaisseur des tissus), avant même le début du traitement, plusieurs dents (indiquées par les flèches) ont différents degrés de déchaussement. L’arcade du haut devant être élargie, il faudra surveiller de près le niveau de gencive pendant l’orthodontie. S’il venait qu’à diminuer significativement, des greffes de gencive ou procédures similaires pourraient être nécessaires. Le patient devra porter une attention particulière à son hygiène buccale et sa technique de brossage pendant le traitement afin de ne pas contribuer davantage à la perte de gencive.
Les bénéfices de l’expansion (3)
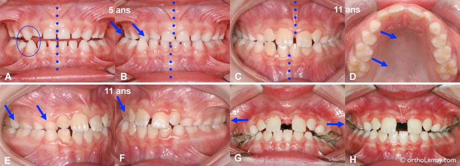
(A, B) Interférence entre les canines temporaires qui font dévier la mandibule vers la droite en une occlusion croisée lors de la fermeture (B) chez un jeune de 5 ans.
(C, D) Sans aucune intervention orthodontique, la même condition persiste 5 ans plus tard à l’âge de 11 ans. La croissance n’est pas suffisante pour corriger un tel problème. Les dents supérieures droites sont toujours basculées vers l’intérieur (flèches en B, D, E et F). (G, H) L’expansion maxillaire aura permis de rétablir l’équilibre entre la largeur des mâchoires et corriger la déviation mandibulaire.
Les bénéfices de l’expansion (2)
(A) Maxillaire étroit chez un garçon de 9 ans qui ronfle de façon chronique.
(B) Vue de la mâchoire supérieure qui est trop étroite par rapport à la mandibule. Bien qu’on ne puisse le “garantir”, l’expansion maxillaire diminue souvent le problème de ronflement chez les enfants.
Les bénéfices de l’expansion (1)
Ce jeune patient de 7 ans qui présente une constriction maxillaire avait plusieurs otites par saison hivernale. Après l’expansion palatine, il n’eut plus d’otites.