En raison de la pandémie de COVID-19, les dentistes et les orthodontistes ont dû prendre des mesures afin de limiter la propagation du virus dans leurs cliniques. Des protocoles ont donc été mis en place pour la sécurité de tous et de toutes. Cependant, le personnel des cliniques a aussi besoin de votre collaboration.
Nous vous demandons de vous renseigner sur les mesures à suivre lors de votre prochaine visite et de ne pas vous présenter si vous êtes atteint ou atteinte de la COVID-19, si vous avez des symptômes s’apparentant à la COVID-19 ou si vous avez été en contact avec une personne qui est ou pourrait être atteinte de la COVID-19.
Merci de votre compréhension et de votre coopération en ces temps difficiles.
L’équipe Bücco et ses membres dentistes et spécialistes
Évaluation des gains en largeur pour chaque arcade
Comparaison des modèles d'étude
Il est difficile d’évaluer et d’apprécier les changements bi ou tri-dimensionnels sur des photographies cliniques telles que présentées ci-haut. Les photos peuvent être prises avec des angles légèrement différents ce qui rend difficile la prise de mesure standardisées. Afin de bien évaluer les changements transverses ou en largeur des arcades, la meilleure méthode est de mesurer et comparer des modèles d’étude de la dentition. Les photos ci-dessus montrent les modèles de cette jeune patiente avant le traitement (A et C) et après le traitement d’expansion (B et D). Les photos sont “calibrées” afin que les dents aient la même dimension sur les photos avant et après le traitement. Seule la position des dents est différente (pas leur grosseur) et cela a été modifié par le traitement d’orthodontie effectué.
Résultats obtenus
Les quantités d’expansion obtenues pour chaque arcade sont indiquées pour la largeur entre les premières molaires permanentes (*), les deuxièmes molaires temporaires (E) et les premières molaires temporaires (D) pour le maxillaire supérieur (A et B) et pour la mandibule (C et D). Les modèles d’étude A et C sont avant l’expansion et B et D après le traitement d’expansion.
Bien que ces chiffres puissent paraître banals ou minimes pour les profanes, il est de mise de mentionner qu’une telle augmentation de la distance entre les dents postérieures (expansion) variant entre 4.1 et 7.1 mm est énorme d’un point de vue orthodontique et est très significative.
Effet sur les troubles respiratoire du sommeil
D’un point de vue orthodontique, le traitement d’expansion fut un succès. Il reste maintenant à savoir l’effet que cela aura sur les troubles du sommeil de la patiente. Cette étape préliminaire étant terminée et même si la patiente rapporte une amélioration subjective de sa respiration, la seule façon de mesurer objectivement l’effet de l’expansion des arcades sur sa respiration et ses troubles du sommeil est de lui faire passer une nouvelle polygraphie cardiorespiratoire du sommeil (PCRS) de contrôle. Elle est en attente de ce nouveau test.
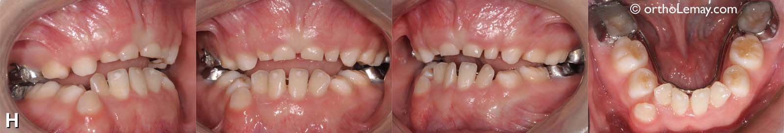
H) Malocclusion
(H) Résultat final: les deux arcades ont été élargies significativement et le tout est maintenu avec des mainteneurs d’espace à chaque arcade en attendant l’éruption des autres dents permanentes, ce qui prendra encore quelques années.
À noter qu’il aurait été possible d’obtenir encore plus d’espace pour la langue en alignant les dents antérieures inférieure en les déplaçant vers l’avant mais cette étape ne fut pas envisagée car le traitement avait déjà été long et complexe pour cette jeune patiente.
D) Malocclusion
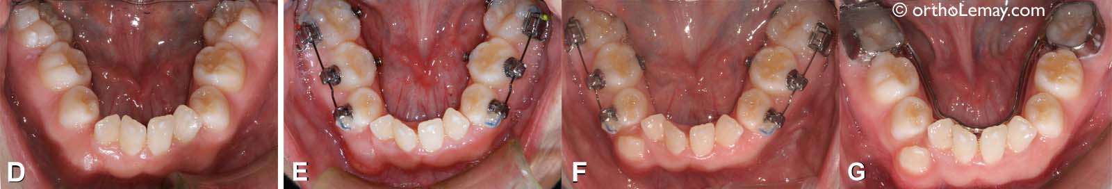
Changements obtenus à l’arcade inférieure
(D) Arcade avant le début du traitement.
(E) Après l’expansion maxillaire et au début de l’expansion mandibulaire.
(F) À la fin de l’expansion mandibulaire.
(G) Après l’expansion mandibulaire, un mainteneur d’espace est utilisé (fil lingual fixe) pour éviter toute constriction de l’arcade et perte de l’expansion obtenue.
