En raison de la pandémie de COVID-19, les dentistes et les orthodontistes ont dû prendre des mesures afin de limiter la propagation du virus dans leurs cliniques. Des protocoles ont donc été mis en place pour la sécurité de tous et de toutes. Cependant, le personnel des cliniques a aussi besoin de votre collaboration.
Nous vous demandons de vous renseigner sur les mesures à suivre lors de votre prochaine visite et de ne pas vous présenter si vous êtes atteint ou atteinte de la COVID-19, si vous avez des symptômes s’apparentant à la COVID-19 ou si vous avez été en contact avec une personne qui est ou pourrait être atteinte de la COVID-19.
Merci de votre compréhension et de votre coopération en ces temps difficiles.
L’équipe Bücco et ses membres dentistes et spécialistes
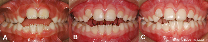
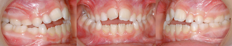
(A) Garçon de 8 ans avec une béance antérieure importante.
(B) 4 mois après le port d’un écran oral, il y a un surplomb entre les incisives supérieures et inférieures.
Béance antérieure
Cas « typique » où l’utilisation d’un écran oral ou « piège à langue » peut être bénéfique.
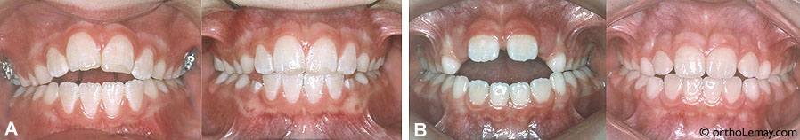
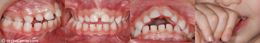
(A) Jeune fille de 8 ans qui suce son pouce et a développé une béance antérieure importante.
(B) Lors de la pose de l’écran oral.
(C) Après seulement 2 mois avec l’appareil, la fermeture de la béance est déjà évidente.
Béance antérieure
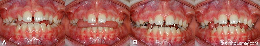
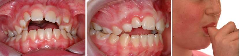
(A) Utilisation d’un écran oral pour bloquer la langue. Après 6 mois, l’espace antérieur a diminué de façon significative.
(B) Béance antérieure importante due à une habitude de suçage de pouce et un positionnement de la langue entre les dents. Après le port d’un écran oral pendant ±9 mois, ces habitudes sont arrêtées, l’éruption normale peut continuer son processus et la béance a diminué.
Béance antérieure
(A) En présence d’une béance antérieure, la langue se place entre les dents lors de la déglutition (action d’avaler) pour fermer l’ouverture entre les dents.
(B) Lorsqu’un écran oral est mis en bouche, l’appareil agit comme une “clôture” qui bloque la langue et l’empêche d’exercer une pression sur les dents. Ceci peut aussi servir à bloquer un pouce ou un doigt pour les personnes ayant des habitudes de suçage de doigt(s).
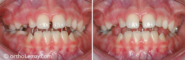
Béances antérieures et positionnement de la langue
Si les dents antérieures ne se touchent pas, la langue se place entre elles pendant la fonction et parfois au repos.
Développement dentaire normal chez une fille entre l’âge de 5 et 9 ans
Étapes du développement dentaire relativement normal chez une fille entre l’âge de 5 et 9 ans. À mesure que les incisives permanentes sortent, il y a moins d’espace pour que la langue se place entre les dents antérieures.
suçage pouce 4
Exemple “typique” d’une habitude de suçage de doigt sévère; béance antérieure et constriction de l’arcade supérieure. Il commence a y avoir déformation de la mâchoire supérieure chez cette jeune fille de 6 ans. Il est indiqué d’enrayer cette habitude néfaste dès que possible pour minimiser les dommages.
suçage pouce 3
Interception d’une habitude de suçage en bas âge : L’utilisation d’un appareil orthodontique “écran oral” servant à bloquer le pouce (ou doigts) et la langue sert de rappel à l’enfant pour l’aider à arrêter l’habitude de suçage de doigts. L’appareil sert aussi à empêcher que la langue n’exerce une pression excessive sur les dents.
suçage pouce 2
L’habitude de suçage de pouce est bien ancrée chez ce jeune de 3.7 ans. On remarque déjà des changements dans sa dentition : forme étroite de l’arcade du haut, dents supérieures avancées, occlusion croisée postérieure droite et béance antérieure. Arrêter cette habitude dès que possible minimisera les dommages permanents.
suçage pouce 1
Exemple de l’effet à long terme sur la dentition. Jeune fille de 12 ans ayant sucé son doigt plusieurs années; béance antérieure, constriction et déformation de la mâchoire supérieure, dents supérieures avancées. La mastication et la phonétique sont affectées par cette malocclusion.