C) Malocclusion
(C) Une fois l’expansion maxillaire complétée, l’appareil d’expansion fut retiré et remplacé par un mainteneur d’espace fixe (fil lingual) pour éviter toute récidive de l’expansion obtenue. La seconde étape consistait en la pose d’appareils multi-bagues fixes (“broches”) dans la région postérieure des deux arcades pour faire de l’expansion dento-alvéolaire à l’arcade inférieure afin de l’harmoniser avec la nouvelle largeur de l’arcade supérieure. Des élastiques en configuration croisée attachés à l’extérieur de l’arcade supérieure et à l’intérieur de l’arcade mandibulaire (visibles en rouge sur les photos) ont permis de déplacer les dents inférieures vers l’extérieur pour élargir l’arcade.
B) Malocclusion
(B) La première phase du traitement consistait à faire de l’expansion maxillaire rapide à l’aide d’un appareil fixe. Ces photos ont été prises lors de la pose de l’appareil et avant le début de l’expansion.
A) Malocclusion avant
(A) Malocclusion avant le traitement présentant une constriction importante des deux arcade qui restreint l’espace disponible pour sa langue. Ceci peut contribuer à l’apnée obstructive du sommeil en “forçant” la langue à se positionner plus vers l’arrière de la bouche et contribuant ainsi à l’obstruction des voies respiratoires supérieures. La patiente est en dentition mixte et seulement les seules dents permanentes en bouche sont les premières molaires supérieures et inférieures.
Pose d’un appareil d’expansion
(A) Les dents sont isolées à l’aide d’un écarteur spécial qui retient la langue et a une succion intégrée qui aspire la salive et l’humidité dans bouche. Il est essentiel d’avoir des surfaces de dents très propres et sèches pour que la colle y adhère bien.
(B) Les dents sont nettoyées, rincées et asséchées.
(C) Pendant ce temps, une assistante prépare l’appareil avec un conditionneur à plastique et en y pose la colle.
(D, E) L’émail des dents où sera posé l’appareil est préparé à l’aide d’un gel acide (dans une seringue) qui rend la surface de l’émail rugueuse offrant ainsi une meilleure rétention pour la colle.
(F) Ce gel bleu est laissé sur les dents 20 secondes avant d’être rincé à l’eau. Les dents sont de nouveau asséchées par la suite.
(G, H) La colle utilisée est une colle photopolymérisante qui durcit à l’aide d’une lumière spéciale bleue. La colle est appliquée sur l’appareil, l’appareil est placé sur les dents et la colle est durcie les lumières avec bleues (à noter que l’écarteur fut changé dans ce cas pour une raison technique mais ceci est inhabituel).
(I) Une fois l’appareil bien collé en place, les écarteurs sont retirés et la pose est terminée. Le tout a duré quelques minutes seulement.
Étapes principales de la pose d’un appareil d’expansion maxillaire rapid
(A) Appareil d’expansion tel qu’il est reçu du laboratoire.
(B) Écarteurs et pompes à salive (succion) placé en bouche pour isoler la dentition et la garder au sec.
(C) Mordançage (etching) des la surface des dents. Ceci permet de rendre la surface de l’émail dentaire légèrement rugueuse pour que la colle y adhère bien. Après avoir nettoyé et asséché la surface des dents, un acide spécial contenu dans une seringue est appliqué sur l’émail dentaire uniquement où l’appareil doit être collé. Les dents sont à nouveau rincées et asséchées et sont alors prêtes à recevoir l’appareil.
(D) La colle est appliquée sur l’appareil qui est ensuite placé sur la surface des dents. Des lumières bleues spéciales font durcir la colle rapidement (polymérisation). Cette étape dure moins de 30 secondes.
(E) Résultat final avec l’appareil d’expansion bien collé. Toute cette procédure ne prend que quelques minutes.
Après le traitement
(I) Ce traitement préliminaire fut terminé après 14 mois de traitement une fois qu’un surplomb vertical fut obtenu entre les incisives supérieures et inférieures. Le garçon a maintenant 6.6 ans et ses incisives temporaires commencent être remplacées par les dents définitives ou permanentes. Il y a une légère rougeur autour des molaires temporaires (vue occlusale de la mâchoire supérieure) suite à l’enlèvement des bagues qui sont restées en bouche 14 mois. On remarque que les premières molaires permanentes ont fait éruption normalement derrière les molaires temporaires qui supportaient les bagues.
(J) Profil et esthétique du visage à la fin du port du masque. L’équilibre du visage est meilleur, les lèvres sont plus avancées, il y a eu croissance du menton (mandibule). Comparez avec le visage pré-traitement en “A”.
(K) Lèvres et menton avec la radiographie correspondante avant le traitement.
(L) Après le traitement.
Masque extra-oral Delaire
(G) Masque extra-oral Delaire avec les élastiques de traction accrochés à l’appareil ancré sur les dents.
(H) Les bagues de l’appareil surent posées sur les molaires temporaires car les premières molaires permanentes n’était pas encore sorties complètement.